INTRODUCCIÓN
La OMS en el reporte global de tuberculosis del años 2023, reportó que en el 2022 que 10,6 millones de personas tuvieron Tuberculosis (TB) a nivel mundial. Asimismo, el 87% de los casos se han reportado en 30 países de los cuales dos tercios del total global se encontraron en ocho países: India 27%, Indonesia 10%, China 7,1%, Filipinas 7%, Pakistán 5,7%, Nigeria 4,5%, Bangladesh 3,6% y la República Democrática del Congo 3,0%. El Perú reporta una incidencia anual de 100 a 299 casos por 100 000 personas, según dicho reporte 1. Sin embargo, las formas de TB extrapulmonar representan otro desafío diagnóstico. Estas constituyen aproximadamente el 15-20% de casos de TB 2, siendo la forma osteoarticular en algunos reportes el 11,3-34,5%. 3
En un estudio realizado en Perú, la TB ósea fue 6,5% de las localizaciones extrapulmonares junto al compromiso de partes blandas, siendo las principales localizaciones la columna dorsal, miembros inferiores y articulación sacro-coxígea 4. En nuestra ciudad, el reporte del Ministerio de Salud entre los años 2010 y 2019, posiciona a Lima y Callao como las regiones más afectadas por la tuberculosis, concentrando el 57,8% de todos los casos de TB sensible, el 79,6% de TB multidrogoresistente y 83% de TB extremadamente resistente. 5
Cabe mencionar que la TB extrapulmonar surge como resultado de una infección pulmonar primaria progresiva o mediante la reactivación de cualquier foco latente con posterior diseminación a otro órgano, especialmente cuando hay inmunosupresión u otras condiciones de alto riesgo. Sin embargo, la diseminación de la TB extrapulmonar en pacientes inmunocompetentes suele ser a regiones corporales atípicas poco reportadas. De esta manera, el reporte de este caso tuvo como objetivo describir una presentación clínica inusual, caracterizada por el compromiso óseo multifocal debido a la infección por Mycobacterium tuberculosis en un paciente joven inmunocompetente, sin antecedentes clínicos de importancia ni contacto a casos conocidos de tuberculosis.
PRESENTACIÓN DEL CASO
Varón de 28 años, natural y residente del Callao, soltero, con educación universitaria incompleta y de ocupación asistente administrativo de logística en el área de exportación. No hábitos nocivos, no ha realizado viajes durante los últimos dos años, de conducta heterosexual con historia de una pareja sexual. Como antecedentes patológicos refirió haber presentado cuadro leve de Covid 19 en el año 2021, no historia de alergias conocidas a medicamentos o alimentos, y negaba contacto con personas afectadas por tuberculosis. No antecedente de ingreso a prisión.
El paciente tenía una enfermedad de 4 meses, de inicio insidioso y curso progresivo caracterizado por tos, sensación de alza térmica no cuantificada a predominio vespertino, acompañada de sudoración nocturna, hiporexia, astenia y pérdida de peso de aproximadamente 10 k. Además, aproximadamente un mes después del inicio de los síntomas respiratorios, experimento un dolor agudo y de leve intensidad en el segundo dedo de la mano derecha al intentar abrir la cerradura de la puerta de su domicilio. Tres semanas después, el dolor aumentó progresivamente en intensidad, así como el volumen en dicho dedo, produciendo posteriormente limitación funcional. El diagnóstico inicial se realizó en un centro de atención primaria donde se confirmó la TB pulmonar mediante baciloscopia (BK) de esputo positiva. Se inició tratamiento con isoniacida, rifampicina, pirazinamida y etambutol. A pesar de casi un mes con el esquema establecido, persistieron los síntomas y se requirió una ampliación de estudios para determinar la etiología de lesión tumoral, siendo el primer diferencial una lesión neoformativa. Ante esta necesidad, fue derivado a un hospital de mayor complejidad.
Al examen físico se encontró un paciente en regular estado general, adelgazado, hidratado, hemodinámicamente estable, afebril, lúcido y orientado en tiempo, espacio y persona. A la auscultación el murmullo vesicular estaba disminuido a nivel de la base de hemitórax izquierdo, con presencia de subcrépitos difusos a predominio de dos tercios superiores de ambos hemitórax. No adenopatías palpables a nivel de miembro superior derecho. La evaluación osteoarticular mostró una tumoración de 6 x 4 cm en el segundo dedo de la mano derecha, comprometiendo la falange proximal y media, de consistencia blanda y con dolor leve a la palpación y a la flexo-extensión tanto en movimientos pasivos como activos. No se evidenció aumento de la temperatura local, pero si ligera hiperpigmentación de la piel. Se observó una limitación funcional parcial del rango articular interfalángica proximal, pero sin evidencia de compromiso neurovascular a nivel distal.
