INTRODUCCIÓN
Las várices ectópicas (VE) son colaterales venosas portosistémicas dilatadas que ocurren en cualquier lugar del tracto gastrointestinal, exceptuando la región gastroesofágica 1,2. Son responsables de menos del 5% de los sangrados variceales, sin embargo, tienen 4 veces más riesgo de sangrado y una mortalidad que alcanza el 40% 1,3.
Usualmente, son secundarias a hipertensión portal en el contexto de enfermedad hepática preexistente o trombosis de la vena porta. Sin embargo, existen otras etiologías menos frecuentes como el antecedente quirúrgico abdominal, patologías inflamatorias crónicas y la trombosis de la vena mesentérica superior (VMS) 1,2.
Las várices del intestino delgado (VID) secundarias a trombosis aislada de la VMS son muy infrecuentes, se han documentado menos de 25 casos en la literatura 4-7, por lo que la evidencia de las posibles intervenciones terapéuticas se reserva a lo descrito en reportes y series de casos 3. Representan un reto diagnóstico y terapéutico debido la baja prevalencia descrita, la insuficiencia de datos clínicos que orienten a sospecharlas (en contraste con los pacientes con factores de riesgo para hipertensión portal), y la limitada evidencia de las modalidades terapéuticas.
Presentamos el caso de un hombre con sangrado digestivo secundario a várices yeyunales extensas por trombosis crónica aislada de la vena mesentérica superior, asociada a síndrome antifosfolípidos; sin posibilidades de manejo endoscópico ni radiológico, a quién se le realizó yeyunectomía del segmento afectado con resolución del sangrado.
Este reporte de caso se realizó siguiendo las pautas CARE (Case Report Guidelines) (8).
CASO CLÍNICO
Paciente masculino de 56 años, con historia de hemorragia de vías digestivas bajas hace un año, secundaria a lesión de Dieulafoy en colon derecho, con necesidad de estancia en unidad de cuidados intensivos (UCI) por choque hipovolémico. Sin comorbilidades, con antecedente quirúrgico de apendicectomía 10 meses atrás. Ingresa al servicio de urgencias de nuestra institución por presentar hematoquecia abundante durante las últimas 12 horas, asociado a episodio presíncopal, sin dolor abdominal. A la exploración física taquicárdico, con hipotensión arterial y abdomen no doloroso. Se realizó reanimación hídrica con adecuada respuesta hemodinámica. Los paraclínicos de ingreso con hemoglobina en rango de normalidad, plaquetas, función renal y lactato normales. Se realiza colonoscopia con hallazgo de enfermedad diverticular en colon izquierdo, y abundantes coágulos y sangre fresca que no permiten la adecuada visualización de la mucosa colónica. Por sangrado persistente, anemización severa con requerimiento transfusional e hipotensión arterial se realiza endoscopia de vías digestivas altas (EVDA) sin hallazgos anormales y arteriografía sin identificación de vaso sangrante. Se realiza segundo estudio endoscópico bajo sin filiación de la etiología del sangrado. Ante sangrado potencial de intestino delgado se decide realización de video cápsula endoscópica (VCE) que evidencia várices en varios segmentos yeyunales, una de ellas con ulceración superficial (Figura 1).
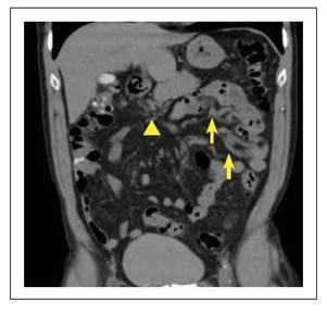
La entero TC reporta trombosis crónica de la VMS, con múltiples colaterales venosas adyacentes a la cabeza del páncreas, en el mesenterio superior y várices de distribución segmentaria a lo largo del yeyuno e íleon proximal (Figura 2).

Figura 2 Enterografía por tomografía (Entero TC). Colaterales venosas por trombosis de la VMS (∆). Várices ectópicas en yeyuno ( ).
