INTRODUCCIÓN
La nueva enfermedad asociada a coronavirus originada en China el 2019, designada COVID-19 (Coronavirus Disease 2019) es producida por un nuevo virus denominado Severe acute respiratory syndrome coronavirus 2 (SARS-CoV-2), de presunto origen zoonótico en Asia, pero con evidente propagación de persona a persona que se ha diseminado rápidamente en el mundo y declarada oficialmente como pandemia por la Organización Mundial de la Salud el 11 de marzo de 20201-4.
Esta enfermedad se caracteriza por producir neumonía severa progresiva, notificándose más de 80 mil casos confirmados y más de 3000 fallecidos en China hasta febrero de este año. En el mundo se reportan alrededor de un millón de infectados de los cuales han fallecido más de 67 mil personas, siendo los países más afectados Italia, España y Francia1,4-6.
El primer caso reportado en América fue en Estados Unidos de Norteamérica (EEUU) el 23 de enero de 2020, pero recién a fines de marzo el número de casos se incrementa abruptamente, considerandos actualmente el nuevo epicentro de la pandemia. En América del Sur se presentó primero en Argentina en febrero de 2020, siendo actualmente los países más afectados de esta parte del continente Brasil, Chile y Ecuador5,6.
En nuestro país, se confirmó la primera persona infectada el 6 de marzo de 2020, incrementándose rápidamente el número de casos, se presentan las primeras víctimas mortales el 19 de marzo (tres el mismo día) y dos en los días siguientes. En Perú hasta el 6 de abril de 2 020 se realizaron 20 414 pruebas diagnósticas, obteniendo 2 561 casos positivos para SARS-CoV-2, 387 pacientes estaban hospitalizados, 89 en cuidados intensivos con ventilación mecánica y se habían reportado 92 fallecimientos5,6.
El Hospital Nacional Edgardo Rebagliati perteneciente al Seguro Social de Salud (EsSalud) fue considerado como centro de referencia para COVID-19 en Lima y viene atendiendo una importante cantidad de pacientes hospitalizados en el país, habiendo sobrepasado la capacidad de los ambientes destinados para este fin. El presente estudio busca describir las características demográficas, clínicas y laboratoriales de pacientes con COVID-19 fallecidos en el servicio de emergencia de un hospital terciario de la seguridad social.
MÉTODOS
Diseño y área de estudio
Estudio observacional, retrospectivo realizado en el servicio de emergencia de adultos del Hospital Nacional Edgardo Rebagliati Martins de EsSalud, ubicado en el distrito de Jesús María en Lima-Perú, incluyendo los pacientes fallecidos con resultado positivo a infección por SARS-CoV-2 (mediante RT-PCR) entre el 6 de marzo y 4 de abril del 2020.
Población y muestra
Se incluyó al total de pacientes fallecidos con resultado positivo a infección por SARS-CoV-2 (mediante RT-PCR) entre el 6 de marzo y 4 de abril del 2020. En el hospital se destinó un área aislada para identificación, atención y hospitalización de pacientes COVID-19 desde los primeros días de marzo del 2020. Según las características el paciente era enviado a casa para aislamiento, pasaba a un tópico de emergencia o era admitido a salas de observación, dispuestas para pacientes sospechosos, confirmados y críticos (con ventilación mecánica).
Procedimientos y variables
Se identificaron a los pacientes con diagnóstico de COVID-19 que hayan fallecido dentro del Hospital, una vez identificados, se revisaron las historias clínicas y registros hospitalarios buscando variables sociodemográficas, antecedentes, manifestaciones clínicas, radiológicas, tratamiento indicado y evolución.
Análisis estadístico
Los datos fueron codificados y procesados en Microsoft Excel 2013, se realizó un análisis estadístico descriptivo, calculando medidas de tendencia central y de dispersión para las variables cuantitativas; así como la distribución de frecuencias absolutas y relativas, en el caso de las variables cualitativas.
RESULTADOS
Se identificaron 14 pacientes con COVID-19 fallecidos entre 11 y 31 de marzo. La edad de los pacientes varió entre 26 y 97 años (promedio 73,4 +/- 40,7), siendo del sexo masculino el 78,6% de los casos, la distribución por edad y sus características epidemiológicas se presentan en la Tabla 1. Uno de los pacientes no fue hospitalizado y falleció en su domicilio dos días después de haberse atendido en el servicio de emergencia, conociéndose su resultado positivo de hisopado nasofaríngeo el mismo día del fallecimiento.
Se encontraron factores de riesgo para enfermedad grave en 92,9% de los casos, siendo más frecuentes la edad mayor de 60 años, hipertensión arterial y obesidad. Los distritos de procedencia más frecuentes fueron Miraflores, Jesús María, Chorrillos y La Molina. Dos pacientes adquirieron la infección en España y uno en Estados Unidos de Norteamérica.
