INTRODUCCIÓN
La colangiopancreatografía retrógrada endoscópica (CPRE) constituye en la actualidad un procedimiento diagnóstico, pero sobretodo terapéutico, cuyas complicaciones son en general la pancreatitis y las infecciones, siendo rara el desarrollo de hematomas hepáticos 1. Se presenta el caso de un paciente varón de 52 años quien desarrolla un hematoma subcapsular hepático post CPRE de curso clínico precoz diagnosticado mediante análisis del hematocrito e imágenes (ultrasonido y tomografía computarizada) con compromiso unilobular, manejado mediante drenaje percutáneo por radiología intervencionista, evolucionando favorablemente.
CASO CLÍNICO
Se presenta el caso de un paciente varón de 52 años con antecedente previo de colangitis, litiasis vesicular y coledocolitiasis, manejado con antibioticoterapia y colangiopancreatografía retrógrada endoscópica (CPRE) donde se detecta un cálculo de 12 mm y colédoco distal de 6 mm, colocándose endoprótesis biliar plástica de 8 cm x 10 fr por incompatibilidad cálculo coledociana.
Días después es intervenido mediante colecistectomía abierta y coledocotomía longitudinal con retiro de cálculo, colocando un dren de Kher siendo retirado a los dos meses siguientes, paciente fue dado de alta portando la endoprótesis biliar sin mayores molestias clínicas.
Acude meses después al servicio de gastroenterología para retiro de endoprótesis, presentando al ingreso un hemograma de 5100 leucocitos/uL, 2800 segmentados/ uL, 1700 linfocitos/uL, hematocrito de 41,6%, con ecoendoscopía donde se visualiza la endoprótesis biliar además de una imagen hiperecogénica de 6 mm x 4 mm en segmento suprapancreaticocoledociano. Sometido a segunda CPRE donde se retira la endoprótesis, se realiza esfinterotomía con esfinterótomo triple lumen, canulándose al primer intento, procediéndose luego a barrido de múltiples cálculos de 5 mm y abundante barro biliar mediante catéter balón extractor.
Tres horas luego de culminado el procedimiento el paciente presenta dolor abdominal tipo opresivo, de intensidad moderada localizado a predominio de hipocondrio y fosa iliaca derecha. Al examen físico presenta presión arterial 120/70 mmHg, frecuencia cardiaca 81 por minuto, frecuencia respiratoria 20 por minuto, saturando 98% a oxígeno ambiental. Se evidencia abdomen resistente a la palpación, timpánico a la percusión, con reducción de intensidad y frecuencia de ruidos hidroaéreos. Es evaluado mediante radiografía simple de abdomen donde no se aprecia signos de neumoperitoneo ni obstrucción intestinal. Se continúa manejo con analgésicos e hidratación, colocación de sonda nasogástrica, profilaxis antibiótica con Piperacilina/Tazobactam y se decide su ingreso a Unidad de Cuidados Intermedios para observación estrecha y actitud expectante. Durante las horas siguientes paciente resuelve parcialmente el dolor abdominal, presenta hematocrito 35,7% (ver Tabla 1), amilasa sérica en 477,67 U/L, hemograma con leucocitos 9200/uL, segmentados 8600/uL, linfocitos 300/uL, plaquetas 221 000.
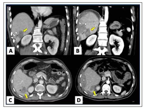
En la primera tomografía contrastada 24 horas post CPRE (ver Figura 1) se aprecia focos hipodensos en segmento hepático III de 16 mm x 23 mm, segmento IV de 39 mm x 45 mm con 2 pequeños focos aéreos en su interior menores de 4 mm con presencia de aire en el interior de la vía biliar y líquido libre laminar en espacio perihepático.

Figura 1 MPR curvo en coronal de TC abdomen con contraste, A/C. 24 horas y B/D. 72 horas. Se identifica hematoma intraparenquimal (fecha amarilla) adyacente a laceración hepática (flechas blancas). Nótese la formación de hematoma subcapsular (asterisco en D) así como mayor amplitud de la laceración. Hallazgos en relación a Trauma grado III.
