INTRODUCCIÓN
La criptorquidia es una falla congénita en la cual los testículos no han descendido al escroto después de los 2 meses de edad en caninos y felinos, sino que uno o ambos testículos se encuentran en la cavidad inguinal o abdominal (MacPhail y Fossum 2019). Entre las complicaciones más comunes asociadas a la criptorquidia en caninos se encuentran la torsión testicular y el desarrollo de neoplasias testiculares, reportándose incidencias del 9.2 al 13.6% de estas últimas, mientras que en los casos de testículos retenidos en la cavidad inguinal son más frecuentes las neoplasias de células intersticiales, sertolinomas o seminomas (Heather, 2018).
Hasta un 15% de perros con sertolinoma, también llamado tumor de células de Sertoli, presentan signos de hiperestrogenismo si el testículo se encuentra en el escroto, aumentando la probabilidad hasta un 70% cuando el testículo está ubicado en la cavidad abdominal (Bertoldi et al., 2014). Las manifestaciones clínicas más comunes derivadas del hiperestrogenismo son atrofia del testículo opuesto al afectado, alopecia simétrica, piel delgada, disminución de la libido, ginecomastia, miel supresión y metaplasia prostática (Henrique et al., 2016). Asimismo, se reconoce que hasta un 16% de perros de 2 años presentan enfermedad prostática y la incidencia aumenta al 50 y 80% cuando tienen 5 y 8 años, respetivamente (Romagnoli, 2009).
El tratamiento para la hiperplasia prostática puede basarse en estrógenos, progestágenos, e inhibidores de la á5 reductasa; sin embargo, estos fármacos tienen efectos adversos, algunos no son apropiados para su uso en veterinaria, y son costosos, de allí que la castración es el tratamiento de elección, pues produce una rápida e irreversible disminución del tamaño prostático, sin exponer los perros a los efectos adversos del tratamiento médico (Adel y Khadidja, 2017). Según Smith (2008), a pesar de la apariencia histológica de malignidad de los sertolinomas, el pronóstico es bueno cuando se realiza castración bilateral antes de que aparezca la metástasis. En este artículo se reporta el caso de un paciente que presentó criptorquidismo bilateral, sertolinoma del testículo derecho, e hiperplasia prostática benigna quística y que fue tratado con éxito mediante la castración bilateral.
CASO CLÍNICO
Se presenta a consulta en el hospital veterinario ASMEVET de la ciudad de Tunja, Colombia, un canino de raza Beagle, de 8 años y 11 kg de peso-El propietario reporta que el paciente ha venido perdiendo pelo desde hace unos meses, ha aumentado el consumo de agua y la frecuencia de las micciones, y que desde hace dos días se encuentra inapetente y deprimido, y se queja en el momento de orinar.
Hallazgos Clínicos
En la evaluación clínica, mediante tacto rectal, se encontró la próstata aumentada de tamaño y asimétrica, dolor al realizar el tacto rectal, ausencia de testículos en la bolsa escrotal y región inguinal, alopecia en región ventral del cuello, tronco, periné, pecho y cola, y presentaba ginecomastia (Figura 1).
Ayudas Diagnósticas
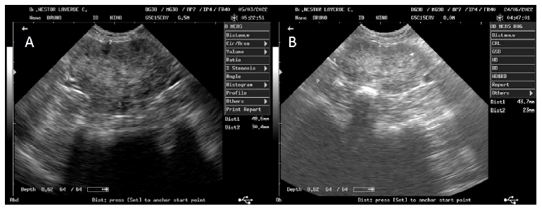
Se tomaron muestras de sangre para hemograma, perfil hepático (alanina aminotransferasa [ALT], fosfatasa alcalina sérica, albúmina, ácidos biliares), y perfil renal (creatinina, nitrógeno ureico en sangre [BUN], calcio, fósforo, ácido úrico).Además, se obtuvo una muestra de orina por cistocentesis para uroanálisis. En el hemograma se encontró trombocitopenia y neutrofilia con desviación a la izquierday y en el uronanálisis se identificó la presencia de espermatozoides, leucocituria (3+) proteinuria (2+) y sangre (2+). Además, se realizó ecografía transabdominal donde se identificaron los testículos retenidos, la próstata aumentada de tamaño, con un parénquima heteroecogénico y microquistes (Figura 2).
Tratamiento
Se inició el tratamiento médico con enrofloxacina 5 mg/kg c/24 h durante 10 días, meloxicam 0.2 mg/kg una dosis, reduciendo la dosis a 0.1 mg/kg c/24 h por 3 días. Además, se programó el paciente para orquiectomía.
Previo a la cirugía, se sometió al paciente a una trasfusión de sangre completa. Al día siguiente se realizó la laparotomía exploratoria. El testículo izquierdo tenía apariencia hipoplásica y el derecho presentaba un aumento considerable de tamaño y era de forma irregular (Figura 3). Se procedió a ligar la arteria testicular, la vena testicular y el conducto deferente, con sutura absorbible 2-0 lo más lejos posible del órgano, y se extirpó junto con su órgano homónimo. Se inspeccionó el abdomen sin encontrar hemorragias ni metástasis. Los testículos fueron conservados en formaldehído al 10% y remitidos a estudio histopatológico al laboratorio Histovet(r) (Tunja, Colombia).Además, se tomó una muestra de próstata mediante punción con aguja fina para ser remitida a citología (Figura 4). Se cerró el abdomen en tres capas.

