INTRODUCCIÓN
La pulpectomía está indicada en piezas primarias con compromiso pulpar y presencia de necrosis pulpar (1). Para este procedimiento, es esencial la instrumentación biomecánica para la limpieza y conformación del conducto, a fin de conseguir una obturación adecuada (2). Sin embargo, los molares primarios tienen conductos radiculares de forma irregular que dificultan su preparación biomecánica (3).
Existen diferentes técnicas de instrumentación de conductos (manuales y rotatorias), que tienen como objetivo brindar una preparación adecuada (4). Habitualmente, se utiliza la técnica manual, en la que se emplea una serie de limas secuenciales para lograr la configuración del conducto radicular (5), y tiene como desventajas un mayor tiempo de trabajo y un inadecuado modelado del conducto (6).
Por otro lado, el sistema rotatorio continuo, cuyos movimientos se dan en sentido horario, emplea limas de níquel-titanio (NiTi) y brinda un menor tiempo de trabajo (7), dando resultados satisfactorios en la conformación cónica para la obturación del conducto (8). Estas limas presentan ventajas, como memoria, flexibilidad y resistencia a la fractura (9), disminuyendo los desvíos y conservando la anatomía del conducto radicular (10). En odontopediatría, se han obtenido resultados satisfactorios con el empleo de este sistema y las limas NiTi (11).
El sistema rotatorio continuo ha introducido un tratamiento térmico a las limas NiTi (gold y blue) para darle mayor flexibilidad, aumentando así su resistencia a la fatiga y torsión (12) y permitiendo conductos bien conformados con resultados óptimos en la obturación (13). En este contexto, las limas Race® Evo son instrumentos NiTi con tratamiento térmico blue, empleados en el sistema rotatorio continuo. Presentan una forma triangular transversal de bordes cortantes y punta redonda, que demuestran resistencia a la flexibilidad y fractura (14); por lo tanto, su aplicación en odontopediatría podría ser eficaz.
El presente reporte fue revisado por el Comité de Ética de la Universidad Privada San Juan Bautista, con código de registro n.° 0582-2023-CIEI-UPSJB, y se obtuvo el consentimiento informado de la madre de la paciente.
El objetivo fue mostrar la eficacia de la utilización de la lima única Race® Evo (Suiza) #25/06 en la instrumentación biomecánica de la pieza 85 con necrosis pulpar y periodontitis apical crónica.
PRESENTACIÓN DEL CASO
Se presenta una paciente de 3 años y 11 meses, hija única, originaria del distrito de Ventanilla, Callao, Perú, que acudió al Servicio de Odontopediatría del Hospital Nacional Daniel Alcides Carrión en compañía de su madre. Esta expresó preocupación y ansiedad debido al dolor dental que afectaba a su hija, el cual fue atribuido a la presencia de caries dental.
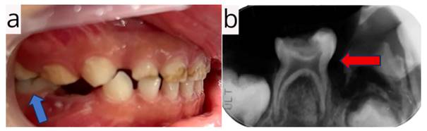
Durante la consulta, la niña mostró timidez y poca colaboración. El examen clínico reveló una lesión cariosa extensa y profunda con afectación pulpar, inflamación de la encía marginal y presencia de una fístula de origen dental en la pieza 85 (figura 1A). El estudio radiográfico confirmó una lesión cariosa coronaria amplia y profunda con compromiso pulpar, además de un proceso osteolítico periapical e interradicular, acompañado de osteítis condensante circundante (figura 1B). El diagnóstico definitivo fue necrosis pulpar con periodontitis apical crónica. Se determinó como plan de tratamiento realizar una pulpectomía utilizando un sistema rotatorio continuo para garantizar la eliminación completa del tejido necrótico y preservar la integridad del diente.

Figura 1 Examen inicial clínico y radiográfico de la pieza 85. A) Fotografía clínica zonal. B) Radiografía periapical antes del tratamiento.
