INTRODUCCIÓN
En 1952, Branemark, ortopedista sueco, desarrolló un sistema de implantes dentales para uso clínico. En 1969 se demostró que era posible el contacto directo entre el hueso y la superficie de un implante de titanio, definiendo el concepto de osteointegración de un implante (Sullivan, 2001). El tratamiento de fracturas en los huesos largos sigue siendo un desafío para la medicina veterinaria. De hecho, las fracturas de huesos largos en animales grandes representan a menudo un mal pronóstico, ya que la inmovilización de la extremidad durante largos periodos de tiempo puede causar lesiones debidas al peso del animal (McClure et al., 1998). Una solución es el uso de dispositivos fijos internos para la curación de fracturas, sin la necesidad de técnicas de inmovilización; sin embargo, los productos disponibles que se utilizan en la cirugía para fijar fragmentos óseos son demasiado costosos y muchos son adaptados de la ortopedia en humanos (Aithal et al., 2004).
Por estas razones, existe una demanda clínica para el desarrollo de implantes específicamente diseñados para ser utilizados en animales. Los más utilizados son placas óseas y clavos intramedulares, que se insertan y/o se fijan al tejido óseo con tornillos. Los clavos intramedulares se han utilizado en ortopedia de humanos desde la década del 50 (Aron et al., 1995), y desde principios de la década del 90 se han utilizado en animales pequeños, como gatos y perros (Dueland et al., 1990; Durall y Diaz-Bertrana, 2005) y años más tarde se comenzó a utilizar clavos intramedulares en fracturas de huesos largos en animales grandes (Watkins y Ashman, 1990; McDuffee et al., 2000). Adicionalmente, se han realizado pruebas con tornillos de interferencia derivados del hueso compacto bovino que muestran resultados favorables similares a los tornillos de interferencia de titanio (Efe et al., 2010).
En la fabricación de implantes se han utilizado diversos materiales, ya sea titanio, aceros inoxidables, polímeros, copolímeros, cerámicos, etc. Existe poca información sobre la fabricación de implantes con hueso animal liofilizado, los cuales se han denominado xenoimplantes (Abedrabbo et al., 2019). Su fabricación es compleja (Efe et al., 2010), sobre todo si se toma en cuenta que el proceso de fabricación puede cambiar la estructura interna del hueso, pudiendo perder sus propiedades de osteointegración y biocompatibilidad (Bernal, 2012). Además, el hueso, después del proceso de liofilización, se fragiliza, lo que puede ocasionar que el hueso se astille o se fracture (Rojas, 2000; Sánchez, 2016).
Ramos de Oliveira (2004) realizó un experimento donde se probó la resistencia máxima al torque en tornillos de hueso liofilizado, así como el par de apriete requerido para la inserción de los tornillos en hueso cortical; sin embargo, no se tomaron en cuenta factores como la herramienta de roscado o los fluidos de hidratación. En consecuencia,
se vio la necesidad de realizar un experimento en el cual se pudiera determinar un procedimiento para estandarizar la implantación de tornillos HA (HA código de tornillos para uso en hueso cortical según ISO 5835:1991) fabricados en hueso bovino liofilizado, tomando como factores de experimentación el fluido de hidratación, el machuelo (herramienta quirúrgica para roscar el orificio en el hueso donde se insertará el tornillo) y el tipo de material del tornillo. Desde el punto de vista médico veterinario, el objetivo de este ensayo, fue determinar la técnica de implantación de los tornillos ortopédicos fabricados en hueso liofilizado, la reacción de los pacientes al implante y finalmente la osteointegración de estos y el tipo de material.
MATERIALES Y MÉTODOS
La mayor limitación al utilizar tornillos ortopédicos fabricados a partir de hueso liofilizado es la fragilidad, que se presenta sobre todo al momento de insertar los tornillos en el hueso cortical del paciente. Se planteó un experimento en el que se toman en consideración dos aspectos importantes: el análisis cualitativo de cómo se comporta el tornillo al momento de su implantación y el análisis cuantitativo que demuestra la forma en la que debe ser insertado el tornillo en base a factores que pueden afectar el procedimiento de implantación. Dichos factores son: material del tornillo, presencia de fluido de hidratación del tornillo antes de ser insertado y el número de pasadas de la herramienta de corte al momento de efectuar el roscado en el hueso del paciente.
