SciELO - Scientific Electronic Library Online

 
vol.37 número2Tétanos y uso de toxina botulínica: reporte de casoImplicancias de la biopsia selectiva de ganglio centinela en cadena mamaria interna en el cáncer de mama índice de autoresíndice de materiabúsqueda de artículos
Home Pagelista alfabética de revistas  

Servicios Personalizados

Revista

Articulo

Indicadores

  • No hay articulos citadosCitado por SciELO

Links relacionados

  • No hay articulos similaresSimilares en SciELO

Compartir


Acta Médica Peruana

versión On-line ISSN 1728-5917

Acta méd. Peru vol.37 no.2 Lima abr-jun 2020

http://dx.doi.org/10.35663/amp.2020.372.919 

Reporte de casos

Hemorragia alveolar por montelukast: reporte de caso

Montelukast-induced alveolar hemorrhage: report of a case

Carlos M Martínez Montalvo¹  , Médico general, residente de Medicina Interna
http://orcid.org/0000-0003-3136-4395

Laura C. Gutierrez Rueda1  , Médico general, residente de Medicina Interna
http://orcid.org/0000- 0001-8769-5535

Daniela Flórez Remolina1  , médico interno
http://orcid.org/0000-0002-7636-1510

1Universidad del Rosario. Bogotá, Colombia.

RESUMEN

La hemorragia alveolar difusa es un hallazgo clínico patológico, consecuencia de una lesión en la microcirculación pulmonar que se presenta con sintomatología inespecífica e incluso en pacientes asintomáticos. Se diferencian tres diagnósticos histopatológicos, siendo la capilaritis el más común y secundario a patologías autoinmunes. Se presenta el caso de un paciente, con hallazgo imagenológico y en lavado broncoalveolar, compatible con hemorragia alveolar difusa en quien se descartó como causa, enfermedades autoinmunes e infecciosas; durante la anamnesis, se identificó inicio reciente de montelukast, con relación temporal, respuesta a suspensión, cambio imagenológico y escalas de probabilidad de reacción adversa de Naranjo que apoya el diagnóstico.

Palabras clave: Hemorragia alveolar; Reacción adversa medicamentosa; Montelukast

ABSTRACT

Diffuse alveolar hemorrhage is a pathological finding, defined as a consequence of a lesion in pulmonary microcirculation which occurs with non-specific symptoms, and sometimes it may show no symptoms. Three histopathological diagnoses are to be differentiated. The most common is capillary inflammation, which is secondary to autoimmune conditions. We present the case of a patient with image studies and bronchoalveolar lavage compatible with diffuse alveolar hemorrhage, in whom autoimmune and infectious causes were ruled out. The history of the patient indicated recent use of montelukast, being this time-related with the patient’s clinical condition. The patient responded when the drug was withheld, image studies showed particular findings, and results in the Naranjo ADR scale supported the diagnosis.

Keywords: Pulmonary hemorrhage; Adverse reaction; Montelukast

INTRODUCCIÓN

La hemorragia alveolar difusa (HAD), es una entidad con una mortalidad descrita que puede alcanzar hasta el 100% 1. Su presentación clínica es variable, pero, con descripción típica dada por hemoptisis, infiltrados alveolares difusos, caída del hematocrito y falla ventilatoria hipoxémica. Se diferencian tres diagnósticos histopatológicos: capilaritis pulmonar, hemorragia alveolar blanda y daño alveolar difuso 1,2. Su diagnóstico requiere broncoscopia más lavado broncoalveolar, para determinar la presencia de glóbulos rojos o hemosiderofagos >20%, siendo el principal hallazgo, la capilaritis pulmonar (1-3). Se describen muchas entidades como causa de esta patología, pero las principales, son las enfermedades autoinmunes, incluyendo la enfermedad de tejido conectivo, seguido de causas infecciosas 3.

