INTRODUCCIÓN
Las articulaciones juegan un papel muy importante en el desplazamiento del animal manteniendo una estructura e integridad adecuada de sus extremidades y proporcionando un soporte adecuado (Rolando, 2013). La enfermedad articular es la causa más común de cojeras en equinos y se relaciona con factores como traumatismo constante, inestabilidad articular, infecciones y alteraciones de la osificación endocondral (Weeren, 2014).
Las articulaciones más afectadas son las del carpo, del tarso y las interfalángicas, las cuales soportan mayor peso y presentan mayor movilidad en el equino (Summer, 2012). Los factores proinflamatorios que afectan la articulación son diversos, entre ellos el factor de necrosis tumoral (TNFα) y la interleucina 1 (IL-1) como los dos principales mediadores de la respuesta inflamatoria. Así mismo, se ha descrito que las reacciones enzimáticas que se presentan en la enfermedad articular son mediadas por la vía clásica del sistema del complemento(Polli Magali et al., 2013).
Los métodos diagnósticos relacionados con la enfermedad articular incluyen el examen físico, la goniometría articular, la evaluación del líquido sinovial y técnicas imagenológicas entre otros (Baxter et al., 2003). El análisis del líquido sinovial se aborda desde el aspecto físico, donde se evalúa la viscosidad, la turbidez, el color, así como el aspecto celular, donde se tiene en cuenta la reacción leucocitaria y las proteínas plasmáticas; además, del cultivo microbiológico (Steel, 2008).
La radiografía es la técnica diagnóstica más utilizada en la evaluación de los cambios estructurales del cartílago articular, pues permite caracterizar los cambios patológicos del hueso en un estadio inicial-agudo o crónico (Vanderperren et al., 2009). No obstante, se señala que hay una pobre correlación entre los signos clínicos ylos hallazgos radiográficos en animales con enfermedad articular, ya que los cambios radiográficos no están presentes en etapas tempranas de la patología (degradación del cartílago), lo cual llevaría al retraso en el diagnóstico y el tratamiento, afectando el pronóstico atlético del paciente (Jara et al., 2016). La ultrasonografía y la resonancia magnética son parte de las técnicas imagenológicas que pueden ser empleadas con el fin de asociar hallazgos del tejido blando, tejido articular y estructura ósea del animal (Caron, 2011).
DESCRIPCIÓN DEL CASO
Equino hembra, raza criolla, de pelaje pinto colorado, con edad de 4 años y 325 kg de peso vivo se presenta a consulta a la Clínica Veterinaria de la Corporación Universitaria Remington, Colombia, con historial de un trauma ocurrido cinco meses atrás en la región del tarso del miembro posterior derecho. La evaluación clínica del paciente determina claudicación unilateral 5/5, hipotrofia de los músculos glúteos derechos, dolor al realizar contacto con el tarso derecho, así como aumento de tamaño y de temperatura de la región afectada. En la inspección se evidencia cicatriz en el aspecto lateral de la articulación tarsocrural del miembro posterior derecho compatible con el sitio del trauma. La zona se palpa tumefacta y dura con algunas zonas pequeñas de efusión sinovial. El perímetro articular, desde la región dorsal del tarso hacia la tuberosidad calcánea fue de 39 cm.

Figura 1 Imagen ecográfica de equino hembra de 4 años con historial de trauma en la región del tarso del miembro posterior derecho. Se observa distensión de la membrana sinovial con aumento del líquido (sinovitis). Obsérvese la sinovia de un aspecto hipoecogénico, heterogénea, con bandas de fibrina, indicando hemorragia intraarticular
Se realizan pruebas dinámicas con el fin de evaluar los posibles sitios de afección presentes en el miembro posterior de la paciente. El desplazamiento se clasifica como claudicación de apoyo con un grado 5/5; así mismo, son evidentes los movimientos compensatorios debido al dolor, apoyando en pinza mientras está en estación. Se realizan bloqueos perineurales para evaluar la sensibilidad del miembro y permitir analgesia para realizar una artrocentesis. Luego del bloqueo tibial y peroneo, el grado de claudicación disminuye a 3/5 y hay apoyo del aspecto solar del casco en estación. Se decide hacer una ecografía articular inicial para evaluar los tejidos blandos y el líquido articular, además de realizar la técnica de artrocentesis ecoguiada (Figura 1).
El ultrasonido articular se realiza con un ecógrafo Emperor Medical G30 con una sonda lineal a una frecuencia de 9 MHz. En el abordaje lateral de la articulación tarsocrural se observa distensión de la membrana sinovial, con aumento del volumen del líquido sinovial y cambios significativos en su ecogenicidad (hipoecogénico, de ecotextura heterogénea), y con presencia de material vegetativo relacionado a bandas de fibrina, las cuales podrían indicar hemorragia intraarticular o hemartrosis.
