INTRODUCCIÓN
Las fracturas de la falange media se producen con mayor frecuencia en los miembros posteriores en caballos de alto rendimiento de mediana edad (4-10 años), siendo los Quarter Horse, la raza más afectada (Colohan, 1991). Este tipo de fracturas ocurre cuando los caballos giran bruscamente y el casco permanece inmóvil, mientras que el resto de las extremidades giran, dando lugar a fuerzas de torsión anormales que se dan a través de la falange media. Esto ocasiona una fractura conminuta de la falange media, principalmente en miembros posteriores (Wulster, 2018). También se reportan fracturas de las eminencias plantares/palmares debido a fuerzas incurridas durante las paradas y los giros repentinos, muy probablemente como una avulsión de la inserción ósea del tendón flexor digital superficial (Watkins, 1996).
Se describen varios tipos de fracturas relacionadas a la falange media, los cuales incluyen, fragmentos osteocondrales que se originan en la cara axial del borde palmaroproximal, fracturas uniaxiales de la eminencia palmar/plantar, fracturas de eminencia uniaxial y fracturas conminutas (Watkins, 1996). Son varias las técnicas imagenológicas descritas para el diagnóstico de esta patología. Las fracturas de la porción distal del miembro pueden ser identificadas mediante radiografía (Nixon, 1999). Se pueden considerar otras técnicas imagenológicas como la gamagrafía, sobre todo en casos en que los fragmentos minerales no sean visibles o no se pueda identificar el origen de la claudicación (Archer, 2007). De otro lado, un diagnóstico por medio de resonancia magnética permite una mejor identificación de las lesiones, tanto del tejido óseo como en los tejidos blandos relacionados al daño (Kramer, 1984).
Según los diversos tipos de fracturas que se pueden presentar en la falange media, las fracturas conminutas son las más frecuentes, afectando mayormente la articulación interfalángica proximal (uniarticular), interfalángica distal o ambas (biarticular) (Elce y Goodrich, 2015). Los signos clínicos de estas fracturas son variables y algunos caballos pueden presentar o no claudicación. Sin embargo, las pruebas de flexión distal y los movimientos en círculo sobre las falanges son dolorosos y el trote en círculos puede exacerbar la claudicación; así mismo, los casos de fracturas conminutas suelen presentarse con una tumefacción justo por encima del rodete coronario (Joyce, 2006).
Este reporte describe el tratamiento de una fractura de segunda falange mediante reducción de la fractura y aplicación de tornillos corticales en una yegua de raza Caballo Criollo Colombiano (CCC) de 4.5 años, con una evolución clínica ortopédica satisfactoria.
CASO CLÍNICO
Fue remitida a la Clínica Veterinaria de la Corporación Universitaria Lasallista (Caldas, Antioquia, Colombia) una yegua Caballo Criollo Colombiano de 4.5 años para reducción y fijación de fractura de segunda falange en el miembro anterior derecho. Al examen clínico, la paciente se encontraba en buenas condiciones generales, con constantes fisiológicas de 40 latidos/min, 60 respiraciones/min, temperatura rectal 38.3 ºC, y con 312 kg de peso corporal.
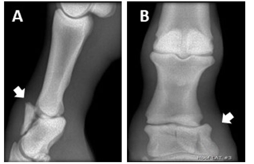
La potranca presentaba claudicación 4/5 durante su remisión y de 3 días de evolución. Se observó inflamación y tumefacción por encima del rodete coronario. Al examen radiológico digital se observó fractura conminuta transversal y vertical de la segunda falange en el miembro anterior derecho (Figura 1).

Figura 1 Estudio radiológico ortogonal de la articulación interfalángica proximal. Se observa una fractura conminuta transversa en la segunda falange
La paciente fue remitida para reducción y fijación de la fractura. Previo a la cirugía, fue premedicada con tratamiento antiinflamatorio de tipo no esteroidal y antibiótico de amplio espectro consistente en: fenilbutazona (4.4 mg/kg de peso) vía IV, penicilina sódica (20 000 UI/kg de peso) vía IV y gentamicina (6.6 mg/kg de peso) vía IV. Se indujo el derribo con xilazina (0.9 mg/kg de peso) vía IV, seguido a los 5 min con diazepam (0.05 mg/kg de peso) vía IV y ketamina (2.2 mg/kg de peso) vía IV. Se ubicó la paciente de decúbito dorsal y para el mantenimiento del plano anestésico se utilizó isoflurano en oxígeno mediante circuito cerrado.
Se preparó el miembro anterior derecho para cirugía aséptica. Se realiza incisión a nivel de piel en forma de cruz en el aspecto dorsal de la cuartilla, se realiza divulsión del tendón extensor digital común, se aproxima la articulación interfalángica proximal y se observa fragmentación múltiple de la segunda falange (Figura 2).

Figura 2 Procedimiento quirúrgico con divulsión del tendón extensor digital común en una potranca con fractura de la falange media del miembro anterior
Se expone aspecto dorso-proximal de la segunda falange donde se suturan fragmentos múltiples con material vicril 2-0 con patrón simple interrumpido. Posteriormente se realiza reducción de la fractura y se aplica tornillos corticales de 3.5 y 2.7 correspondientes al fragmento dorso-proximal. Luego se realiza reducción de la fractura palmar mediante la aplicación de tornillo cortical de 4.5 (Figura 3), procedimientos que se realizan mediante guía radiológica digital (Figura 4). Se sutura el extensor digital común con material vicril 2-0 con patrón simple continuo, y la piel con monofilamento corpalone 2-0 patrón simple continuo. Por último se aplica yeso y la paciente continua con tratamiento antibiótico de amplio espectro y antiinflamatorios.