Se realizó un diseño de experimento factorial 23 con dos réplicas de cada combinación (tres factores con dos niveles cada uno). El primer factor es el material del tornillo, donde se compararon tornillos HA de acero inoxidable comerciales (nivel acero) con tornillos HA (HA tornillos para hueso cortical) fabricados a partir de hueso cortical bovino, fabricados por Abedrabbo et al. (2019) (nivel hueso) (Figura 1). Estos tornillos ortopédicos tipo HA son fabricados mediante técnicas de mecanizado en hueso bovino liofilizado. Se usan únicamente la tibia y el fémur bovino, ya que estos entregan el mayor espesor de hueso cortical. Los tornillos son de 2.7 mm de diámetro exterior por 10 mm de longitud. Una vez fabricados se esterilizan mediante irradiación gamma. El proceso de fabricación cumple con las especificaciones de la norma ISO 5835:1991, norma técnica que especifica las características dimensionales y tolerancias requeridas para tornillos ortopédicos, así como las dimensiones y ángulos específicos de la rosca de los tornillos tipo HA. El segundo factor es el número de pasadas del machuelo, estableciéndose pare el estudio en 2 y 3 pasadas de la herramienta por el orificio del hueso. El tercer factor es el fluido humectante, para el cual se utilizó una solución salina (solución estéril de cloruro de sodio al 0.9%) empleándose dos niveles, uno seco (sin solución salina) y un nivel húmedo, donde el tornillo ortopédico es remojado por 10 minutos en la solución salina antes de su uso.
Para el desarrollo del experimento se utilizó hueso cortical animal liofilizado en probetas rectangulares de 25 x 10 mm, con las que se fabricaron diferentes uniones atornilladas tipo sándwich, hueso-platina-hueso (Figura 2), dependiendo de las condiciones del experimento antes descritas. El experimento se basa en medir la fuerza requerida para extraer una platina de acero de 0.5 mm de espesor de la junta empernada a un par de apriete (torque o par de fuerzas que ajustan el tornillo) especificado en 1.2 lb*in (13.56 Ncm), calculado con base en la Ecuación 1 y Ecuación 2 (Figura 3). Este par de apriete fue el mismo para todas las pruebas del experimento, es decir la fuerza de extracción solo pudo variar por las condiciones de cómo se insertó el tornillo. Esta fuerza se pude reconocer como un indicador de desempeño del tornillo en su inserción y utilización, ya que entre mayor sea la fuerza de fricción para extraer la platina, mayor será el apriete que generó el tornillo sobre los dos pedazos de hueso (Figura 2). A partir de los tres factores y sus niveles se sacaron ocho combinaciones y se corrieron dos réplicas por combinación; es decir, se experimentaron 16 juntas atornilladas (Cuadro 1).

Figura 2 Probetas de experimentación tipo sándwich construidas a partir del diseño de experimento (ver Cuadro 1)

Figura 3 Ecuación 1. Ecuación que permite estimar el par de fuerzas requerido para apretar el tornillo ortopédico. Ti = Par de apriete indicado para el implante, Ki = Coeficiente de par de apriete dependiente de la forma del implante y el tipo de hueso; d = Diámetro nominal del implante, F1 = Fuerza indicada para la inserción del implante. Ecuación 2. Coeficiente de fricción del tornillo entre el hueso del animal y la rosca del tornillo HA fabricado en hueso liofilizado. Dm es el diámetro medio del tornillo, ö, á son los ángulos de la rosca del tornillo, ì es el coeficiente de fricción estático entre dos huesos.