Se reportó un tiempo de enfermedad entre 3 y 14 días (promedio 8 +/- 3,0). Las manifestaciones clínicas más frecuentes al ingreso fueron polipnea, disnea, fiebre, tos y estertores pulmonares (Tabla 2); los diagnósticos de ingreso fueron insuficiencia respiratoria aguda y neumonía severa en todos los casos. Las alteraciones de exámenes de laboratorio más frecuentes fueron elevación de proteína C reactiva, hipoxemia y linfopenia (Tabla 2).
Tabla 1 Características epidemiológicas de pacientes fallecidos por COVID-19, en un hospital terciario de Lima hasta el 6 de abril de 2020.
| Características | n° (14 casos) | % |
|---|---|---|
| Edad | ||
| Menor de 30 años | 1 | 7,2 |
| 30 a 39 años | 1 | 7,2 |
| 40 a 49 años | 0 | - |
| 50 a 59 años | 2 | 14,2 |
| 60 años o más | 10 | 71,4 |
| Sexo | ||
| Masculino | 11 | 78,6 |
| Femenino | 3 | 21,4 |
| Distrito de procedencia | ||
| Lima Centro | 9 | 64,3 |
| Otra zona de Lima | 5 | 35,7 |
| Lugar de infección | ||
| Extranjero | 3 | 21,4 |
| Local | 11 | 78,6 |
| Factores de riesgo | ||
| Adulto mayor | 10 | 71,4 |
| Hipertensión arterial | 6 | 42,9 |
| Obesidad | 3 | 21,4 |
| Enfermedad pulmonar crónica | 2 | 14,3 |
| Diabetes mellitus | 1 | 7,1 |
| Uso de corticoides | 1 | 7,1 |
| Infección por VIH | 1 | 7,1 |
| N° de factores de riesgo por paciente | ||
| Uno | 4 | 28,6 |
| Dos | 6 | 42,9 |
| Tres | 3 | 21,4 |
Tabla 2 Manifestaciones clínicas y resultados de exámenes auxiliares de pacientes fallecidos por COVID-19, en un hospital terciario de Lima hasta el 6 de abril de 2020.
| Manifestaciones clínicas y resultados de laboratorio al ingreso | n° (14 casos) | % |
|---|---|---|
| Síntomas | ||
| Fiebre | 11 | 78,6 |
| Disnea | 11 | 78,6 |
| Tos | 10 | 71,4 |
| Diarrea | 4 | 28,6 |
| Rinorrea y odinofagia | 2 | 14,3 |
| Náuseas y vómitos | 2 | 14,3 |
| Signos | ||
| Polipnea (> 20 respiraciones por minuto) | 12 | 85,7 |
| Estertores respiratorios | 9 | 64,3 |
| Saturación de oxígeno < 90% | 8 | 57,1 |
| Exámenes auxiliares | ||
| PCRa elevada (media 22 mg/dl +/-4,8) | 10 | 71,4 |
| PaFi < 240 | 10 | 71,4 |
| Linfopenia (<1000/mm3) | 9 | 64,3 |
| Leucocitosis (>12000/mm3) | 4 | 28,6 |
| Elevación de transaminasas (>40 U/L) | 3 | 21,4 |
| Hiperglicemia (>140 mg/dl) | 3 | 21,4 |
PCR: Proterina C reactiva ultrasensible.
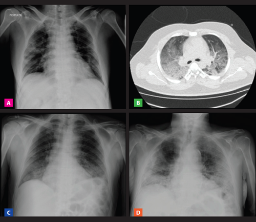
Se realizó radiografía de tórax en 9 pacientes y tomografía pulmonar en 2 casos, no habiéndose realizado estudios en los primeros casos por no disponer de equipos o disposiciones específicas para trasladar a los pacientes al área de radiodiagnóstico. Se encontraron alteraciones radiológicas bilaterales en todos los casos, predominando patrón intersticial en vidrio esmerilado (en 6 de los 9 casos) y patrón mixto alveolar e intersticial en los otros 3 casos (Figura 1).

Figura 1 Estudios radiológicos de pacientes fallecidos por COVID-19, en un hospital terciario de Lima, Perú (A) Varón 61 años con diabetes e hipertensión arterial, muestra patrón intersticial en vidrio esmerilado bilateral. (B) Varón 26 años antecedente de asma bronquial y obesidad, con predominio de lesiones intersticiales en vidrio esmerilado. (C) Varón 66 años sin antecedentes y con patrón alveolo-intersticial bilateral. (D) Mujer 97 años antecedente de hipertensión arterial, con lesiones alveolo-intersticiales bilaterales
En lo referente al tratamiento, 11 casos (78,6%) ingresaron a ventilación mecánica, uno de ellos en modalidad no invasiva en un paciente de 97 años con adecuado nivel de conciencia, pero sin respuesta favorable. Se administró azitromicina 500 mg VO diarios en 10 pacientes (71,4), hidroxicloroquina a dosis de 400 mg VO cada 12 horas en 9 casos (64,3%) y antibióticos de amplio espectro en 57,1%. Todos los pacientes recibieron oxígeno suplementario y sintomáticos como analgésicos (paracetamol) o antipiréticos (metamizol) condicionales. Se administró sedación (midazolam) y analgesia (fentanilo) por infusión endovenosa continua a 9 de los 11 pacientes en ventilación mecánica. Se usó corticoides sistémicos (hidrocortisona) en un paciente con antecedente de asma y evolución desfavorable.
