Introducción
El síndrome de interrupción del tallo hipofisiario (SITH) es un cuadro clínico infrecuente, caracterizado por la tríada imagenológica de tallo hipofisario delgado o interrumpido, lóbulo posterior ausente o ectópico y lóbulo anterior hipoplásico o aplásico. Los pacientes con esta alteración presentan como característica principal el panhipopituitarismo. La incidencia es baja, 0,5 casos por cada 1 000 000 recién nacidos vivos 1.
Fujisawa describió por primera vez este síndrome en 1987. La causa exacta de esta entidad aún se desconoce, pero se han propuesto dos teorías: la primera son lesiones perinatales, como las relacionadas al parto distócico e hipoxia neonatal, y la segunda, por una organogénesis defectuosa, provocada por factores genéticos o ambientales durante el embarazo. Se han identificado mutaciones de los genes comprometidos en la embriogénesis y migración de la pituitaria (PROP1, LHX3, HEXSX1, PROKR2 y GPR161) 2,3.
El diagnóstico suele hacerse tardíamente o pasa desapercibido debido a que depende de las manifestaciones clínicas presentes. En los neonatos aparece como hipoglucemia, ictericia, micropene y criptorquidia. En los adolescentes y adultos se caracteriza por talla baja, retardo en los caracteres sexuales, epilepsia o retraso intelectual 4.
Caso clínico
Se trata de una paciente de 19 años, con antecedentes prenatales de infección de vías urinarias en la madre durante el embarazo, en el segundo y tercer trimestre, con tratamiento completo. Debido a ello, nació por cesárea con edad gestacional a término. Presentó ictericia al nacer, por lo que estuvo hospitalizada por un mes. Además, presentó nistagmo congénito. Tuvo un desarrollo psicomotor y crecimiento normal en la infancia y no presentó problemas de aprendizaje en la escuela. Refiere que contrajo toxoplasmosis en 2020, con tratamiento y sin secuelas. Se la diagnosticó de retraso de la pubertad y amenorrea secundaria en 2020 y anemia desde 2023. La madre refiere que recibió terapia de remplazo hormonal con progesterona, vitamina E, acetato de ciproterona + etinilestradiol, con lo cual observó un ligero aumento de las mamas y menstruación. Posteriormente, abandonó el tratamiento.
La paciente acudió al hospital porque, de forma insidiosa, tres días antes de su ingreso presentó fiebre, disnea y poliartralgias luego de regresar de un viaje de una semana a una ciudad al norte del país. Dos días antes de su ingreso presentó cefalea holocraneana y un día antes, vómitos, fiebre y cefalea. Al examen físico se obtuvo lo siguiente: PA: 116/64, FC: 92, FR: 16, T°: 37,1. En la piel resaltó palidez moderada; por otro lado, se observó el cuello ancho. Las mamas eran de aspecto infantil, mientras que hubo ausencia de vello axilar y púbico. En el aparato cardiovascular, los ruidos cardiacos fueron regulares, sin soplos, taquicárdicos. El abdomen y el aparato respiratorio no presentaron alteraciones. En cuanto al aspecto neurológico, despierta, lúcida, poco interactiva. Los ojos presentan nistagmo oscilatorio.
Al ingreso, con diagnóstico de dengue, se solicitaron los siguientes exámenes (Tabla 1):
Tabla 1 Exámenes de ingreso
Prueba rápida de dengue NS1 | Positivo |
---|---|
Leucocitos | 2540 |
Segmentados | 69,00 % |
Hemoglobina | 9,4 |
Plaquetas | 53 000 |
TGO | 49 |
TGP | 17 |
DHL | 252 |
Tiempo de protrombina | 15,1 |
Tiempo de tromboplastina | 57,5 |
Glucosa | 42 |
Troponina T | 6,56 |
Creatinina | 0,84 |
Urea | 1 |
Durante su hospitalización, se monitorizan los siguientes exámenes y perfil hormonal por los hallazgos al examen clínico (Tabla 2).
Tabla 2 Dosaje hormonal y electrolitos
Dosaje hormonal | |
---|---|
Sodio | 140 |
Potasio | 3,7 |
Cloro | 105 |
FSH | 1,3 |
LH | 0,8 |
PRL | 9,3 |
Estradiol | 5,0 |
TSH | 3,9 |
T4L | 0,57 |
Insulina | 26,9 |
Testosterona | <0,025 |
DHEAS | 0,100 |
Androstenediona | 0,1 |
17oh progesterona | 0,45 |
ACTH | 1,05 |
Se realizaron ecografías pélvica y de tiroides, obteniendo los siguientes resultados: útero hipotrófico y ovarios presentes para la primera; glándula tiroides conservada para la segunda. Además, presentó bradicardia, por lo que se le realizó un EKG: ritmo sinusal, eje 90°, FC: 45, P: 0,08, QRS: 0,8, ST: 0,36. Asimismo, se realizó un control seriado de hematocrito y plaquetas por el diagnóstico de dengue con signos de alarma debido a los riesgos que existen (Tabla 3).
