INTRODUCCIÓN
El síndrome de Kartagener, un subgrupo de las discinesias ciliares primarias, es una malformación congénita rara la cual comprende la triada clásica de sinusitis, situs inversus y bronquiectasias.1 Fue por primera vez descrito por Siewert en 1904 2, sin embargo sólo fue hasta 1933 que Manes Kartaganer reconoció la triada dentro de un síndrome congénito.3 Posteriormente, fue Afelius quien reconoció que estos pacientes tenían tanto defectos en la movilidad como estructura ciliar.4 En la actualidad, gracias al desarrollo de la biología molecular y secuenciación genética se han podido asociar más de 40 genes involucrados en el ensamblaje ciliar con diferentes expresiones fenotípicas.5
La prevalencia de este síndrome en relación con la discinesia ciliar primaria se estima de 1:10000 a 1:20000 nacidos vivos, de acuerdo a estudios observacionales europeos.3 En Colombia se desconoce la incidencia y prevalencia exacta de esta enfermedad.
Por la disfunción ciliar se perturba el aclaramiento normal de secreciones del tracto respiratorio6 lo cual en asociación con presencia de bronquiectasias condiciona infecciones recurrentes y colonización principalmente por Haemophilus influenzae.7
Actinomyces spp, un bacilo gram positivo filamentoso, generalmente comensal del tracto orofaríngeo, gastrointestinal y genitourinario es causante de la enfermedad denominada actinomicosis.8 El compromiso pulmonar es el tercero en frecuencia y generalmente es confundido con procesos de malignidad o tuberculosis.9
Se presenta a continuación el caso de un paciente con diagnóstico de novo de síndrome de Kartagener en quien se documentó colonización por Pseudomonas fluorescens y neumonía con empiema asociado secundario a infección por Actinomyces spp.
REPORTE DE CASO
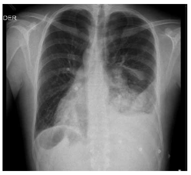
Hombre de 23 años con antecedente de asma y sinusitis a repetición desde la infancia; consulta por cuadro clínico de una semana consistente en dolor pleurítico en hemitórax izquierdo asociado a disnea y tos productiva con expectoración mucoide. Al ingreso taquicárdico, desaturado, con presencia de sibilancias espiratorias ocasionales en ambos campos pulmonares, sin signos de dificultad respiratoria. Paraclínicos de ingreso, con trastorno leve de la oxigenación sin trastorno ácido base y sin hiperlactatemia, hemograma con leucocitosis más neutrofilia, función renal y hepática normales, dímero D elevado (Tabla 1) Radiografía de tórax de ingreso con presencia de infiltrados intersticiales gruesos parahiliares bilaterales con área de opacidad alveolar confluente en lóbulo inferior izquierdo, con derrame pleural y signos de pérdida de volumen con retracción del hemidiafragma y atelectasia parcial de la língula, mas hallazgo incidental de dextrocardia (Fig. 1 ); debido a lo anterior se inicia cubrimiento antibiótico empírico con piperacilina tazobactam 4.5 gramos intravenoso cada 6 horas.
Tabla 1 Reporte de paraclinicos durante hospitalizacion del paciente.

1. Al ingreso 2. Al inicio del tratamiento antimicrobiano 3. Posterior a aislamiento microbiológico
**Después del diagnóstico de COVID 19 BUN: Nitrógeno ureico, PCR: Proteína C Reactiva, PCR* Polymerase chain reaction, VSG: Velocidad de eritrosedimentación

Figura 1 Radiografia de tórax: infiltrados intersticiales gruesos parahiliares bilaterales con área de opacidad alveolar confluente en lóbulo inferior izquierdo, con derrame pleural y signos de pérdida volumen con retracción del hemidiafragma y atelectasia parcial de la língula, mas hallazgo incidental de dextrocardia
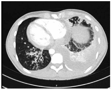
Adicionalmente, se solicitó tomografía de tórax con protocolo para tromboembolismo pulmonar el cual descartó el mismo; Sin embargo, se evidenció derrame pleural tabicado en lóbulo inferior izquierdo con opacidades alveolares e infiltrados intersticiales peribroncovasculares con engrosamiento de septos interlobulillares. Además, con bronquiectasias cilíndricas, algunas con tapón mucoso (Fig.2). Se realizó toracentesis diagnóstica con evidencia de líquido pleural exudativo, neutrofílico compatible con derrame pleural complicado (LDH >1000, Glucosa <40). Se llevó a decorticación pulmonar sin complicaciones, con estudios de PCR para Mycobacterium tuberculosis y cultivo de gérmenes aerobios y anaerobios negativos.