Se procedió a la eliminación de la lesión cariosa y a la apertura cameral de la pieza 85 utilizando una fresa punta diamantada redonda n.° 001-023 (cinta negra). Se identificaron los conductos mesiales y distales con limas manuales K-Nitiflex® Maillefer n.° 15, estableciendo una longitud de trabajo de 9 mm para todos los conductos mediante medición corono-apical. La instrumentación se llevó a cabo con el sistema rotatorio continuo Race® Evo #25/06, configurado a una longitud de trabajo de 9 mm, usando el Endomotor FKG calibrado con un torque de 2,1 Ncm y una velocidad de 500 rpm. La técnica de instrumentación biomecánica incluyó movimientos de barrido en los tercios cervical y medio, y movimientos de picoteo en el tercio apical, seguidos de la limpieza de los remanentes pulpares (figura 2).

Figura 2 Sistema rotatorio Race® Evo e instrumentación biomecánica. A) Lima Race® Evo #25/06 de 21 mm (aleación blue). B) Instrumentación biomecánica de la pieza 85. C) Restos pulpares de la pieza 85.
El tiempo de instrumentación fue registrado y comparado con reportes de instrumentación manual. Se irrigó con rifocina diluida en agua estéril y se secó con conos de papel estériles. La obturación se realizó con pasta CTZ en proporción 1:1:2, utilizando eugenol como vehículo hasta obtener una consistencia pastosa, introduciendo la pasta en los conductos con un léntulo n.° 001 (cinta roja) a 125 rpm y 2,1 Ncm de torque. Posteriormente, se aplicó una subbase de óxido de zinc y eugenol de 1 mm, sobre la cual se colocó una capa de 1 mm de ionómero de vidrio fluido (i.seal®) fotocurado por 15 segundos; y se completó el procedimiento con una incrustación directa de resina para la restauración final.
Una semana después, se realizó el primer control, en el cual la madre manifestó que la niña ya no presentaba dolor y podía masticar mejor sus alimentos. En la evaluación clínica, se evidenció que los tejidos circundantes no presentaban alteraciones y la restauración se encontraba con un sellado marginal óptimo (figura 3A). Radiográficamente, se observó una imagen radiopaca compatible con la restauración coronaria, el sellado cameral y la obturación de los conductos radiculares, junto con un proceso osteolítico interradicular y periapical, acompañado de osteítis condensante circundante (figura 3B).
En el segundo control, realizado 15 días después del tratamiento, la niña se mostró más sociable con el personal odontológico, y la madre reportó ausencia de molestias tras el procedimiento. El examen clínico de la pieza 85 reveló tejidos gingivales sanos, sin dolor a la percusión, y la restauración en buen estado. Radiográficamente, se evidenció un adecuado sellado de la restauración coronal y de los conductos radiculares; sin embargo, se identificó una imagen radiolúcida a nivel interradicular y periapical, con alteración en el patrón óseo trabecular circundante, lo que sugiere la presencia de un área en proceso reparativo (figura 3C).

Figura 3 Control clínico y radiográfico de la pieza 85 a través del tiempo. A) Primer control clínico a la semana del tratamiento. B) Primer control radiográfico a la semana: radiografía periapical. C) Segundo control radiográfico a los 15 días. D) Tercer control radiográfico a los 20 días. E) Cuarto control radiográfico a los 2 meses.
En el tercer control, 20 días después del tratamiento, la niña ingresó tranquila y mostró una actitud colaboradora durante el examen odontológico. Clínicamente, los tejidos blandos y duros circundantes a la pieza 85 se encontraban en buen estado, mientras que la evaluación radiográfica reveló una restauración coronaria oclusal adecuada, sellado cameral correcto y obturación completa de los conductos radiculares; sin embargo, se identificó una secuela de la reabsorción radicular externa en la raíz mesial (figura 3D).