Los resultados de análisis realizados en el hospital de origen mostraron: leucocitos 12 200 /µl, hemoglobina de 12,4 gr/dl, eosinófilos 2%, linfocitos 9%, proteína C reactiva en 11,7 mg/dl, velocidad de sedimentación globular de 12 mm/hora. La prueba rápida de VIH fue no reactiva. Al ingreso se realizó una ecografía de partes blandas del segundo dedo de la mano derecha, que mostró una colección periósea comprometiendo la falange proximal media, y signos de lisis ósea de la falange proximal. La radiografía de la mano derecha evidenció un aumento de partes blandas, alteración de la morfología de la falange proximal del segundo dedo de la mano derecha con signos de osteólisis (figura 1A). La tomografía computarizada de la mano derecha sin contraste reveló un incremento en el espesor de partes blandas que condiciona cambios osteolíticos a nivel de la falange proximal del segundo dedo (figura 1B).

Figura 1 Radiografía en vista frontal-lateral (A) y Tomografía computarizada de mano derecha (B): muestran lesión expansiva que compromete falange proximal, articulación interfalángica y base de falange media de segundo dedo, asociados a cambios osteolíticos.
Durante la estancia en el hospital se realizaron análisis complementarios, siendo los resultados: leucocitos de 11 060 /µl, hemoglobina de 11 gr/dl, eosinófilos 1,9%, linfocitos 6,9%, proteína C reactiva 7,72 mg/dl, velocidad de sedimentación globular 67 mm/hora, deshidrogenasa láctica 279 U/l, fosfatasa alcalina 133 U/l y una prueba ELISA para VIH de cuarta generación no reactivo. De esta manera, dentro de los diagnósticos diferenciales se planteó un probable proceso neoformativo secundario a distancia, solicitándose una tomografía que incluyó los segmentos corporales de cabeza, tórax, abdomen y pelvis. Este estudio reportó “a nivel cerebral un quiste aracnoideo de 49 x 35 mm en el área temporal anterior izquierdo, una lesión pleuroparenquimal pulmonar de aspecto secuelar con escasa efusión pleural izquierda, adenopatías mediastinales reactivas, un área hipodensa de 34 x 29 mm en la región anterior periférica y una lesión osteolítica en cuerpo vertebral de D9” (figura 2). Asimismo, se amplió los estudios del dedo comprometido con una ecografía Doppler de la mano derecha que reportó una “lesión expansiva vascularizada en falange proximal del segundo dedo con compromiso óseo”. La resonancia magnética nuclear de dicho dedo evidenció una “lesión expansiva de 57 x 22 x 17,3 mm con fractura patológica en tercio medio diafisario de falange proximal de segundo dedo, con rebordes lobulados y efecto de masa desplazando el tendón flexor hacia palmar. Se observó también compromiso de articulación interfalángica proximal, y de la base de falange media. Tras la administración de contraste muestra ávido realce” (figura 3). Durante la hospitalización, los controles de BK de esputo, posterior a un mes de tratamiento con el esquema sensible, fue paucibacilar (8 BARR/100 campos).

Figura 2 Tomografía computarizada de tórax-abdomen-pelvis con contraste: lesión pleuroparenquimal con efusión pleural izquierda. Lesión osteolítica en cuerpo vertebral de D9 (flecha blanca)

Figura 3 Resonancia magnética nuclear de mano derecha con contraste muestra lesión expansiva a nivel de segundo dedo de mano derecha
Para confirmar la etiología de lesión tumoral, el servicio de Traumatología realizó la excéresis completa de la tumoración, confirmando “compromiso de la falange proximal y media de segundo dedo de la mano derecha, infiltrando el hueso y afectando la cortical palmar con apolillamiento, laterales con defecto cortical volar y fractura patológica de falange proximal”. Las muestras se enviaron para realizar baciloscopia, cultivo para TB, cultivo bacteriano-fúngico, GeneXpert MTB/RIF y anatomopatológico. Dado el buen estado general del paciente, se tomó la decisión de darle alta médica con la posibilidad de reingreso para continuar estudios adicionales.
En el primer informe de anatomía patológica de la lesión tumoral, se menciona una inflamación granulomatosa más atipicidad celular sospechosa de malignidad. Las pruebas histoquímicas de Ziehl Neelsen y PAS fueron negativas. Además, se realizaron pruebas de inmunohistoquímica que mostraron CD45 positivo, CK7 negativo y CK20 negativo. Ante la sospecha de malignidad, y los resultados negativos de baciloscopia directa y cultivo para gérmenes comunes, se decidió ampliar los marcadores.
A la semana del alta médica, el paciente fue readmitido para la realización de una biopsia de cuerpo vertebral por parte de la Unidad de Radiología intervencionista. Se obtuvieron muestras para anatomía patológica, cultivo para TB y baciloscopia. Los resultados de la baciloscopia fueron positivos 1+, y el GeneXpert MTB/RIF de la tumoración del segundo dedo de la mano derecha informó de la detección de Mycobacterium tuberculosis sensible a rifampicina.