Figura 2 Tomografia de tórax: derrame pleural tabicado en lóbulo inferior izquierdo con opacidades alveolares e infiltrados intersticiales peribroncovasculares con engrosamiento de septos interlobulillares. Además, con bronquiectasias cilíndricas, algunas con tapón mucoso
Se realizó fibrobroncoscopia con lavado broncoalveolar, obteniendo en aislamiento de cultivo Pseudomonas Fluorenscens con resistencia a carbapenémico, debido a evolución no se modificó tratamiento pre resolución de síntomas considerándose posible colonización.
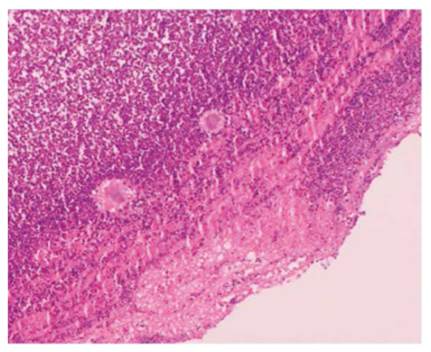
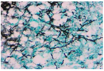
Se dio continuidad a manejo antibiótico a 8 semanas. Posteriormente presenta nuevo pico febril que se asoció a coinfección por virus de SARS COV2 confirmado por PCR. Posteriormente se recibió reporte de biopsia de líquido pleural con hallazgos compatible con Actinomyces spp. (Fig.3 y 4).

Figura 3 Coloración de Hematoxilina-eosina, aumento 10X. Líquido pleural con proceso inflamatorio agudo severo y presencia de estructuras redondeadas por bacterias “Signo gránulos de azufre”