Durante la evolución el paciente resuelve el dolor abdominal casi en su totalidad, permanece con funciones vitales estables, no desarrolla episodios de hematemesis ni melenas ni otra evidencia de sangrado activo. Dos días posterior a la CPRE paciente presenta hematocrito control de 29,2%, 4 puntos inferiores que el previo, siendo evaluado mediante ecografía abdominal encontrándose una colección intraparenquimal hepática en segmentos VII y VIII asociados a hematoma subcapsular. Un día después la segunda tomografía (ver Figura 1) permite observar focos heterogéneos de gran extensión siendo denominados como colección intraparenquimal y subcapsular.
Tras una consulta multidisciplinar con el servicio de cirugía general y radiología intervencionista, se decidió en un inicio manejo conservador del paciente con vigilancia ecográfica seriada, toma de hematocrito seriado y observación de signos clínicos sugestivos de sangrado.
No obstante, al observarse un crecimiento progresivo mediante ultrasonografía (Tabla 2), y tras una nueva consulta multidisciplinar, se decide realización de drenaje percutáneo de la colección hepática guiada por ecografía, en donde se obtiene un total de 100 cc de contenido hemático y colocación de catéter Pigtail de 14F.
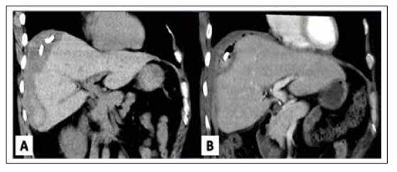
Se realizó un estudio de cultivo del contenido aspirado no evidenciándose gérmenes. Se realiza interdiariamente lavados de drenaje percutáneo con cloruro de sodio hasta el aclaramiento. En los días posteriores al procedimiento el paciente se mantuvo asintomático, apirético, hemodinámicamente estable y con buen estado general, sin evidencia de resangrado. Es dado de alta 2 semanas después de la colocación del catéter. Se realizaron ecografías abdominales posteriores y tomografía por vía ambulatoria para control evolutivo de la lesión (ver Figura 2) los cuales mostraron una disminución paulatina de la misma, siendo retirado el drenaje a las seis semanas sin evidenciarse complicaciones.
DISCUSIÓN
La colangiopancreatografía retrógrada endoscópica (CPRE) descrita por primera vez en 1968 como técnica inicialmente diagnóstica, con la incorporación de la esfinterotomía 6 años después se convirtió en un procedimiento terapéutico ampliamente distribuido en el mundo. Las principales indicaciones son el diagnóstico y tratamiento de obstrucciones del tracto biliar por coledocolitiasis y estenosis de etiología benigna o maligna, disfunción del esfínter de Oddi y los trastornos pancreáticos en general 2.
No obstante, a pesar de ser considerado como un procedimiento seguro, la CPRE no está exenta de complicaciones. Al respecto, Somariva et al. 3 en su análisis reportan una incidencia de complicaciones que oscila entre el 0,8% y el 10% de los casos. Dentro de ellas figura la pancreatitis aguda (la más frecuente), seguida de colangitis aguda, colecistitis, sepsis, hiperamilasemia asintomática, hipoxia y eventos cardiovasculares 4,5. Existen además otros casos menos frecuentes pero de alta mortalidad tales como la perforación duodenal y la hemorragia de localización abdominal, esplénica y hepática, conllevando esta última a la formación de un hematoma subcapsular hepático 6.
El hematoma hepático es una complicación muy rara siendo reportada por primera vez en el año 2000. Existen 2 hipótesis que explican su etiología, siendo una de ellas la perforación de los conductos biliares intrahepáticos con laceración de pequeños vasos del parénquima hepático causado por una inserción demasiado profunda con la guía hidrofílica. La otra hipótesis plantea el daño hepático secundario a la fuerza de tracción ejercida por el balón extractor en el conducto biliar común en su intento de eliminar los cálculos, durante el procedimiento 7. En cuanto a la distribución del hematoma es determinada por el filtrado en dirección centrífuga desde la lesión parenquimática local hacia la cápsula hepática quien contiene externamente al hematoma 1. Pivetta et al. en un estudio de 61 casos encontró que el compromiso más frecuente fue en el lóbulo hepático derecho en un 87,3% de casos y en raras ocasiones en el lóbulo izquierdo 8.
Existen diversos factores de riesgo descritos para desarrollar un hematoma hepático entre ellos los múltiples intentos de canulación, obstrucción de la vía biliar, anomalías anatómicas de la papila, malignidad del tracto biliar y coagulopatías 9, los cuales no se hallan presentes en el paciente.