Cuadro 1 Valores de fuerza mínima en Newtons (N) requerida para extraer la planita metálica de la junta empernada para cada combinación del experimento
A partir de cada observación realizada del experimento se obtiene como resultado una gráfica, fuerza vs. desplazamiento (Figura 4A), tomándose la fuerza más alta de extracción como la mínima fuerza requerida para extraer la platina. Este valor de fuerza en Newtons se reporta en el Cuadro 1 para cada observación del experimento. El experimento se realizó con ayuda de la máquina de ensayos de tensión Instron 5586 (Massachusetts, USA), la cual extrae la platina metálica a una velocidad constante de 0.5 mm/min. En esta máquina se adaptó una prensa manual para sujetar las probetas del experimento. En la Figura 4B se muestra la probeta montada en la máquina de ensayos justo antes de extraer la platina.

Figura 4 A) Gráfica que muestra la fuerza que fue requerida para extraer la platina metálica de la junta de hueso. El pico superior cercano a cero indica la fuerza máxima donde la platina metálica comenzó a desplazarse. B) Se muestra el montaje de la junta atornillada en la máquina de ensayos Instron 5586 justo antes de realizar la extracción de la platina metálica
El empleo de tornillos de acero en ambientes húmedos obtiene valores de fuerza mayores (83 y 95 N), mientras que al utilizar tornillo de hueso en ambientes secos se obtienen los menores valores de fuerza (5 y 6 N). A partir de estos datos se obtiene el análisis cualitativo y cuantitativo del experimento, el cual, con base en el comportamiento de los factores y sus interacciones, describe un procedimiento para la implantación de tornillos HA fabricados en hueso bovino liofilizado.
Método Quirúrgico para la Verificación del Procedimiento de Implantación
Para verificar el procedimiento obtenido se utilizaron los tornillos arriba descritos en cirugías de reparación extraarticular de ruptura de ligamento cruzado anterior en dos pacientes (un felino y un canino) en la Clínica Veterinaria Dover, ubicada en Bogotá, Colombia.
La ruptura de ligamento cruzado anterior es una de las patologías más frecuentes que afecta a los caninos, pero no es muy frecuente en felinos (Fossum, 2012). Su presencia produce invalidez severa, ya que el animal no puede soportar peso sobre la extremidad afectada. Las técnicas para la corrección de esta patología incluyen las intraarticulares, que no son muy utilizadas estos animales por el reducido tamaño de las articulaciones, y las técnicas extraarticulares (Wiethuchter, 2014). Estas últimas consisten en la utilización de algún medio mecánico que evite el desplazamiento craneal de la tibia al recibir el peso del cuerpo. El medio mecánico utilizado en este estudio consistió en la técnica de transposición de un fragmento de fascia lata, que es utilizado para realizar una imbricación del retináculo lateral de la rodilla, con lo que se logra estabilización de la articulación y se impide el movimiento craneal de la tibia. El método quirúrgico utilizado en este estudio fue creado por De Angelis y Lau (1970), modificado por Flo (1975) y evaluado por Knecht et al. (1997), pero utilizando el tornillo óseo en lugar del tornillo metálico convencional.
Mediante un acceso craneolateral a la articulación de la rodilla, se procede a disecar la fascia lata desde la región lateral del plato tibial hasta la región de la pelvis, obteniéndose un colgajo de fascia lata con borde libre dorsal y base en la región tibial.
Se desliza el colgajo por debajo del hueso sesamoideo proximal lateral y de la rama lateral del músculo gastrocnemio. Se calcula la presión necesaria sobre la articulación y se fija la fascia lata al ligamento rotuliano medio, mediante puntos simples de polipropileno 2/0 y a la cresta tibial mediante un tornillo cortical. En el caso del presente estudio se utilizaron tornillos HA 2.7 elaborados en hueso bovino liofilizado.
Los pacientes sometidos a la cirugía fueron sometidos a reposo absoluto por tres días, para luego proceder a caminatas gradualmente más largas. Inmediatamente después de la cirugía se tomaron placas radiográficas en proyecciones medio lateral y anteroposterior para verificar la estabilidad articular y la posición del implante óseo. Los dos pacientes se recuperaron satisfactoriamente de la cirugía y en los controles posteriores a los 15 y 30 días de la cirugía podían utilizar normalmente el miembro operado.