Cuando se habla de HAD en relación con fármacos, su patrón histológico más común es la capilaritis pulmonar, sin datos en su incidencia ni mortalidad y tres mecanismos fisiopatológicos dados por: reacciones de hipersensibilidad, toxicidad directa y defectos de la coagulación. El montelukast causa HAD a través de un mecanismo de hipersensibilidad; este medicamento es un inhibidor selectivo del receptor de leucotrienos tipo 1, utilizado como terapia coadyuvante en pacientes con asma de difícil manejo, por sus efectos antiinflamatorios en la vía aérea. Durante la fase experimental, se documentó una baja incidencia de eventos adversos comparado con el placebo 4,5. Dentro de los principales efectos adversos del fármaco mencionado, se encuentran las manifestaciones neuropsiquiátricas (principalmente depresión y síndrome de Churg Strauss, entre otros). Hay reporte de HAD secundario a montelukast con hallazgos de capilaritis pulmonar 6.

Se presenta el caso clínico de un paciente con relación causal de temporalidad al inicio del montelukast, asociado a cambios imagenológicos y lavado broncoalveolar compatible con hemorragia alveolar difusa, sin biopsia pulmonar.

REPORTE DE CASO

Hombre de 76 años con antecedente de enfermedad pulmonar obstructiva crónica (EPOC) estadio C, Gold 3 oxígeno requirente en manejo con inhaloterapia (formoterol, budesónida y tiotropio). Consulta al servicio de urgencias, por cuadro clínico de una semana de evolución, consistente con deterioro de la disnea según clase funcional mMRC (modified Medical Research Council) II-III, tos con expectoración hialina y edema maleolar. Ingresa con signos vitales dentro de lo normal, al examen físico no se encontraron alteraciones en mucosas, piel, articulaciones, abdomen o sistema nervioso central. En los estudios diagnósticos iniciales, se encuentra un electrocardiograma sin anormalidades, en ritmo sinusal, péptido natriurético tipo B (BNP) normal, ecocardiograma transtorácico con fracción de eyección conservada sin alteraciones estructurales ni funcionales y marcadores de daño miocárdico normales (troponina negativa), descartando sustrato isquémico.

Se amplía estudios con tomografía de tórax de alta resolución (TACAR), mostrando deterioro de la transparencia del parénquima pulmonar bilateral con respecto a estudio TACAR realizado tres semanas previas. En el reporte de panel viral, se encontraron reactantes de fase aguda negativos y demás paraclínicos dentro de rango normales, incluyendo perfil de autoinmunidad (Tabla 1), por lo cual se lleva a broncoscopia más lavado broncoalveolar en el segmento anterior del lóbulo superior derecho, sin evidencia de alteraciones macroscópicas del árbol traqueobronquial y análisis microscópico con evidencia de Bk negativo, KOH negativo, hemosiderofagos >28%, neutrofilia ligera y cultivos negativos; hallazgos anteriores compatibles con hemorragia alveolar difusa.

Tabla 1 Reporte de exámenes de laboratorio. 

AST: aspartato aminotransferasa; ALT: alanina transaminasa; TP: tiempo de protrombina; TPP: tiempo parcial de tromboplastina; INR: international normalized ratio; BNP: pétptido natriurético tipo B; HbA1c: hemoglobina glicosilada; ANAS: anticuerpos antinucleares; ENAS: antígenos nucleares extractables; DNA: deoxyribonucleic acid; c-ANCA: anticuerpo anticitoplasma de neutrófilos, patrón de fluorescencia citoplasmático; p-ANCA: anticuerpo anticitoplasma de neutrófilos, patrón de fluorescencia perinuclear; C3: componente 3 del complemento; C4: componente 4 del complemento.

Se vuelve a interrogar al paciente, el cual refiere inicio reciente de montelukast (dos semanas previas), por episodios recurrentes de broncoespasmo considerándose posible asma superpuesta a EPOC. Se suspende manejo con inhibidor de leucotrieno y se indican pulsos de glucocorticoides por tres días con mejoría significativa de la sintomatología. Al descartar como causas, las patologías autoinmunes e infecciosas sin presentar manifestaciones asociadas a ninguna de estas entidades e inicio reciente de un medicamento con cambios agudos en la tomografía de tórax con respecto a la previa (Figura 1 y 2) y hallazgos de hemorragia alveolar difusa, se considera alta probabilidad que haya cursado con una reacción adversa al montelukast. No se realizó TACAR de control dada la mejoría clínica presentada por el paciente.