Figura 3 Intervención quirúrgica en un canino Beagle de 8 años. Testículo derecho aumentado de tamaño y con forma irregular (Tunja, Colombia)

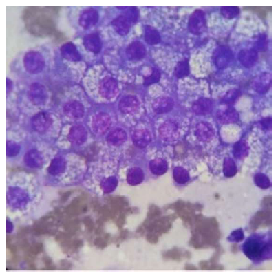
Figura 4 Histopatología de testículo derecho y citología de próstata en un canino Beagle de 8 años diagnosticado con sertolinoma maligno. Vista microscópica en 100x (Coloración Wrigth) de células epiteliales glandulares con forma cúbica, tamaño similar, citoplasma básofilico, nucleo central y redondo (Tunja, Colombia)
El paciente fue dado de alta al día siguiente de la cirugía, medicado con cefalexina 25 mg/kg c/12 horas por 14 días, meloxicam 0.1 mg/c/24 por 3 días, y citado a controles cada 15 días para monitoreo ecográfico del tamaño prostático. Allí se evidenció la reducción del tamaño de la próstata, además de la mejoría clínica y la remisión de la alopecia (Figura 5).

Figura 5 Canino Beagle de 8 años diagnosticado con Sertolinoma maligno tres meses después de orquiectomizado (Tunja, Colombia)
Los testículos son la tercera estructura anatómica en la cual se reporta la mayor frecuencia de tumores en el canino, siendo la criptorquidia un factor predisponente para el desarrollo de neoplasias como tumor de células intersticiales, seminomas, tumor de células de Sertoli y tumores testiculares mixtos (Gazin et al., 2022). Según Patil et al. (2021), la criptorquidia uni o bilateral aumenta el riesgo de 9 a 13 veces de desarrollar tumores testiculares responsables de elevar los niveles de estrógenos, prolactina, y hormona de crecimiento. Por otro lado, aunque las causas de alteraciones de la próstata en perros son diversas, más del 80% de los perros mayores de 5 años presentan prostatomegalia debido a hiperplasia prostática benigna (Johnston et al., 2000).
Los perros con hiperplasia prostática benigna son propensos a desarrollar hiperplasia prostática benigna quística y prostatitis y, a pesar de que el diagnóstico definitivo de la enfermedad prostática requiere biopsia, se puede realizar un diagnóstico presuntivo de la enfermedad con base en los signos clínicos, la historia, el examen rectal, la citología y los hallazgos ecográficos (Smith, 2008). El diagnóstico de hiperplasia prostática benigna quística del presente caso se basó en los hallazgos ecográficos, los signos sistémicos, las alteraciones hematológicas, las anormalidades del uroanálisis, la palpación rectal y la citología.
La aproximación al diagnóstico de tumores testiculares se puede hacer mediante-el examen físico, la historia y la ecografía; sin embargo, el diagnóstico definitivo se obtiene mediante estudio histopatológico (Orlandi et al., 2022). En el presente caso se diagnosticó el sertolinoma maligno mediante histopatología. Según Navarrete et al. (2015), el 60% de sertolinomas producen síndrome de feminización debido al incremento de estrógenos; además, son responsables de alopecia simétrica bilateral no pruriginosa, metaplasia escamosa de la próstata, hipoplasia medular y atrofia del testículo homónimo. Por otro lado, Dearakhshandeh et al. (2020) señalan que el tratamiento de la hiperplasia prostática benigna puede ser farmacológico a base de Finasterida o Tadalafalil; sin embargo, el tratamiento considerado como el estándar de oro sigue siendo la orquiectomía bilateral. En este caso se optó por el tratamiento quirúrgico, debido a la confirmación mediante ecografía de la presencia de un testículo tumoral intraabdominal.










uBio 




