INTRODUCCIÓN
Los linfangiomas son malformaciones benignas del sistema linfático que afectan con mayor frecuencia a los niños, y en raras ocasiones a adultos, usualmente menores de 20 años. Los datos reportados en la literatura sobre esta patología oncológica benigna muestran que su ubicación abdominal representa menos del 5 % de todos los casos y, dentro de estos, la afección principal es del mesenterio, retroperitoneo y el omento, siendo muy infrecuente su localización esplénica, y aunque son más frecuentes los localizados en cuello y axilas, pueden afectar cualquier órgano. En los adultos afecta más a las mujeres y su expresión clínica en adultos, usualmente es asintomática, sin embargo, los de localización abdominal suelen presentar síntomas, en relación con su ubicación anatómica, y manifestarse con dolor abdominal. A pesar de esto, el diagnóstico puede tardar de semanas a años, en probable relación con la ausencia de síntomas o síntomas misceláneos; en la literatura los reportes son de alrededor de 200 casos, de los cuales muy pocos son en Latinoamérica. Por tanto, presentamos el caso de una mujer adulta que debutó con síntomas misceláneos y dolor abdominal, en quien se identificaron por imágenes múltiples lesiones limitadas al bazo, con diagnóstico final de linfangiomatosis esplénica 1-3.
PRESENTACIÓN DEL CASO
Presentamos el caso de una mujer de 36 años con un cuadro clínico de 6 meses de dolor abdominal difuso sin irritación peritoneal asociado a adinamia, deposiciones líquidas ocasionales y malestar general, sin otros síntomas asociados, multiconsultante, al examen físico se evidencia, abdomen doloroso en hemiabdomen izquierdo sin irritación peritoneal y con esplenomegalia, con antecedentes relevantes de colecistectomía por laparoscopia y embarazo ectópico, sin antecedentes familiares oncológicos u otros relevantes.
Como parte de los estudios ambulatorios se le realizó una ecografía total de abdomen, que mostró el bazo aumentado de tamaño con presencia de múltiples imágenes quísticas. Ante la sospecha de lesión tumoral esplénica, se solicitó una tomografía axial computarizada con contraste de abdomen, que reveló múltiples lesiones esplénicas hipodensas e hipovasculares, con sospecha diagnóstica de lesiones linfoproliferativas; posteriormente se le solicitó una resonancia magnética nuclear de abdomen con contraste que reportó esplenomegalia significativa con múltiples lesiones, predominantemente sólidas, y algunas de aspecto quístico.
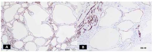
Con los datos obtenidos dados por adinamia, diarrea y lesiones sólido-quísticas esplénicas se planteó como primera posibilidad diagnóstica una patología linfoproliferativa linfomatosa, y como diagnóstico diferencial sarcoidosis, tuberculosis y en menor probabilidad hamartomas esplénicos o angiomatosis; por tal motivo se solicitó una esplenectomía diagnóstica. El estudio anatomopatológico mostró hallazgos macroscópicos, microscópicos y de inmunohistoquímica (positividad de las lesiones quísticas para CD31 y D2-40) compatibles con Linfagiomatosis Esplénica Difusa ( -3). Actualmente la paciente se encuentra en seguimiento clínico con control de los síntomas, con seguimiento imagenológico sin aparición de nuevas lesiones, sin requerimiento de manejo adicional.

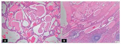
Figura 1 Cortes macroscópicos del bazo con linfangiomatosis difusa. Revelan múltiples espacios quísticos de varios diámetros llenos de líquido seroso.

Figura 2 A y B. H-E con 10X, muestran numerosos espacios quísticos de variable tamaño con contenido de material proteináceo amorfo y tapizados por endotelios aplanados.
DISCUSIÓN
La linfagiomatosis es una malformación linfática rara que afecta principalmente el cuello (higroma quístico) (75 %) y las axilas (20 %) en la población pediátrica, es muy infrecuente en adultos (<10 % de todos los casos) y más aún su afección esplénica, que representa menos del 5 % de los linfangiomas, lo cual hace relevante la presentación del caso actual. Como ocurrió en nuestro caso, es más frecuente en mujeres, se ha planteado un estímulo de crecimiento adicional por los estrógenos, tal como sucede en los hemangiomas y quistes hepáticos. Los tumores primarios del bazo constituyen tan solo el 0,007 % de todas las autopsias y resecciones quirúrgicas 3. Pueden presentarse como afección de un solo órgano, o como afección múltiple en el Síndrome de Linfagiomatosis. Su fisiopatología se sustenta en la agenesia linfática, que produce ectasia linfática secundaria a la ausencia de comunicación entre los conductos linfáticos, y genera dilatación terminal hasta la formación de quistes 4.