Se descartó hipertensión portal y se difirió anticoagulación por sangrado activo. Teniendo en cuenta la localización y extensión de las várices, además de la pobre evidencia científica de la ligadura o terapia con cianoacrilato se consideró imposibilidad de un manejo endoscópico y se optó por el abordaje quirúrgico. Se realiza laparoscopia con hallazgo de dilataciones venosas con compromiso del margen mesentérico y la pared intestino delgado a los 40, 70 y 110 centímetros (cm) del ligamento de Treitz, compatibles con várices ectópicas (Figura 3). Se decide conversión a laparotomía para realización de enteroscopia intraoperatoria con el objetivo de identificar la várice responsable del sangrado. La enteroscopia evidencia ulceración a nivel de la várice ubicada a los 110 cm del ligamento de Treitz y sangre fresca distal a esta (Figura 4). Se realiza resección quirúrgica del segmento afectado (yeyunectomía) dado la extensión del compromiso.
Se inicia anticoagulación plena el día 3 postoperatorio (POP). El día 5 POP se documenta trombosis venosa profunda (TVP) del miembro inferior derecho y tromboembolismo pulmonar (TEP) de riesgo intermedio bajo, con áreas de infarto pulmonar. Por trombosis en sitio inusual se solicitaron estudios de trombofilia ambulatoriamente, confirmando síndrome antifosfolípidos (SAF).
6 meses después de la intervención quirúrgica el paciente no ha presentado nuevos episodios de sangrado o trombóticos y tiene una hemoglobina en rango de normalidad.
DISCUSIÓN
Las VE son colaterales venosas portosistémicas dilatadas que ocurren en cualquier lugar del tracto gastrointestinal, exceptuando la región gastroesofágica 1,2. Las localizaciones más frecuentes son duodeno (17%), yeyuno e íleon (18%), colon (15%), anorrecto (8%), y paraestomales 28% 1,2.
Las VE son responsables de menos del 5% de los sangrados variceales. Las várices localizadas en el intestino delgado (VID) son responsables de, aproximadamente, el 34% de los sangrados 2,9. Usualmente, se manifiestan con melena, hematoquecia o sangrado intraperitoneal. Las VE tienen 4 veces más riesgo de sangrado comparado con las várices esofágicas, una mortalidad que alcanza el 40% por la rápida pérdida de sangre y la dificultad diagnóstica (localización del origen del sangrado) y terapéutica 1,3.
Las VE pueden ser secundarias a hipertensión portal (la cirrosis es la causa más común) o a oclusión venosa esplácnica. Ésta última debido a trombosis de las venas esplénica, mesentéricas, porta; anatomía alterada por procedimientos quirúrgicos (gastrectomía, ileostomía); adherencias postoperatorias; estenosis por procesos inflamatorios crónicos (pancreatitis crónica) y malignidad intraabdominal 1,3,10. Las várices yeyunales e ileales son el resultado de colaterales entre la VMS y el sistema venoso sistémico retroperitoneal 2.