Dos meses después, en el cuarto control, la paciente mantuvo una conducta receptiva durante la evaluación. Clínicamente, la pieza 85 presentaba la restauración en buen estado, sin signos de molestias. Radiográficamente, se observó un buen sellado de la restauración oclusal y de los conductos radiculares, además de una reducción de la imagen radiolúcida en la zona interradicular, lo que sugiere un proceso de recuperación en marcha (figura 3E).
Para facilitar la comprensión del procedimiento y el seguimiento del caso, se presenta un resumen detallado en la tabla 1.
Tabla 1 Cronología del seguimiento del caso.
| Control | Resultados |
|---|---|
| Examen inicial y tratamiento (09/07/2022) | Clínicamente: Lesión cariosa amplia con compromiso pulpar, fístula a nivel de la pieza 85 (figura 1A). Radiográficamente: Imagen radiopaca a nivel coronal con compromiso pulpar, proceso osteolítico periapical e interradicular con osteítis condensante circundante (figura 1B). Descripción de la paciente y su familia: Madre ansiosa y preocupada, la niña se muestra tímida y no colaboradora. |
| Primer control (14/07/2022) | Clínicamente: Tejidos blandos circundantes a la pieza 85 sanos, restauración con sellado marginal en buen estado (figura 3A). Radiográficamente: Conformación y obturación de los conductos de la pieza 85 óptimos (figura 3B). Descripción de la paciente y su familia: Ausencia de dolor dental y mejora de la función masticatoria. |
| Segundo control (30/07/2022) | Clínicamente: Tejidos gingivales sanos, no presenta dolor a la percusión, restauración en buen estado. Radiográficamente: Proceso de regeneración ósea a nivel de la furca, sin evidencia de reabsorción ni procesos infecciosos (figura 3C). Descripción de la paciente y su familia: Niña sociable con el personal odontológico, no ha tenido molestias después del tratamiento. |
| Tercer control (20/08/2022) | Clínicamente: Tejidos blandos y duros circundantes a la pieza 85 en buen estado. Radiográficamente: No se observa evidencia de signos de reabsorción ni proceso infeccioso (figura 3D). Descripción de la paciente y su familia: La niña colabora con el examen odontológico. |
| Cuarto control (10/11/2022) | Clínicamente: Se observa la pieza 85 con restauración en buen estado, no presenta molestias. Radiográficamente: No se evidencia signos de reabsorción ni proceso infeccioso, reducción de la imagen radiolúcida en la zona interradicular de la pieza 85 (figura 3E). Descripción de la paciente y su familia: Presenta conducta receptiva a la evaluación. |
DISCUSIÓN
Priyadarshini et al. (3) reportaron que el tiempo de instrumentación con el sistema rotatorio Kedo-SG Blue fue significativamente menor (2,7840 ± 3,4217 minutos-segundos), seguido del sistema Kedo-S (4,5908 ± 1,54886 minutos-segundos), en molares mandibulares, en comparación con las limas manuales Kedo-SH (5,8800 ± 4,8345 minutos-segundos) y las de tipo K (6,2167 ± 3,0978 minutos-segundos). De manera similar, Shah et al. (5) demostraron que la instrumentación con los sistemas rotatorios Kedo-S (19,25 minutos) y Pro-AF (21,89 minutos) fue más rápida frente a las limas manuales tipo K (27,87 minutos). En el presente reporte, el tiempo de instrumentación con el sistema rotatorio Race® Evo #25/06 en los conductos de la pieza 85 fue de solo 1 minuto, mostrando una eficiencia superior en comparación con los tiempos registrados en estudios previos con sistemas manuales.
Esentürk et al. (15) concluyeron que el sistema rotatorio Revo-S demostró mayor eficiencia en la conformación de conductos en comparación con la instrumentación manual. De manera similar, Schachter et al. (16) evidenciaron que los sistemas rotatorios Kedo-S y ProTaper Gold obtuvieron resultados favorables en la conformación de conductos en molares mandibulares primarios frente a técnicas manuales. En este reporte, el uso de la lima única Race® Evo #25/06 mostró resultados igualmente satisfactorios en la conformación de conductos curvos, destacando su efectividad en comparación con otros métodos mencionados en la literatura.