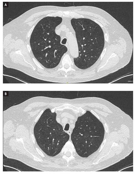
Figura 1 Tomografía simple de tórax, ventana pulmón con corte axial tres semanas previas al inicio de síntomas (A) y una semana previa de inicio de montelukast (B). Enfisema centrilobulillar más evidente en el lóbulo superior derecho, signos de hipertensión pulmonar precapilar, sin otros hallazgos en parénquima pulmonar o mediastino. 

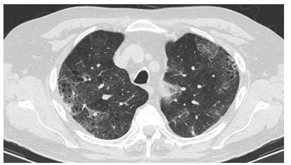
Figura 2 Tomografía simple de tórax, ventana pulmón con corte axial dos semanas posterior al inicio de montelukast. Deterioro de la transparencia de ambos parénquimas pulmonares a predominio de lóbulos superiores con áreas de distribución no segmentaria con patrón de «vidrio esmerilado» de etiología inespecífica y cambios por enfisema centrolobulillar. 

DISCUSIÓN

La hemorragia alveolar difusa, es un síndrome clínico patológico resultante de la disrupción de la membrana alveolo capilar, con alteraciones de la microcirculación pulmonar, incluyendo capilares alveolares, arteriolas y vénulas. Esto, lleva a la acumulación de glóbulos rojos, fibrina o hemosiderofagos en el espacio alveolar evidenciada en la biopsia que puede ser secundaria a alteraciones pulmonares o sistémicas1. Su mortalidad varía de 20% a 100% 2,3 y los datos de frecuencia son de estudios retrospectivos, mostrando que hasta el 88% se asocian a capilaritis, siendo la etiología principal, en algunos estudios, la patología autoinmune. La incidencia de HAD asociada a vasculitis ANCA es de aproximadamente 5% al 45% 7 y dentro de estas, la granulomatosis con poliangeitis (32- 41%), síndrome de Goodpasture (13%), hemosiderosis pulmonar idiopática (13%), enfermedad de colágeno (13%) y poliangeitis microscópica (9%) 4. Otros estudios muestran frecuencias de vasculitis ANCA secundario a medicamentos (18%) y 35% causas desconocidas 2. Un estudio más reciente encontró que el 75% correspondía a causas no inmunológicas en las cuales se incluyen causas infecciosas (aspergilosis, herpes, citomegalovirus y Acinetobacter baumanni), oncohematológicas y cardiovasculares (insuficiencia cardiaca congestiva y estenosis mitral) 5.

Las manifestaciones clínicas típicas de la HAD, incluyen hemoptisis, infiltrados alveolares difusos, caída del hematocrito y falla respiratoria hipoxémica; pero un tercio de los pacientes no presentan hemoptisis, algunos presentan infiltrados unilaterales y su presentación puede manifestarse desde horas hasta días, en un contexto agudo a subagudo 6. Su diagnóstico está basado en broncoscopia, hallazgos en el lavado broncoalveolar o la biopsia pulmonar que, aunque no siempre esta clínicamente indicada, puede aportar información adicional para el diagnóstico 8. El retorno hemorrágico seriado del lavado broncoalveolar, confirma el diagnóstico de HAD. La presencia de hemosiderofagos >20% es compatible con este diagnóstico, pero tiene una especificidad limitada para determinar la causa de la enfermedad 9. Se diferencian tres entidades, según hallazgos histopatológicos: capilaritis pulmonar, hemorragia alveolar blanda y daño alveolar difuso, siendo la primera la más común 3,10,11. En el caso presentado del paciente, sobre los síntomas característicos de la enfermedad, mostró descenso del hematocrito, imagen en vidrio esmerilado en el TACAR y broncoscopia compatible con HAD, sin lograr obtener biopsia transbronquial, lo que dificultó el diagnóstico histopatológico de la enfermedad. La HAD, puede ser dividida según su etiología en infecciosa y no infecciosa, basado en el estado inmunológico del paciente; por ejemplo, en inmunocomprometidos, las patologías infecciosas más frecuentes son citomegalovirus, adenovirus, aspergilosis invasiva, micoplasma, legionela y estrongiloides; y en inmunocompetentes son influenza A (H1N1), dengue, leptospirosis, malaria y stapylococcus aureus 12.