Tabla 3 Seguimiento de plaquetas y hematocrito
Muestras | 1 | 2 | 3 | 4 | 5 |
---|---|---|---|---|---|
Plaquetas | 41 000 | 32 000 | 25 000 | 26 000 | 51 000 |
Hematocrito | 26 | 27 | 26 | 27 |
Debido al cuadro inicial de hipoglicemia, se administró dextrosa al 5 % en infusión y se le realizó la toma de glicemias capilares seriadas cada ocho horas. Volvió a presentar otro cuadro de hipoglicemia al día siguiente del ingreso, que se resolvió de manera inmediata.
Se le realizó interconsulta con el servicio de endocrinología, que concluye panhipopituitarismo con ejes comprometidos: hipogonadismo hipogonadotrófico, hipotiroidismo secundario; descartar insuficiencia adrenal secundaria.
Solicita resonancia magnética (RNM) de hipófisis con contraste.
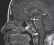
El resultado de la RNM fue ausencia de representación del infundíbulo-tallo hipofisiario, así como de la neurohipófisis en el nivel intraselar por el presente método de estudio. Adenohipófisis disminuida de altura sin lesiones focales. Imagen con aspecto de neurohipófisis ectópico (Figura 1). Estos hallazgos sugieren el SITH.

Figura 1 RNM de hipófisis con contraste (gadolinio), corte sagital: adenohipófisis disminuida de altura sin lesiones focales
La paciente tuvo una evolución favorable. Se le dio el alta cuatro días después del ingreso al hospital al superar el cuadro agudo de dengue. Durante su hospitalización, recibió terapia de reemplazo hormonal con levotiroxina e hidrocortisona. Se indicó control por consultorio externo de endocrinología para seguimiento y manejo (Figura 2).
Discusión
El motivo de la consulta de la paciente fue por un síndrome febril agudo, que resultó ser dengue. Sin embargo, al momento de realizar la anamnesis y el examen físico, se observó la falta de desarrollo de los caracteres sexuales secundarios y la amenorrea. El SITH es una entidad que afecta predominantemente al sexo masculino 4.
Chrzanowska reportó que el principal motivo de derivación al servicio de endocrinología fue la talla baja. Otros motivos fueron hipoglucemia, retraso en la maduración sexual, sospecha de síndrome de Cushing, microfalo, hipotiroidismo secundario, diabetes insípida, epilepsia farmacorresistente, displasia del septo óptico en resonancia magnética e insuficiencia suprarrenal en los resultados de laboratorio 5. En el caso de nuestra paciente, la talla de 1,70 m y el peso de 57 kg son el promedio. Sin embargo, durante su hospitalización presentó cuadros de hipoglicemia no sintomática que se corrigieron con solución de dextrosa al 5 % en infusión continua.
Wang observó en recién nacidos que la hipoglucemia persistente y la ictericia fueron las características clínicas fáciles de detectar, a veces acompañadas de hiponatremia e incluso convulsiones, las cuales proporcionan pistas de SITH 6. En niños se encontró comúnmente anomalías congénitas externas como criptorquidia, defectos de la línea media y nistagmo 7.
Un reporte de caso evidencia la clínica de un paciente adulto, quien presentó deficiencia de adrenalina, tiroxina, esteroides gonadales y hormona del crecimiento 8. Otra alteración que se puede observar en adultos es hígado graso no alcohólico de rápida progresión 9. En un estudio en el que se comparó la fertilidad de mujeres con este síndrome con un grupo control, se observó que las primeras tuvieron menos hijos, 0,33 vs. 0,63 10.
Hallazgos como retraso del crecimiento y pubertad retardada deben hacer pensar en realizar estudios hormonales y, según los resultados, el estudio radiológico de la hipófisis en busca de la etiología 4. En un estudio se observó que el síntoma principal que llevaba al diagnóstico fue la hipoglicemia en un 34,6 % 11. La edad promedio del diagnóstico fue de 9,4 a 11,6 años 12.
El seguimiento que se realiza a estos pacientes debe ser continuo, ya que inicialmente se presentan con déficit aislado de hormona de crecimiento. En la literatura se reporta déficit de HGH en el 100 % de los casos, FSH/LH en el 95,8 %, ACTH en el 81,1 % y TSH en el 76,3 % 4. No se hizo estudio de GH en este caso. También se observó que un nivel alto de prolactina puede ser un indicador 13.
En conclusión, el médico del primer nivel de atención debe sospechar de panhipopituitarismo al encontrarse con pacientes con retraso del crecimiento o de la pubertad, o que cuenten con antecedentes perinatales como hipoglicemia, ictericia, convulsiones o los antes mencionados, para así enviarlos a un tercer nivel de atención y que se les realicen los estudios correspondientes. El reconocimiento y tratamiento oportunos mejorarán el pronóstico y la calidad de vida de los pacientes afectados y de sus familias. El tratamiento se basa en reposición de las hormonas deficientes en el individuo 14,15.