Las complicaciones reportadas fueron shock distributivo en apoyo inotrópico con noradrenalina (cuatro casos), disfunción orgánica múltiple (dos casos), falla renal aguda con hemodiálisis de apoyo (un caso), paro cardiorespiratorio al ingreso que responde a resucitación (un caso) y neumotórax posterior a procedimiento resuelto con drenaje torácico (un caso). La estancia hospitalaria promedio fue 4,7 días (+/- 2,4).
DISCUSIÓN
Las características de los pacientes fallecidos por COVID-19 descritos corresponden a los primeros ocurridos en el hospital de estudio durante el desarrollo de la pandemia en el Perú. Similar a los casos graves reportados en China y EEUU, indican una forma de enfermedad predominante en varones que después de más de una semana de fiebre, disnea o tos desarrollan insuficiencia respiratoria aguda por neumonía grave y fallecen 4 días después a pesar de recibir ventilación mecánica7-10.
La edad mayor a 60 años, comorbilidades como hipertensión arterial y obesidad fueron factores de riesgo reportados para desarrollar la forma grave de enfermedad similares a lo reportado en China y EEUU. Un solo paciente no presentó ningún factor de riesgo, pero un porcentaje importante presentó más de uno asociándose a mayor mortalidad. Se encontró un paciente de 26 años que evoluciona desfavorablemente y fallece, pero tenía antecedentes de obesidad y asma bronquial, factores de mal pronóstico para esta enfermedad7,9,10.
La fiebre y disnea son síntomas frecuentes, pero no suficientes como criterio diagnóstico o de severidad, siendo necesarios asociarlos a datos objetivos como saturación de oxígeno capilar o exámenes auxiliares para tomar acciones en el paciente. Tener presente que síntomas gastrointestinales como diarrea y vómitos son consideradas formas de presentación atípicas (poco frecuente), sin embargo fueron reportadas en el 28% de esta serie de casos7,10,11.
Asociado a los factores de riesgo se deben utilizar datos objetivos importantes para la valoración del paciente, destacando el uso de saturación de oxígeno, frecuencia respiratoria, presión arterial sistólica y estado de conciencia (valorado por la escala de Glasgow), estos tres últimos forman parte del qSOFA (quick Sequential Organ Failure Assessment)12. Indicadores que se pueden utilizar en los pacientes que consultan emergencia y así disminuir la probabilidad de tener pacientes fallecidos en el domicilio sin vigilancia ni tratamiento oportuno.
En los primeros casos hubo problemas para realizar exámenes auxiliares en el área de COVID-19, para evitar estos contratiempos es necesario planificar e implementar oportunamente estas áreas. En los hallazgos se encontró incremento de reactantes de fase aguda (proteína C reactiva) y linfopenia, similar a lo reportado en Asia y Norteamérica7,10,13,14.
Se evidencia lesiones pulmonares multifocales y bilaterales, similar a lo reportado en China, Corea, Francia y EEUU predominando la lesión intersticial característica de neumonía viral9,10,15-17. Sin embargo debemos remarcar la falta de estudios adecuados en la mayoría de pacientes, pues una semana después de recibir los primeros casos recién se contaba con un equipo portátil de radiografías y era muy difícil realizar tomografías a los pacientes una vez internados en el área de aislamiento por falta de continuidad física con los servicios de diagnóstico por imágenes.
La combinación hidroxicloroquina y azitromicina fue el tratamiento más frecuente, a pesar de que aun las evidencias disponibles no son suficientes18. Inicialmente no estaba autorizado el uso de hidroxicloroquina, pero días después fue autorizado en el hospital. El soporte ventilatorio invasivo al inicio también tuvo problemas por disponibilidad de equipos y ambientes adecuados, pero después se consiguió lo necesario, a pesar de lo cual no se obtuvo buena respuesta clínica por el gran compromiso pulmonar que produce la infección, similar a lo reportado en otros países.
Entre las limitaciones del estudio está el pequeño número de casos, datos clínicos y resultados de exámenes auxiliares incompletos en algunos pacientes y falta de estudios para infección concomitante con otros virus o complicaciones bacterianas. Sin embargo es un reporte inicial que muestra las consecuencias de la pandemia de COVID-19 en un hospital peruano.
CONCLUSIÓN
En conclusión, este reporte presenta las características de los primeros pacientes fallecidos por COVID-19 en Perú quienes desarrollaron insuficiencia respiratoria aguda por neumonía grave, más frecuente en el sexo masculino, con edad avanzada, hipertensión arterial y obesidad como factores de riesgo y alta necesidad de asistencia ventilatoria.










texto en 