En la capilaritis pulmonar hay un infiltrado intersticial a predominio neutrofílico con leucocitoclástia, asociado a necrosis fibrinoide de la pared alveolar y del capilar, que condiciona daño de la membrana basal 5. La hemorragia alveolar blanda se caracteriza por presencia de hemosiderofagos en el espacio alveolar sin respuesta inflamatoria asociada ni destrucción del parénquima 3. El daño alveolar difuso, se caracteriza por presentar dos fases: la primera o aguda, en donde existe daño del endotelio capilar y del epitelio alveolar, produciendo edema y engrosamiento intersticial; la segunda fase u organizativa, se caracteriza por fibrosis intersticial con proliferación de neumocitos tipo 2 (causa más común SDRA) 3,5.

Dentro de los hallazgos imagenológicos en su abordaje inicial, la radiografía de tórax mostrará opacidades intersticiales difusas; en la tomografía de tórax, se visualizarán inicialmente opacidades en vidrio esmerilado, áreas de consolidación con vidrio esmerilado, engrosamiento intersticial inter e intralobular y finalmente engrosamiento septal con patrón de «crazy paving» con resolución progresiva dos semanas posteriores al evento 6,13. La prueba de capacidad de difusión pulmonar (DLCO), tiene un incremento en resultados igual o mayor al 50% debido al aumento de disponibilidad de hemoglobina en el espacio alveolar, siendo un marcador sensible de hemorragia alveolar difusa, aunque no es posible realizarlo en la mayoría de los pacientes con sospecha diagnóstica por el alto riesgo de inestabilidad 2.

En la HAD por medicamentos se describe principalmente el patrón histológico de capilaritis pulmonar; su frecuencia es desconocida, requiere de confirmación histológica, excluyendo los mimetizadores como son enfermedades del tejido conectivo y lupus eritematoso sistémico. Puede dividirse en tres, según su fisiopatología: el primero es por reacción de hipersensibilidad: propiltiouracilo, difenilhidantoina, penicilina, agentes quimioterapéuticos, sulfazalasina, hidralazina, antagonistas de leucotrieno y mitomicina; el segundo es por toxicidad directa: agentes quimioterapéuticos, amiodarona, nitrofurantoina y cocaína; y el tercero es por defectos en la coagulación: agentes trombolíticos, anticoagulantes, inhibidores de agregación plaquetaria, trombocitopenia inducida por medicamentos y dextrano 70 14.

El montelukast es un inhibidor selectivo del receptor de leucotrienos tipo 1 que se encuentra en la vía aérea y es sintetizado por los mastocitos, eosinófilos, basófilos y macrófagos. Tiene efectos antiinflamatorios, por lo que es utilizado como terapia coadyuvante en pacientes con asma de difícil manejo. Tiene metabolismo hepático y excreción principalmente gastrointestinal, con alta unión a proteínas (>99%). Durante los ensayos clínicos se documentó baja incidencia de eventos adversos comparado con el placebo 15,16.

Se han documentado múltiples reportes de caso que presentan reacciones adversas a medicamentos, siendo las principales las reacciones de hipersensibilidad (anafilaxia, infiltración eosinofílica y vasculitis autoinmune tipo Churg Strauss), alteraciones psiquiátricas, alteraciones hepatobiliares y pancreáticas. La hemorragia alveolar difusa como reacción adversa a montelukast se ha descrito en el contexto del desarrollo de granulomatosis alérgica en menos del 0,01% de los pacientes, obteniendo en el estudio histológico, generalmente, capilaritis y necrosis fibrinoide de la pared alveolar y capilar 17. En el caso reportado, se descartaron las causas más frecuentes de HAD, es decir, enfermedades autoinmunes y procesos infecciosos a nivel pulmonar. No se obtuvo muestra patológica (biopsia transbronquial), pero el lavado broncoalveolar era compatible con HAD por el hallazgo de más de 28% de hemosiderofagos, considerándose como una hemorragia alveolar difusa probable.