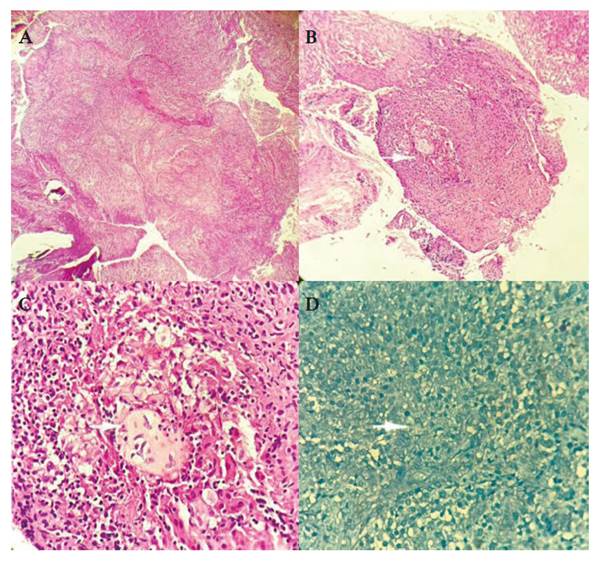
En el segundo informe de anatomía patología de la lesión tumoral, después de la ampliación de marcadores, se concluyó que se trataba de tejido fibroconectivo y adiposo con presencia extensa de inflamación granulomatosa epitelioide, acompañada de necrosis (figura 4). La inmunohistoquímica descartó la posibilidad de neoplasia maligna (no se cuenta con imagen). Además, el informe de la biopsia del cuerpo vertebral indicó un fragmento de tejido óseo compacto de tejido fibroconectivo vascularizado y focos de necrosis.

Figura 4 Tejido de lesión tumoral de segundo dedo de mano derecha con tinción hematoxilina-eosina muestra inflamación granulomatosa epitelioide con necrosis central: en la periferia células epitelioides, linfocitos, algunas células gigantes de Langhans (flecha) y en la zona central abundantes macrófagos (A 10X, B 20X, C 100X). Tinción para BK negativa (D)
Se estableció el diagnóstico bacteriológico de tuberculosis diseminada con compromiso pulmonar y multifocal óseo. Debido a la buena tolerancia y evolución del paciente, se decidió mantener el esquema antitubercoloso y la duración establecidos en la Norma Técnica Nacional de tratamiento de tuberculosis del año 2023 que establece una duración de 12 meses 6, con seguimiento de BK negativos durante sus atenciones por consultorio, disminución de volumen de la lesión y de dolor.
DISCUSIÓN
La TB osteoarticular es una forma poco común de TB extrapulmonar, cuyo diagnóstico se retrasa debido a la similitud clínica y radiológica de la enfermedad con numerosas entidades neoplásicas malignas y óseas 7. El diagnostico tardío de la TB osteoarticular multifocal resultan crítico para los pacientes, conduciendo a la propagación de la infección del hueso a las articulaciones adyacentes y tejidos blandos circundantes, causando importantes discapacidades funcionales 8. En este sentido, la disponibilidad de métodos diagnósticos específicos, como la tomografía computarizada, la resonancia magnética y las pruebas moleculares, se vuelven importantes para una evaluación precisa de la extensión de la enfermedad. 8
La revisión de la literatura confirma la rareza de los casos de tuberculosis osteoarticular de localizaciones atípicas lo cual puede contribuir al bajo índice de sospecha clínica y al consiguiente retraso en el diagnóstico correcto 9,10. Aunque la tuberculosis osteoarticular tiene predilección por las articulaciones grandes y la columna, casos en pacientes inmunocompetentes, como el que presentamos, están siendo reportados con mayor frecuencia en áreas endémicas de tuberculosis. 11
En términos de diagnóstico, las características radiográficas son inespecíficas, sin embargo, de disponerse de resonancia magnética, esta puede identificar la cantidad de destrucción ósea con mayor precisión y proporcionar información crucial 12. Asimismo, la histopatología establece un diagnóstico definitivo, siendo la aspiración por aguja fina útil reportando reacción granulomatosa en el tejido óseo hasta en el 73% de los casos 13. No menos importante, la posibilidad de acceder de manera oportuna a la realización de pruebas moleculares como el caso del GeneXpert MTB/RIF, por la rapidez de obtener un resultado, sería de gran utilidad en casos no definidos, siendo su sensibilidad del Xpert en tejido óseo de 96% y la especificidad de 86%. 13
Este caso resalta la importancia de considerar la tuberculosis extrapulmonar ósea en regiones corporales atípicas en el diagnóstico diferencial, especialmente en pacientes sin factores de riesgo conocidos y en áreas endémicas de tuberculosis como el Callao. Cabe la mención que la disponibilidad en nuestra institución de realizar estudios diagnósticos específicos mejoró significativamente el pronóstico del paciente. Sin embargo, en medios donde no es posible realizar estudios complejos, la mera sospecha clínica no garantiza automáticamente la derivación del paciente a un centro de mayor capacidad resolutiva. Por ello, creemos importante mejorar el diagnóstico oportuno y precoz en el primer nivel de atención, con el objetivo de optimizar el acceso oportuno a estudios diagnósticos en pacientes afectados por esta forma infrecuente tuberculosis.