Por su localización y baja sospecha clínica, a menudo, el diagnóstico de las VID es difícil. La presencia de VID como etiología de sangrado gastrointestinal se debe considerar en pacientes con enfermedad hepática conocida o estigmas de hipertensión portal, con antecedente de cirugía abdominal, que se presentan con hematoquecia o melena, en quienes los estudios endoscópicos del tracto gastrointestinal superior e inferior no identifican la etiología del sangrado 1. La VCE, entero TC, enterografía por resonancia magnética (entero RM), angiografía y enteroscopia son herramientas útiles para el diagnóstico de lesiones vasculares en el intestino delgado 2,3,11,12. En pacientes con sangrado gastrointestinal, la VCE es el procedimiento de primera línea para el estudio del intestino delgado, una vez se ha descartado el origen en los tractos gastrointestinal superior e inferior 12. Se identifican VID en cerca del 8% de los pacientes con hipertensión portal sometidos a VCE 11. En vista de la negatividad de la EVDA y colonoscopia, y ante la presencia de un sangrado potencial del intestino delgado, a nuestro paciente se le realizó una VCE que documentó várices yeyunales. La entero TC mostró trombosis de la VMS y várices en yeyuno e íleon. Teniendo en cuenta que la principal etiología de VID es la hipertensión portal, se realizó un doppler portal que la descartó. Las VID en nuestro paciente, fueron secundarias a la trombosis crónica aislada de la VMS. En la literatura, se han descrito pocos casos de VID secundarias a trombosis aislada de esta vena (4-7). Las etiologías de la trombosis venosa reportadas incluyen coagulopatías como deficiencia de las proteínas C, S y antitrombina III, mutación del factor V de Leiden. En nuestro paciente, se diagnosticó
SAF cómo factor predisponente de trombosis en sitio inusual y un antecedente quirúrgico abdominal. Por su historia de trombosis recurrente (TVP, TEP y trombosis de la VMS) asociada a SAF requiere anticoagulación indefinida con cumarínico.
Debido a la baja frecuencia del sangrado por VID, y a la ausencia de ensayos controlados que aborden ésta patología, no existen guías para el manejo del sangrado gastrointestinal por VID 1,10,11. Las intervenciones terapéuticas (endoscópicas, radiológicas y quirúrgicas) se basan en lo descrito en reportes, series de casos, y en la opinión de expertos. Su elección depende de la localización y etiología de la VE, de las comorbilidades del paciente, y de la experiencia local 3,10). No existe un consenso sobre la terapia endoscópica en VID. El resultado exitoso de la escleroterapia con cianoacrilato y la ligadura de várices, a través de enteroscopia, se ha descrito en varios reportes y series de casos 6,10,13. Es frecuente la recurrencia del sangrado con la terapia con cianoacrilato, particularmente, cuando las lesiones vasculares son múltiples 14; y se han descrito complicaciones como embolia sistémica, pulmonar o trombosis de las venas mesentéricas 10,15. En nuestro paciente, no se consideró esta terapia dada la gran extensión y el compromiso multifocal de las várices, que predecía la necesidad de uso de una alta cantidad de cianoacrilato y por tanto aumento del riesgo de embolia, y además una alta probabilidad de recurrencia del sangrado que pondría en riesgo la vida del paciente. La derivación portosistémica intrahepática transyugular (TIPS) se realiza en pacientes cirróticos con hipertensión portal con VID. En pacientes con trombosis de la vena porta como etiología de las VE, se utilizan procedimientos radiológicos como dilatación con balón transhepática percutánea con colocación de stent, embolización, obliteración transvenosa retrógrada con balón (BRTO) 1-3,11. Las intervenciones radiológicas no se consideraron posibles en nuestro paciente por la extensión del compromiso trombótico. La cirugía se recomienda en casos seleccionados, en los que la terapia endoscópica o radiológica es infectiva o no es factible. Se prefiere en pacientes con adecuada reserva hepática (1-3,11). Nuestro paciente se sometió a un abordaje quirúrgico - endoscópico intraoperatorio, con hallazgo de várices multifocales en yeyuno, una de ellas ulcerada, por lo que se le realizó yeyunectomía del segmento afectado, con resolución definitiva del sangrado sin complicaciones o resangrado 6 meses después de la cirugía.
En conclusión, las VID son una causa infrecuente de sangrado gastrointestinal que debe considerarse en pacientes con sangrado potencial del intestino delgado e historia de hipertensión portal o antecedente quirúrgico abdominal. El sangrado por várices yeyuno- ileales, usualmente, es difícil de diagnosticar; tiene una alta tasa de mortalidad; y no hay evidencia disponible para guiar las intervenciones terapéuticas, por lo que éstas dependen de los hallazgos específicos y de la experiencia local.

