Dentro de su estelar clínico puede ir desde casos asintomáticos, identificados de forma incidental en procedimientos diagnósticos o quirúrgicos, hasta cuadros recidivantes de manifestaciones gastrointestinales. El dolor abdominal es una de sus principales manifestaciones, como sucedió en este caso, sin embargo, la expresión clínica miscelánea inicial como sucedió con esta paciente puede retardar el diagnóstico de semanas a años. El cuadro puede estar acompañado de fiebre, astenia-adinamia, anorexia, pérdida de peso y en ocasiones presentar síntomas difusos como dolor de hombro, dolor en hipocondrio izquierdo y estreñimiento, por tal motivo, tanto la linfagiomatosis como las patologías quísticas del bazo deben ser parte de las posibilidades diagnósticas del dolor abdominal asociada a síntomas como diarrea y astenia-adinamia 5-7.
El diagnóstico de la patología esplénica debe incluir imágenes como la ecografía, tomografía o resonancia magnética. Debido a sus limitaciones sobre los límites topográficos de la lesión, la ecografía solo es útil como aproximación diagnóstica. Contrario a esto, la tomografía sí brinda más herramientas incluyendo el tamaño, aproximación a su histología y relación anatómica. Dentro de los datos que sugieren una linfangiomatosis se encuentran pequeñas lesiones satélites periféricas, que se pueden acompañar de calcificaciones murales satélites. Finalmente, la resonancia no aporta grandes diferencias, solo el beneficio de la no irradiación. En este caso los hallazgos imagenológicos no fueron certeros, lo cual aumentó la sospecha de patología linfática maligna y obligó al manejo quirúrgico, como herramienta diagnóstica y definitiva, gracias a los hallazgos inmunohistoquímicos que confirmaron su condición benigna 3,8. Su confirmación inmunohistoquímica se hace con el factor específico para endotelio D2-40, como se realizó en nuestro caso 3.
El diagnóstico diferencial de las lesiones quísticas puede ser abordado por la clasificación de Pearl-Nassar que sugiere 3 tipos: parasitarios (E. granulosus), primarios con revestimiento endotelial (hemangioma o linfangioma) o revestimiento epitelial (dermoides, epidermoides o transicional), y secundarios o traumáticos que no tienen revestimiento, lo cual brinda una orientación histopatológica en su diagnóstico, sin embargo, el diagnóstico definitivo de la etiología del quiste lo define la inmunohistoquímica como sucedió en este caso 3,8.
Su tratamiento convencionalmente es con esplenectomía total, a través de laparotomía media o subcostal izquierda, como se realizó en este paciente. Algunos sugieren realizar exéresis local con el fin de conservar parénquima esplénico y evitar la asplenia, sin embargo, en el caso de esta paciente el compromiso del parénquima no permitió dar un manejo quirúrgico conservador. La vía por laparoscopia para lesiones esplénicas no es apoyada por todos los cirujanos; tampoco es común el tratamiento médico conservador con interferón-alfa, puesto que está en fase experimental y no se encuentra de uso rutinario 3,8. El pronóstico es bueno y su tasa de recidiva es baja, aunque algunos pueden malignizarse y convertirse a linfangiosarcomas, en el caso de esta paciente a la fecha no ha presentado recidivas 3.
En conclusión, este caso nos plantea que en el diagnóstico diferencial del dolor abdominal asociado a síntomas misceláneos y esplenomegalia, no solo se debe pensar en las patología benignas de alta frecuencia, enfermedades infecciosas o neoplasias malignas, sino en linfangiomatosis, a pesar de que este tipo de tumores linfáticos benignos son muy raros y aún más en adultos, en los que comúnmente es diagnosticado de forma incidental, bajo la presencia de síntomas inespecíficos como en el caso que presentamos.