Dentro de las manifestaciones clínicas más frecuentes, el estudio realizado por Pivetta et al. 8 reveló el dolor abdominal (82%) seguido de anemia (55,7%), hipotensión (27,9%), fiebre (18%) y dolor de hombro (13,1%). Asimismo reportó que el 40,7% de las manifestaciones inician dentro de las primeras 12 h, 53,7% dentro de las primeras 24 h, 77,8% dentro de las 48 h y solo un 22% con aparición posterior a las 48 h. El paciente de nuestro caso desarrolló sintomatología a las 3 horas luego del procedimiento CPRE y cursó únicamente con dolor abdominal y anemia.
Los exámenes de laboratorio muestran generalmente leucocitosis, aumento de colestasis, reducción de los niveles de hemoglobina y hematocrito. Los estudios de imágenes obtenidos mediante ecografía o tomografía suelen ser necesarios en los primeros 5 días posteriores a la CPRE 10. En nuestro caso la reducción del hematocrito conllevó al seguimiento imagenológico, donde se ha evidenciado múltiples colecciones hipoecoicas con dimensiones dentro de los rangos mencionados.
En nuestro paciente se obtuvo un resultado de amilasa a las 12 horas post CPRE de 477,67 U/L, el cual es compatible con el diagnóstico de hiperamilasemia, siendo ésta una de las complicaciones más frecuentes de la CPRE, con una incidencia reportada entre el 6,8% y el 70% de pacientes sometidos a ella. De esta forma se aleja la posibilidad de pancreatitis aguda post CPRE, debido a que las características del dolor abdominal no cumplen los criterios de pancreatitis 11,12.
Con respecto al tratamiento, un estudio realizado por Pivetta et al. 8 reveló un manejo mayoritariamente conservador (39,3%) seguido del quirúrgico (27,9%) y de intervencionismo por medio de drenaje percutáneo (24,5%). El manejo conservador se sustenta en la estabilidad del hematoma al ser rodeada por la cápsula de Glisson y limita la hemorragia, para ello se requiere una observación constante dentro de una unidad de cuidados intensivos, examen físico reiterativo, monitorización seriada de la hemoglobina, infusión de líquidos endovenosos y la reposición de derivados sanguíneos 13. Asimismo la vigilancia del hematoma mediante imágenes por medio de tomografía computarizada y ecografía constituye el manejo óptimo 14. En nuestro paciente se evidenció un crecimiento progresivo del volumen subcapsular mediante el estudio de imágenes con el paso de los días, lo que motivó la realización de drenaje percutáneo a pesar de no detectarse mayor caída del hematocrito respecto de los primeros días del evento.
La cirugía debe estimarse en situaciones de inestabilidad hemodinámica en el paciente, signos de irritación peritoneal, infección del hematoma o incluso rotura. En todos los casos, al existir el acceso bacteriano hacia la vía biliar producto del procedimiento de CPRE, hay un riesgo incrementado de infección, por lo cual la administración profiláctica de antibióticos es fundamental 1.
Pivetta et al. 8 además reportó que la mortalidad de los casos de hematoma hepático post CPRE fue de 4 de un total de 14 pacientes que desarrollaron rotura hepática, siendo el resto manejado quirúrgicamente, siendo el shock hipovolémico la principal causa de muerte. Al evaluar los factores de riesgo de mortalidad en los pacientes con hematoma hepático, se encontró que el dolor abdominal y la administración de antibióticos se asociaron inversamente con el riesgo de muerte, mientras que la anemia y la necesidad de cirugía fueron los únicos factores independientes de muerte 7. Pese a todo ello, la morbimortalidad puede estar sobreestimada ya que los casos documentados son probablemente más graves y muchos casos son oligosintomáticos 15.
En conclusión, el hematoma subcapsular hepático en general es de presentación rara, pero es adecuado sospechar ello en situaciones en las cuales existe declinación evidente de hematocrito acompañado de dolor abdominal en pacientes sometidos a CPRE y que las complicaciones más frecuentes no la sustenten. Afortunadamente, la mayoría de casos reportados hasta el momento tienen un resultado favorable.
