Figura 3 Reducción de la fractura de la falange media del miembro anterior de una potranca de 4.5 años con tornillos corticales relacionados a los fragmentos dorso-proximal y palmar
Como tratamiento posquirúrgico se instauró penicilina G sódica (20 000 UI/kg de peso) vía IV cada 6 h durante 10 días, gentamicina (6.6 mg/kg de peso) vía EV cada 24 h durante 10 días, fenilbutazona (4.4 mg/kg de peso) vía EV durante 8 días, isoxsuprine 1.2 mg/kg vía oral cada 12 h durante 30 días, flunarizina (40 mg totales) vía oral cada 24 h durante 30 días, omeprazol 4 mg/kg vía oral cada 24 h durante 28 días y cambio de yeso en dos semanas.
DISCUSIÓN
En los equinos, las fracturas óseas se relacionan a lesiones óseas por sobrecarga, las cuales se manifiestan mediante lesiones severas del hueso (Lescun et al., 2007). Según Lavoie (2008), el uso mecánico repetitivo del hueso, secundario a la actividad física, estimula una respuesta de remodelación incompleta del mismo. Debido a esto, se puede afirmar que el hueso cortical responde al estrés formando hueso nuevo, demostrado por el callo perióstico y remodelación del hueso, los cuales son hallazgos visibles a nivel radiográfico. El hueso subcondral responde al estrés remodelándose con esclerosis y lisis (Mira, 2013). Estudios recientes muestran que las fracturas cerradas tienen un 4.3% más de probabilidad de permanecer sin infectarse y 4.95% más de probabilidad de salir de la clínica que aquellos que sufren fracturas abiertas (Ahern et al., 2010).
Las fracturas conminutas se caracterizan por múltiples fragmentos que generalmente involucran las articulaciones interfalángicas proximales y distales (Watkins, 1996), signos como cojera severa, inflamación, inestabilidad articular y dolor a la palpación (Podadera, 2010). Las fracturas conminutas que afectan solo a la articulación interfalángica proximal se consideran de buen pronóstico si el paciente se desplaza en potrero, pero de reservado a malo si se tiene en cuenta la vida deportiva del animal. Elce y Goodrich (2015) indican que fracturas de la eminencia palmar de la segunda falange se relacionan directamente con procesos de rupturas de las fibras tendinosos del tendón flexor digital profundo. En el presente caso se describe una fractura conminuta de la segunda falange asociada en su mayor porción al aspecto dorsal, motivo por el cual se presume que no hubo lesión de tejido blando como el tendón flexor digital profundo.

Figura 4 Imagen radiológica de la reducción de la fractura la fractura de la falange media del miembro anterior de una potranca de 4.5 años mediante clavos corticales
Como parte del plan diagnóstico se realizó un estudio radiográfico ortogonal, donde se evidenció fractura conminuta transversal y vertical de la segunda falange. Con relación a esto, Selberg y Werpy (2011), indican que en este tipo de fracturas no fue posible realizar el diagnóstico definitivo mediante radiografía convencional, por lo cual proponen el uso de la gammagrafía nuclear así como el uso de la resonancia magnética como método diagnóstico específico. En el presente caso, si bien se consideraron varios métodos diagnósticos imagenológicos incluyendo la resonancia magnética, se consideró que la radiografía convencional podría evidenciar un diagnóstico definitivo.
En el presente caso se decidió realizar la reducción quirúrgica de las fracturas (dorsal-palmar) mediante el uso de tornillos corticales, los cuales pueden proporcionar estabilidad ósea y articular mediante la fijación de los fragmentos de la fractura conminuta. Por otro lado, Larry (2000) resaltó la ventaja de la fijación ortopédica con el plato en Y, las cuales incluyen la estabilización de la articulación interfalángica proximal mediante la fijación de la placa a la porción proximal de la segunda falange por medio de tres tornillos colocados a través de la placa. Otra ventaja importante es el extremo distal biselado y cóncavo con el fin de evitar el impacto sobre la cápsula articular interfalángica distal y el proceso extensor de la tercera falange; a su vez, el diseño de la placa resiste la flexión de la articulación interfalángica proximal (Galuppo et al. 2000). En el plan postquirúrgico es determinante la instauración de una técnica de fijación que permita un soporte del peso adecuado, lo cual representa un reto médico para el restablecimiento óseo de la fractura, ya que no en todos los casos se alcanza la estabilización completa.
Se debe hacer énfasis sobre la importancia el plan de rehabilitación formulado para ejemplares con este tipo de lesiones, debido a la alta probabilidad de desarrollar condiciones degenerativas a nivel intraarticular y, en casos puntuales, la recurrencia de fracturas al mismo nivel debido al estrés intraarticular causado por el peso y el tipo de ejercicio del paciente.
CONCLUSIONES
La fijación interna de fracturas en caballos es una alternativa viable desde el punto de vista quirúrgico para la resolución de algunas condiciones de tipo osteoarticular que afectan a diferentes estructuras anatómicas en caballos de alta competencia. La rehabilitación del paciente juega un papel importante, la cual le va a permitir tener una recuperación satisfactoria y poder alcanzar de nuevo su estado físico-atlético que le permitirá desarrollar la actividad deportiva para la cual ha sido entrenado











uBio 