Figura 4 Coloración de Grocott, tinción de Ziehl-Neelsen negativa. Evidencia de bacterias filamentosas.
Dentro del estudio de dextrocardia y hallazgos de bronquiectasia, previamente no conocida, se iniciaron estudios con biopsia de ciliar de mucosa nasal, que posteriormente mostró cambios ultraestructurales de discinesia ciliar primaria dados por ausencia de brazos de dineina confirmándose el diagnóstico de síndrome de Kartagener. (Fig. 5)
Durante observación se realizó retiro de toracostomia, se completó manejo ambulatorio con ampicilina sulbactam por sensibilidad del germen por 8 semanas con resolución de síntomas. Actualmente, en seguimiento de colonización de bronquiectasias sin necesidad en el momento de antibiótico inhalado.
DISCUSIÓN
La función ciliar es pivotal para el aclaramiento de secreciones y de la homeostasis del sistema inmune del tracto respiratorio, al igual que para la motilidad de los espermatozoides y orientación visceral durante la embriogénesis.10 En el síndrome de Kartagener la principal mutación descrita yace en los genes DNAI1 y DNAH5 los cuales codifican proteínas del brazo externo de la dineina, generan una alteración de la motilidad ciliar, predisponiendo a infecciones sinopulmonares recurrentes, infertilidad y errores en la orientación izquierda a derecha.11
Las manifestaciones clínicas son variadas, siendo las más comunes, las infecciones recurrentes del tracto respiratorio6. En este aspecto, a nivel pulmonar es frecuente encontrar bronquiectasias en el 50 % de la población pediátrica y en casi la totalidad de la población adulta,12) generando sibilancias o crépitos a la auscultación pulmonar simulando otras enfermedades más prevalentes como el asma.13 Demás hallazgos radiológicos a nivel pulmonar incluyen engrosamiento peribronquial y atelectasias.14
Otras manifestaciones clínicas frecuentes son la rinosinusitis, la poliposis nasal y la sinusitis crónica con compromiso de los senos maxilares y etmoidales.15,16 Asimismo, debido a la función ciliar anómala y el déficit de aclaramiento de secreciones a nivel de la trompa de Eustaquio y oído medio, se pueden presentar episodios recurrentes de otitis media durante la infancia y adolescencia.17 El situs inversus, que al presentarse con reversión completa del sistema circulatorio y visceral recibe el nombre de situs inversus totalis, se presenta hasta en el 50 % de los paciente con disquinesia ciliar primaria.14
No existe como tal un estándar de oro para el diagnóstico, por lo que la combinación de estas manifestaciones clínicas debe hacer sospechar sobre esta enfermedad. Una vez establecida la sospecha diagnóstica, se pueden utilizar métodos de cribado como la medición de óxido nítrico nasal o la inhalación de albúmina marcada con Tc 99, sin embargo, se debe confirmar con métodos basados en microscopía electrónica en donde se demuestra la ausencia de brazos de dineina o de ensamble microtubular. 14,18
En el caso de nuestro paciente en quien se diagnosticó erróneamente como asmático por infecciones recurrentes del tracto respiratorio y sinusitis en la infancia, la documentación de situs inversus totalis y bronquiectasias en estudios tomográficos logró catalogar al paciente dentro del espectro de la discinecias ciliares primarias, con confirmación mediante técnicas de microscopía electrónica.
En cuanto a la colonización e infecciones del tracto respiratorio, una causa importante de morbilidad y mortalidad en estos pacientes, existe un subregistro amplio y se asume con frecuencia el mismo riesgo de colonización por diferentes microorganismos como en la fibrosis quística, a pesar de tener mecanismos fisiopatológicos diferentes.7) A diferencia de la fibrosis quística en donde la Pseudomonas aeruginosa y el Staphylococcus aureus son los patógenos más frecuentes,19 Haemophilus influenzae es el patógeno más frecuentemente aislado en pacientes con disquinesia ciliar primaria.20 Otras especies documentadas en estudios de esputo de pacientes con disquinesia ciliar primaria incluyen S. aureus, Streptococcus pneumoniae y micobacterias no tuberculosas.21
Las bacterias del complejo Pseudomonas fluorescens son bacilos gram negativos, aerobios, móviles, no fermentadores.22 Su capacidad metabólica versátil le permiten sobrevivir en una variedad de ambientes incluidos el suelo, plantas y superficies no estériles como paredes y puertas.23 Aunque inicialmente no se consideraba un patógeno en humanos, en la actualidad se conoce como agente causal de infecciones oportunistas a pesar de su menor virulencia en comparación con P. aeruginosa.22 Se asocia principalmente con la bacteriemia secundaria a transfusión de hemoderivados contaminados 24) (27) o el uso de equipos para infusiones intravenosas contaminadas.28,29 Su papel en la neumonía y otras infecciones respiratorias aún es debatido y permanece incierto dado que se ha aislado tanto en secreciones traqueales de pacientes intubados y en aguas de los humidificadores de los circuitos cerrados de los ventiladores.30 Asimismo, en la descripción de cerca de 1000 cultivos de tracto respiratorio de pacientes con fibrosis quística, se identificó este microorganismo en tan solo 2 % de pacientes y se asoció principalmente con colonización.31 En un estudio observacional de seguimiento a 11 años de pacientes con diversas patologías pulmonares,32 se aisló P. fluorescens en 38,8 % de pacientes con fibrosis quística y en 16.1 % de pacientes con enfermedad pulmonar obstructiva crónica y bronquiectasias no relacionadas con fibrosis quística. Ningún caso se asoció con neumonía.32
Por otro lado, la actinomicosis, puede tener compromiso cervicofacial (presentación clínica más frecuente), generando infección odontogénica, sinusitis e incluso osteomielitis del maxilar.33 Igualmente, compromiso del tracto urinario, el cual es el segundo en frecuencia y se presenta sobre todo en pacientes usuarias de dispositivos intrauterinos.34 La actinomicosis pulmonar es la tercera manifestación en frecuencia y es el resultado de la aspiración de secreciones gastrointestinales y orofaríngeas en pacientes con predisposición a colonización por dicho germen tales como personas con pobre higiene dental, enfermedad periodontal preexistente y alcoholismo.9 Esta manifestación puede ser aguda o subaguda con compromiso lobar. Sin embargo, la enfermedad se diagnostica frecuentemente en su fase crónica manifestándose principalmente con fiebre y pérdida de peso.9 Los síntomas más comunes son inespecíficos, similares a los de otras infecciones crónicas pulmonares tales como la tuberculosis y el cáncer pulmonar.9 Puede presentarse como complicación asociada a cavitaciones y la presencia de estas en relación con tractos sinusoidales hacia la pared torácica deben hacer sospechar la presencia de actinomicosis pulmonar.35 En pacientes con bronquiectasias, se ha descrito hasta en un 19 % la presencia actinomicosis pulmonar.36 Las características tomográficas más frecuentes incluyen consolidaciones, atelectasias, cavitaciones, opacidad en vidrio esmerilado y derrame pleural. No existe predilección por alguna localización pulmonar.9 El compromiso pleural con derrame o empiema se ha descrito en un 15 a 50 % de casos y principalmente en relación con A. meyeri.37
El estándar de oro para el diagnóstico de actinomicosis pulmonar es el examen histológico y cultivo de muestra de biopsia dado que la toma de cultivos simples de esputo y lavado broncoalveolar no son apropiados.9 En cuanto al tratamiento, generalmente las especies de actinomyces son susceptibles a gran variedad de betalactámicos, especialmente la Penicilina G y la Amoxicilina, por lo que se consideran la terapia de elección en esta patología.9,38 Sin embargo, la oxacilina, cloxacilina y cefalexina no se consideran activos frente a este patógeno.9 El metronidazol y los aminoglucósidos tampoco son activos. Igualmente, las especies de Actinomyces no producen beta lactamasas por lo que la asociación con inhibidores no está indicada y solo debe ser utilizado cuando existe coinfección con otras enterobacterias. 8,39
CONCLUSIÓN
El síndrome de Kartagener debe sospecharse en todo paciente con dextrocardia o situs inversus, sinusitis y bronquiectasias. La sospecha diagnóstica debe confirmarse mediante microscopia electrónica. Aunque se ha descrito una mayor tasa de colonización e infección principalmente por Haemophilus influenzae, otras especies de Pseudomonas spp, deben ser consideradas como en el caso de este paciente. La manifestación de empiema por Actinomyces spp. Aunque descrita ya en la literatura, se ha reseñado principalmente en pacientes alcohólicos, diabéticos y con bronquiectasias en relación con fibrosis quística. A la fecha, son escasos los reportes en la literatura de colonización por Pseudomonas fluorescens e infección por Actinomyces spp, siendo el único caso conocido a la fecha en nuestra población.