Al realizar el abordaje ecográfico en la porción plantar y medial de la articulación se encuentra aumento severo de tamaño del tejido blando articular con aumento de su ecogenicidad, ya que se observó hipoecogénico heterogéneo con mínima cantidad de líquido sinovial. Con base a los hallazgos en el ultrasonido se decide realizar la punción articular en la porción lateral de la articulación tarso-tibial (Figura 2). El examen macroscópico del líquido articular muestra un aspecto turbio, sanguinolento con disminución moderada de la viscosidad. Se toman dos muestras del líquido sinovial para la evaluación citológica y cultivo bacteriano y una muestra de sangre para química sanguínea (BUN, creatinina, AST) y hemograma.

Figura 2 Artrocentesis de la región lateral de la articulación tarso-tibial de equino hembra de 4 años. Se observa líquido sinovial ligeramente turbio de color sanguinolento compatible con hemartrosis
Según lo encontrado al examen clínico y por ultrasonido se decide realizar un estudio radiológico ortogonal de tarso y de menudillo (desplazamiento de la articulación interfalángica proximal) del miembro posterior derecho. En la vista lateral del tarso se observa un área de proliferación y reacción perióstica moderada en el aspecto dorsal de la porción distal de la tibia; así mismo, en la porción dorsal del tarso central y del tercer hueso tarsiano, la fosa lateral del talus presenta un aspecto radiopaco poco definido, no pudiéndose observar el espacio de la articulación talo-calcánea lateral. Los tubérculos del calcáneo se observan de aspecto poroso, así como aumento de tamaño del tejido blando en el aspecto dorsal de la articulación.
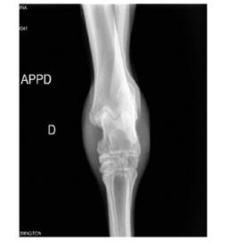
En el abordaje anteroposterior se encuentra proliferación ósea y reacción perióstica del maléolo medial de la tibia, con Figura 3. Radiografía anteroposterior de tar-superficie irregular y disminución de la denso de equino hembra de 4 años con historial sidad, así como para el aspecto medial y late-de trauma en la región del tarso del miembro ral del astrágalo. Se observa disminución del posterior derecho. Se observa reacción espacio articular entre las articulaciones proliferativa en la región distal de la tibia y intertarsianas proximales e intertarsianas generalizada en el astrágalo, con pérdida de distales, lisis óseas en el cuarto hueso tarsiano, los espacios articulares y zonas de lisis ósea y aumento de tamaño del tejido blando en los aspectos mediales y laterales de la articulación tarsiana (Figura 3). En la radiografía lateral del menudillo se encuentra luxación de la articulación interfalángica proximal, mientras que los sesamoideos proximales presentan un patrón apolillado con múltiples zonas focales de lisis ósea y pérdida de densidad.

Figura 3 Radiografía anteroposterior de tarso de equino hembra de 4 años con historial de trauma en la región del tarso del miembro posterior derecho. Se observa reacción proliferativa en la región distal de la tibia y generalizada en el astrágalo, con pérdida de los espacios articulares y zonas de lisis ósea
Los resultados del hemograma mostraron una leve tendencia a la anemia, leve tendencia a leucocitosis, con linfocitosis leve e hiperproteinemia. No se reportó crecimiento bacteriano en el cultivoarticular. En la citología se reportó consistencia sinovial líquida, de color rojo y aspecto turbio, mientras que a nivel microscópico se observó moderada reacción leucocitaria con predominio de neutrófilos (68%), mononucleares (31%) y eosinófilos esporádicos (1%), compatible con artropatía inflamatoria.
Los hallazgos al examen clínico, imagenológicos y de laboratorio se cuenta como diagnóstico presuntivo una osteoartritis del tarso en el miembro posterior derecho, acompañado de luxación de la articulación interfalángica proximal. A nivel terapéutico se instauró un tratamiento dirigido hacia el manejo del dolor. Se administra de manera sistémica 2.2 mg/kg de ketoprofeno durante 5 días, acompañados de una terapia antiulcerogénica con sucralfato 30 mg/kg vía oral cada 12 horas. Además, con el fin de generar un efecto higroscópico sobre las zonas de efusión sinovial se hacen paños con sulfato de magnesio a una dosis de 100 g/2 l, vía tópica cada 12 horas. Se realizó infiltración mediante la técnica ecoguiada de las articulaciones tarsocrural y tibiotarsiana con KenacortR (acetato de triamcinolona) a 9 mg por articulación. Así mismo, se recomendó reposo absoluto de la paciente con descanso en cama profunda y como suplemento articular se suministra ArtiflexR (glucosamina, aceite de soya, vitamina A, vitamina E, condroitina, ácidos grasos esenciales) a una dosis de 25 ml, vía oral cada 24 horas.