No se encontraron reportes en la literatura que asocien el uso de montelukast con hemorragia alveolar difusa, sin embargo, se considera que este caso cumple criterios, según la escala de probabilidad de Naranjo de seis puntos (definitivo), para asociar el uso del fármaco con el desenlace, dada la secuencia temporal, la respuesta clínica posterior al retiro del fármaco y que fueron descartadas otras patologías más comunes asociadas al cuadro clínico (18). Por lo tanto, se consideró y clasificó como una asociación probable, adicionalmente se cuenta con tomografía previa al uso del medicamento con cambio relacionado con inicio del mismo 13,19,20.

En conclusión, la HAD es una entidad potencialmente mortal y su asociación con fármacos es poco frecuente. En el presente caso, se establece relación de causalidad según criterios de la escala de Naranjo entre la administración de montelukast y la presentación de hemorragia alveolar difusa, lo que permite al lector, visualizar el proceso por el cual se llegó al diagnóstico de una reacción adversa medicamentosa de baja prevalencia y la relevancia del caso presentado, teniendo en cuenta que no se encontraron reportes de caso en la literatura que muestren esta asociación.

REFERENCIAS BIBLIOGRÁFICAS

1. Lara AR, Schwarz MI. Diffuse alveolar hemorrhage. Chest. 2010;137(5):1164-71. DOI: 10.1378/chest.08-2084 [ Links ]

2. Buendía-Roldán I, Navarro C, Rojas-Serrano J. Diffuse alveolar hemorrhage: Causes and outcomes in a referral center. Reumatol Clínica. 2010;6(4):196-198. doi: 10.1016/S2173-5743(10)70044-7 [ Links ]

3. De Prost N, Parrot A, Cuquemelle E, Picard C, Antoine M, Fleury-Feith J, et al. Diffuse alveolar hemorrhage in immunocompetent patients: Etiologies and prognosis revisited. Respir Med. 2012;106(7):1021- 32. doi: 10.1016/j.rmed.2012.03.015 [ Links ]

4. Travis WD, Colby TV, Lombard C, Carpenter HA. A clinicopathologic study of 34 cases of diffuse pulmonary hemorrhage with lung biopsy confirmation. Am J Surg Pathol. 1990;14(12):1112-25. doi:10.1097/00000478-199012000-00003 [ Links ]

5. Vito EL De, Dubra CL, Precerutti JA. Hemorragia alveolar difusa. Diez años de experiencia. Rev Am Med Respir. 2016;16(1):84-89. [ Links ]

6. Park MS. Diffuse alveolar hemorrhage. Tuberc Respir Dis. 2013;74(4):151-62. doi: 10.4046/trd.2013.74.4.151 [ Links ]

7. Ning S, Zhang X, Xu C, Dang X, Cheng H, Zhu K, et al. Methylprednisolone and plasmapheresis are effective for life-threatening diffuse alveolar hemorrhage and gastrointestinal hemorrhage in granulomatosis with polyangiitis: A case report and literature review. Medicine (Baltimore). 2018;97(17):e0592. doi: 10.1097/MD.0000000000010592. [ Links ]

8. Scapa JV, Fishbein GA, Wallace WD, Fishbein MC. Diffuse Alvolar Hemorrhage and Pulmonary Vasculitides: Histopathologic Findings. Semin Respir Crit Care Med. 2018;39(4):425-433. doi: 10.1055/s0038-1669412 [ Links ]

9. Lally L, Spiera RF. Pulmonary Vasculitis. Rheum Dis Clin North Am. 2015;41(2):315-331. doi: 10.1016/j.rdc.2015.01.004 [ Links ]