RESULTADOS Y DISCUSIÓN
Análisis Cualitativo de las Juntas Atornilladas
Se observa que, al mantener el implante en solución salina por al menos 10 minutos (nivel húmedo), existe una menor fricción en la implantación del tornillo, ya que la solución salina funciona como lubricante para la rosca del tornillo. Es muy importante que tanto el agujero de la rosca, como la cabeza del implante, queden perfectamente concéntricos, ya que, al ser un implante frágil, si existe una desviación en la concentricidad de los aguje ros se produce un mal ajuste del tornillo o incluso la ruptura del implante.
El manejo de la unión a atornillar es mucho más delicado cuando se emplean implantes de hueso bovino liofilizado, porque la junta de hueso tiene que estar perfectamente alineada y apretada antes de insertar el implante. La fuerza que produce el tornillo es únicamente para dar el ajuste necesario para que no exista separación de las partes del hueso. Esto no es un problema en el implante de acero inoxidable, ya que la fuerza que genera la rosca de este es suficientemente fuerte como para forzar la unión de los huesos. Cuando se ajusta el tornillo HA fabricado en hueso se produce cierta deformación en la rosca, por lo que una vez ajustado el implante, ya no se puede aflojar debido a que la fuerza de fricción que se produce es muy alta y fracturaría el implante.
Análisis Cuantitativo de las Juntas Atornilladas
Con base en los datos del Cuadro 1, mediane diagramas de cajas que se presentan en la Figura 5a-c, se analiza el comportamiento de la fuerza de extracción para cada factor del experimento, donde se observan diferencias significativas entre los niveles del factor fluido de hidratación y el tipo de material (Figura 5; p=0.027). Es decir, el humectar el tornillo en solución salina provoca una variación en la fuerza de extracción de la platina. Por otro lado, los factores tipo de material del tornillo y número de pasadas del machuelo no fueron estadísticamente significativos; es decir, estos dos factores no presentan una variación sobre cómo se inserta el tornillo ortopédico HA.

Figura 5 Diagrama de cajas. A: Factor material; B: Factor fluido; C: Factor machuelo. Se muestra una comparación de la fuerza de extracción de la platina según los niveles de cada factor. La línea dentro de cada caja representa la mediana de los datos en esa combinación, y las líneas punteadas muestran el intervalo de datos obtenidos para cada combinación del experimento
Por medio de diagramas entre los factores (Figura 6a-c) se puede ver la interacción entre las variables de estudio. Los resultados demuestran que las líneas de las gráficas de cada factor tienen la misma tendencia indicando que poseen el mismo efecto entre los niveles de ambos factores. Estas variables son independientes, lo que permite analizar el efecto de cada factor sobre la junta empernada de forma independiente. Con base en estos resultados, se plantea el procedimiento para la implantación de los tornillos con el fin de eliminar posibles fallas o rupturas que puedan producirse en el implante al momento de su inserción.

Figura 6 Diagrama de interacciones entre los factores del estudio, A) Entre el factor material y el factor fluido; B) Entre el factor fluido y el factor machuelo; C) Entre el factor material y el factor machuelo.
Dada su fragilidad, los implantes de hueso deben manipularse con sumo cuidado. Unos 10 minutos antes de su utilización deben estar sumergidos en solución salina. Asimismo, el hueso donde va a ser colocado el implante debe estar bien alineado y presionado, con el fin de producir agujeros en el hueso de la manera más colineal posible. Se debe pasar el machuelo ideal para el implante según el tamaño de su rosca, por lo menos tres veces en el agujero del hueso. El agujero roscado debe estar completamente limpio (se puede higienizar con la misma solución salina utilizada para remojar el implante). Al momento de efectuar la inserción del implante, se debe realizar con un torquímetro médico calibrado al par de apriete ideal dependiendo de su tamaño (fuerza con la que se debe apretar el implante, obtenida de la Ecuación 1 y Ecuación 2), y mantenerlo en dirección colineal al agujero, evitando cualquier flexión que se pueda producir en el tornillo. Se recomienda no aflojar el implante después de su inserción, ya que esto puede producir su fractura. El tornillo no debe sobresalir del hueso, puesto puede provocar el crecimiento de callos que sobresalen del hueso. Para esta investigación se utilizaron tornillos ortopédicos HA2.7, lo cuales poseen un par de apriete calculado de 1.2 lb*in (13.56 Ncm).