Reddy et al. (17) evaluaron tres sistemas rotatorios (Kedo-SG Blue, Kedo-S Square y Pro AF Baby Gold) en molares primarios inferiores, y encontraron que Kedo-SG Blue y Pro AF Baby Gold lograron un menor transporte del canal radicular. Por otro lado, Abdelkafy et al. (18) analizaron el uso de limas únicas (ProTaper Next X3 #30/0,07, Fanta AF Baby files #30/0,06 y Kidzo Elephant file #30/0,06) y concluyeron que no hubo diferencias significativas en el transporte del canal entre ellas. En el presente reporte, se empleó la lima única Race® Evo #25/06, la cual mostró un transporte mínimo del canal y una preparación eficiente en las áreas curvas de la pieza 85, gracias a su aleación tratada térmicamente con tecnología blue, lo que optimizó su desempeño en conductos complejos.
Priyadarshini et al. (3) reportaron que el uso del sistema rotatorio NiTi Kedo-SG Blue en pulpectomías de molares primarios inferiores generó un 20 % de sobreobturación, en contraste con las limas manuales tipo K, que alcanzaron un 73,3 %. Del mismo modo, Sruthi et al. (6) encontraron una sobreobturación del 13,3 % con el sistema Kedo-SG Blue, significativamente menor frente al 60 % obtenido con las limas manuales K. Por otro lado, Preethy et al. (19) compararon diferentes sistemas y observaron que Kedo-SG Blue produjo un 20 % de sobreobturación, mientras que ProTaper Gold presentó un 33,3 % y las limas manuales tipo K un 26,6 %. Govindaraju et al. (20) demostraron que las limas ProTaper S2 NiTi alcanzaron un 26,7 % de sobreobturación, y el sistema K3 un 20 %, ambos inferiores al 40 % registrado con las limas manuales K (n.° 15-30). En este reporte, se logró una obturación óptima utilizando la lima única Race® Evo #25/06 con tratamiento térmico blue, garantizando precisión y un adecuado control del sellado en los conductos de la pieza 85.
Una de las limitaciones del presente reporte de caso fue la dificultad para identificar evidencia previa sobre ensayos clínicos o reportes que hayan utilizado limas Race® Evo #25/06 en dientes primarios, lo que impidió realizar comparaciones directas en términos de calidad de obturación y tiempo de instrumentación. Por lo tanto, este sería el primer reporte que documenta el uso de estas limas en odontopediatría, lo que abre nuevas oportunidades para futuras investigaciones. Si bien los resultados clínicos y radiográficos fueron exitosos, no es posible generalizar las conclusiones más allá de este caso, ya que factores de confusión relacionados con la paciente y su entorno pueden influir en la respuesta clínica individual, lo que genera susceptibilidad a sesgos (21).
Finalmente, si bien los reportes de caso representan un nivel bajo de evidencia científica, constituyen un punto de partida valioso para investigaciones posteriores (22). En este sentido, el enfoque terapéutico innovador presentado en este caso puede servir como estímulo para estudios futuros con mayor rigor metodológico y un nivel de evidencia más elevado, aportando así nuevos conocimientos en el área.
CONCLUSIONES
El sistema rotatorio con tratamiento térmico Blue Race® Evo #25/06, utilizado como lima única en pulpectomías de un molar primario inferior, demostró ser eficiente tanto en la conformación como en la obturación de los conductos en el presente caso. Se logró un tiempo de instrumentación de 1 minuto para los conductos de la pieza 85, significativamente inferior al tiempo reportado por Priyadarshini et al. (3) y Shah et al. (5) con instrumentación manual (6,2167 ± 3,0978 minutos-segundos y 27,87 minutos, respectivamente). Estos resultados destacan la ventaja del sistema rotatorio Race® Evo en términos de eficiencia, especialmente en comparación con técnicas manuales tradicionales