10. Rodríguez-Chagolla JM, Gutiérrez-Bernal J, García-Alcalá MC, Estrada-Castro E, García-Nava M, Meléndez-Mercado C, et al. Hemorragia alveolar difusa: frecuencia, causa y desenlace. Med Int Mex. 2016;32(2):169-175. [ Links ]

11. Gómez-Román JJ. Hemorragias alveolares difusas pulmonares. Arch Bronconeumol. 2008;44(8):428-36. doi: 10.1016/S0300-2896(08)72107-0 [ Links ]

12. Von Ranke FM, Zanetti G, Hochhegger B, Marchiori E. Infectious diseases causing diffuse alveolar hemorrhage in immunocompetent patients: A state-of-the-art review. Lung. 2013;191(1):9-18. doi: 10.1007/s00408-012-9431-7 [ Links ]

13. Lichtenberger JP, Digumarthy SR, Abbott GF, Shepard JAO, Sharma Diffuse pulmonary hemorrhage: Clues to the diagnosis. Curr Probl Diagn Radiol. 2014;43(3):128-39. doi: 10.1067/j.cpradiol.2014.01.002 [ Links ]

14. Schwarz MI, Fontenot AP. Drug-induced diffuse alveolar hemorrhage syndromes and vasculitis. Clin Chest Med.2004;25(1):133-40. doi: 10.1016/S0272-5231(03)00139-4 [ Links ]

15. Haarman MG, van Hunsel F, de Vries TW. Adverse drug reactions of montelukast in children and adults. Pharmacol Res Perspect. 2017;5(5): e00341. doi: 10.1002/prp2.341. [ Links ]

16. Calapai G, Casciaro M, Miroddi M, Calapai F, Navarra M, Gangemi S. Montelukast-induced adverse drug reactions: A review of case reports in the literature. Pharmacology. 2014;94(1-2):60-70. doi:10.1159/000366164 [ Links ]

17. Bibby S, Healy B, Steele R, Kumareswaran K, Nelson H, Beasley R. Association between leukotriene receptor antagonist therapy and Churg-Strauss syndrome: An analysis of the FDA AERS database. Thorax. 2010;65(2):132-8. doi: 10.1136/thx.2009.120972 [ Links ]

18. Naranjo CA, Busto U, Sellers EM, Sandor P, Roberts EA, Janecek E, et al. A method for estimating the probability of adverse drug reactions. Clin Pharmacol Ther. 1981;30(2):239-45. doi: 10.1038/clpt.1981.154. [ Links ]

19. Zaki SA. Adverse drug reaction and causality assessment scales. Lung India. 2011;28(2):152-3. doi: 10.4103/0970-2113.80343 [ Links ]

20. Ferner RE. Causality Assessment in an Evolving Pharmacovigilance Landscape (Internet). Uppsala: Ther Innov Regul Sci; 2012 (citado el 20 de marzo de 2020). Disponible en: https://www.who-umc.org/media/164840/umc-conference-report_2012.pdf [ Links ]

Citar como: Martínez Montalvo CM, Gutierrez Rueda LC, Flórez Remolina D. Hemorragia alveolar por montelukast: reporte de caso. Acta Med Peru. 2020;37(2):198-203. doi: https://doi.org/10.35663/amp.2020.372.919

Recebido: 26 de Março de 2020; Aceito: 28 de Maio de 2020

Correspondencia: Carlos Mauricio Martínez Montalvo carlitos220792@gmail.com

Contribuciones de autoría: los autores declaran haber realizado contribuciones significativas a la concepción y diseño del manuscrito, la recolección de los datos, redacción y revisión crítica del contenido del manuscrito, la aprobación final de la versión que se publicará y asumen la responsabilidad frente a todos los aspectos del manuscrito.

Potenciales conflictos de interés: los autores declaran no tener conflictos de intereses.

Fuente de financiamiento: autofinanciado.

Creative Commons License Este es un artículo publicado en acceso abierto bajo una licencia Creative Commons