La articulación mide 34 cm una semana después, pero a la tercera semana se evidencia un aumento de tamaño articular (39 cm) por lo que se decide realizar un lavado articular con 50 g de DMSO (dimetilsulfóxido) diluidos en 500 ml de solución salina fisiológica. El líquido articular recuperado es de aspecto turbio y color rojo. Se infiltra KenacortR 25 mg totales en la articulación tarsotibial y 10 mg totales en la articulación intertarsiana proximal. Al día siguiente se observa disminución de la claudicación de 4/ 5 a 2/5. El equino mostró signos evidentes de mejoría durante casi un mes, pero luego de un estudio radiográfico de control se evidencian daños moderados a severos a nivel articular, los cuales se relacionan con procesos severos de lisis ósea, marcada disminución de los espacios articulares (anquilosis), reacción perióstica generalizada, y cambios relacionados a enfermedad articular degenerativa.
DISCUSIÓN
En caballos adultos se ha descrito que la osteoartritis puede resultar secundaria a un evento infeccioso-inflamatorio a nivel intraarticular, producto de terapias inadecuadas, utilización incorrecta de fármacos y mala praxis, entre otros (Haerdi-Landerer et al., 2010). En la anamnesis del paciente se reporta que la causa inicial fue un traumatismo en el aspecto lateral de la articulación tarsocrural, el cual produjo efusión articular, aumento de la temperatura de la zona y claudicación, Se hicieron varios tratamientos sin respuesta positiva, derivando en una mayor reacción inflamatoria articular.
Hardy (2006), menciona que el estudio radiográfico en pacientes con artritis séptica es necesario, ya que puede correlacionarse con los hallazgos clínicos presentes en el examen físico del paciente. A su vez describe lesiones como disminución de la opacidad a nivel del hueso cortical, reacción perióstica exacerbada, aumento del tamaño y la densidad de la cápsula articular y aumento del líquido sinovial. Raes et al. (2010) reportan que el 69.7% (62/89) de los animales evaluados tuvieron hallazgos radiográficos relaciones con lesiones compatibles con artritis, hallazgos radiológicos se relacionan con el estudio realizado.
Si bien la artroscopia es el gold standard para el diagnóstico de la patología intraarticular, el ultrasonido y la radiología permiten al clínico obtener más información de forma no invasiva (Baxter et al., 2003). La ecografía puede indicar hallazgos relacionados con el tejido blando y la superficie perióstica a nivel articular (Smith M y Smith R, 2008).
Generalmente la articulación sufre lesión progresiva, llevando a microfracturas del cartílago, pérdida del espacio articular y reacción inflamatoria ósea (Ferris et al., 2011). Según McIlwraith y Friebie (2012), los hallazgos radiográficos más comunes están relacionadas con esclerosis debido al daño del hueso subcondral, osteofitos producto de las microfracturas y separación y mineralización del cartílago articular.
En la actualidad se considera que las terapias continúas con infiltración intraarticular de corticoides pueden resultar nocivas para la integridad articular (Hardy, 2006). No obstante, MclIlwraith y Friebie (2012), mencionan que en estudios controlados con infiltraciones articulares de betametasona y metilprednisolona a los 14 y 35 días en caballos deportistas no se encontraron efectos adversos sobre el cartílago articular. Por otro lado, Sandoval et al. (2013) afirman que la osteoartritis equina es un proceso crónico de afección severa sobre el cartílago articular y que la terapia asintomática no es suficiente para el restablecimiento articular y, por lo tanto, proponen terapias regenerativas tales como factores de crecimiento recombinante, concentrados de plaquetas autólogas, suero autólogo condicionado, además de tratamientos con ácido hialurónico, glicosoaminoglicanos polisulfatados y antagonistas del receptor de IL-1, entre otros.
Adicional a la terapia antiinflamatoriaanalgésica, al paciente se le realizó un lavado intraarticular con DMSO, resultando en una disminución del perímetro articular y de la claudicación. A criterio de los autores, esta terapia fue eficaz en la analgesia del paciente; sin embargo, el perímetro articular aumentó de nuevo hasta estar en 41 mm en la actualidad. En este sentido, Mostafa et al. (2015) mostraron un impacto positivo a nivel intraarticular en el uso de DMSO combinado con hidrocortisona.











uBio 