Análisis del Método Quirúrgico para la Verificación del Procedimiento
Para verificar que el proceso de implantación de xenoimplantes tipo tornillo HA es viable se utilizó en cirugías de reparación extraarticular de ruptura de ligamento cruzado anterior en dos pacientes. El tratamiento fue de tipo ambulatorio. Los puntos de la sutura de la piel fueron retirados a los 15 días de la cirugía y se hizo una segunda evaluación a los 30 días sin que se observase signos locales de inflamación local que indicara reacción a los implantes. Los pacientes presentaron marcha normal y la evaluación física, motora y radiográfica demostró la aceptación total del implante utilizado.
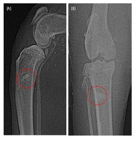
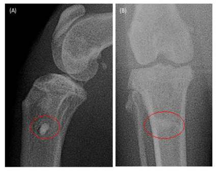
En la imagen radiográfica del posoperatorio inmediato del paciente canino (Figura 7) se visualiza una estructura radio-paca correspondiente al perfil completo del tornillo, donde no hay fractura o daño dentro de su estructura. En la imagen radiográfica del posoperatorio inmediato del paciente felino (Figura 8) se puede observar, de manera similar, que las imágenes radiopacas que corresponden a la tibia y al implante se visualiza completamente delimitado, sin fractura o daño dentro de su estructura. Así mismo, alrededor del implante se visualiza un halo radiolúcido, lo que diferencia el hueso del paciente con el implante insertado y corresponde a la inexistencia de osteointegración, la cual debe ocurrir en los meses posteriores a la cirugía.

Figura 7 Tornillo de hueso bovino liofilizado insertado en paciente canino sometido a cirugía de reparación extraarticular de ruptura de ligamento cruzado anterior. Radiografía tomada inmediatamente después de la cirugía, A) Vista frontal, B) Vista lateral

Figura 8 Tornillo de hueso bovino liofilizado insertado en paciente felino sometido a cirugía de reparación extraarticular de ruptura de ligamento cruzado anterior. Radiografía tomada inmediatamente después de la cirugía, A) Vista frontal, B) Vista lateral
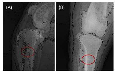
La radiografía posoperatoria del paciente felino a los 30 días de la cirugía (Figura 9), muestra una reducción notoria de la zona radiolúcida anteriormente comentada, lo que confirma que ya se presentan principios de osteointegración del implante en el hueso del animal y al no visualizar un perfil nítido en la imagen radiopaca del tornillo, se comprueba que la regeneración es inminente. Estas imágenes confirman que el procedimiento descrito en esta investigación es exitoso para la implantación de tornillos ortopédicos HA en los pacientes.
CONCLUSIONES
Se presenta un procedimiento estándar de cómo deben ser tratados e implantados los tornillos ortopédicos tipo HA de hueso bovino liofilizado en animales de compañía.
Las etapas más importantes para implantar tornillos HA de hueso bovino liofilizado son la hidratación del tornillo en el preoperatorio, el correcto manejo de los tornillos y la utilización del torquímetro médico calibrado para no exceder el par de apriete especificado, dependiendo del tamaño del implante.
Se presenta un método de cálculo para el par de apriete del implante, junto con la utilización de un torquímetro medico calibrado, que permite que el implante quede bien ajustado y siempre bajo el mismo par de fuerzas requerido según su tamaño.
Los tornillos óseos implantados a los pacientes canino y felino en el presente ensayo, se osteointegraron al hueso del huésped de forma satisfactoria, sin reacciones de rechazo.











uBio 



