INTRODUCCIÓN
La enfermedad renal poliquística es una afección genética caracterizada por la presencia bilateral de múltiples quistes renales. Es la más frecuente entre las enfermedades renales hereditarias, con una prevalencia estimada entre 1:400 y 1:1000 individuos. Además, es la tercera causa más común de insuficiencia renal terminal 1. En pacientes afectados con riñón poliquístico, el sobrepeso y la obesidad se asocian con mayores probabilidades de aumento porcentual anual en el volumen renal total (calculado por tomografía computarizada o resonancia magnética), además la obesidad se asocia de manera independiente con mayor deterioro de la tasa de filtración glomerular en comparación con el peso normal 2.
Las dietas cetogénicas muy bajas en calorías (VLCKD, por sus siglas en inglés), son una herramienta efectiva para el tratamiento de la obesidad cuya eficacia y seguridad han sido evaluadas para tratar pacientes con obesidad e insuficiencia renal leve; en estos casos, las VLCKD mostraron reducción efectiva del peso a predominio de grasa visceral y reportaron también mejora en la función renal de los pacientes tratados 3.
Presentamos un paciente con enfermedad renal poliquística tratado con una dieta cetogénica muy baja en calorías y analizamos los efectos de la restricción calórica y la dieta cetogénica sobre la pérdida de peso, la mejora de la tasa de filtración glomerular y la reducción del volumen renal. Se obtuvo el consentimiento informado del paciente para la presentación del reporte con fines académicos.
REPORTE DE CASO
Paciente varón de 42 años de edad, quien acudió por recomendación de familiar, solicitando ingresar a un programa de pérdida de peso. El paciente tuvo antecedente de poliquistosis renal diagnosticada a los 9 años de edad. Presentó enfermedad cerebral vascular isquémica 13 meses antes de la consulta, hipertensión arterial diagnosticada el día del evento isquémico tratada con telmisartán 80 mg e hidroclorotiazida 12,5 mg, recibió también atorvastatina 20 mg y ácido acetil salicílico 100 mg; tiene, además, antecedente de artrosis en columna vertebral con hernia discal en cuarta y quinta lumbares, ganancia de peso desde hace 10 años hasta un máximo de 98 kg un año atrás y su alimentación se basa en comida rápida en la calle o en casa, ingesta de bebidas azucaradas y vida sedentaria.
En el examen: paciente obeso, con 1,74 m de estatura, peso inicial 94,8 kg, índice de masa corporal (IMC) en 31,31 Kg/m2, grasa de localización central con un perímetro de cintura de 121 cm y presión arterial de 126/85 mmHg.
Se hicieron exámenes de laboratorio (Tabla 1) y se indicó una tomografía computarizada (TC) o UROTEM, previa al inicio del tratamiento (Tabla 2). Luego de obtener los resultados y la firma de consentimiento informado el paciente inició un programa para pérdida de peso. El nivel de creatinina y la tasa de filtración glomerular inicial, posicionaban al paciente en enfermedad renal crónica estadio 2 (ERC2) (Tabla 1).
Tabla 1. Parámetros evaluados, medidas antropométricas, y exámenes de laboratorio valores basales y controles.
| Parámetros evaluados | Basal | Semana 4 | Semana 12 | Semana 36 | Semana 64 | Rango referencia laboratorio |
|---|---|---|---|---|---|---|
| Peso | 94,8 | 83,6 | 74,2 | 80,2 | 80,6 | kg |
| CCa | 120 | 109 | 98 | 100 | 98 | cm |
| IMCb | 31,3 | 27,6 | 24,5 | 26,4 | 26,6 | Kg/m2 |
| Glicemia ayunas | 109 | 73 | 65 | 93 | 93 | 74-106 mg/dL |
| Insulina ayunas | 18,8 | 7,5 | - | 8,0 | 8,2 | 2,6-24,9 uU/mL |
| HbA1cc | 5,6 | 5,3 | - | 5,3 | 5,4 | % |
| Colesterol total | 173 | 163 | 187 | 188 | 214 | < 200 mg/dL |
| HDL-colesterol | 36 | 30 | - | 48,2 | 46 | > 60 mg/dL |
| LDL-colesterol | 106,4 | 11,7 | - | 126,9 | 150 | < 100 mg/dL |
| Triglicéridos | 153 | 103 | 173 | 64,6 | 88 | < 150 mg/dL |
| Transaminasa pirúvica | 29 | 16,3 | 14,9 | 15,9 | 16 | 0 -41 U/L |
| Creatinina sérica | 1,2 | 0,9 | 0,86 | 1,1 | 1 | 0,7-1,2 mg/dL |
| Microalbuminuria en orina de 24h | - | - | 24,4 | - | 21.8 | < 30 mg/24h |
| Tasa de filtración glomerular | 75,3 | 93 | 108,8 | 126,7 | 118,1 | ml/min/1,7 |
| HOMA-IR | 5,0 | 1,3 | - | 1,8 | 1,9 | <2,6 |
a: circunferencia de cintura b: índice de masa corporal c: hemoglobina glicosilada
Tabla 2. Urotomografía (basal y a las 12 semanas) y resonancia magnética renal de 64ss.
| Imágenes | Basal (TC) | Control semana 12 (TC) | Control semana 64 (RM) |
|---|---|---|---|
| Riñón derecho | |||
| Eje longitudinal (cm) | 18,8 | 18,1 | 20,9 |
| Eje transverso (cm) | 10,8 | 10,9 | 11,0 |
| Eje anteroposterior(cm) | 13,9 | 12,8 | 9,8 |
| Volumen (cc)a | 1485,7 | 1267,6 | 1171 |
| Parénquima (cm) | 0,7 | 0,9 | - |
| Quiste más grande(cm) | 10,0 | 8,9 | - |
| Riñón izquierdo | |||
| Eje longitudinal (cm) | 20,2 | 18,7 | 22,2 |
| Eje transverso (cm) | 11,5 | 10,6 | 12,4 |
| Eje anteroposterior(cm) | 9,2 | 8,4 | 7,6 |
| Volumen (cc)a | 1117,1 | 882,7 | 1087 |
| Parénquima (cm) | 0,8 | 1,0 | - |
| Quiste más grande(cm) | 7,4 | 7,2 | - |
a: volumen = longitudinal x transverso x anteroposterior x 0,523
Tratamiento
Se pautó una pérdida de 20 kg. El programa utilizado para el tratamiento de la obesidad, fue el método Pnk®, un programa estructurado de alimentación con reemplazo de comidas que incluye entrenamiento físico. El paciente realizó el programa que consta de cinco pasos. Los tres primeros corresponden a una dieta cetogénica de muy bajas calorías y baja en grasas (VLCKD): Entre 600 a 750 Kcal, hidratos de carbono < 50 g (procedente de verduras), proteínas de alto valor biológico: 0,8-1,2 g /kg de peso ideal/día procedentes de ProteinDHA® (15 g de proteína/producto Pnk®) y/o de proteína de origen animal, grasas 10 g (1 cucharada sopera aceite oliva virgen extra/día), fibra 15-17 g /día (a través de verduras y sobres), minerales/vitaminas 100% de la dosis recomendada diaria 4; DHA mínimo 500 mg/día; en el paciente estos tres primeros pasos duraron 12 semanas. Este tiempo estuvo sujeto a la pérdida del 80% del peso pautado (16 kg). En los dos últimos pasos hizo una dieta baja en calorías del tipo mediterránea en la que se ingresan paulatinamente alimentos con hidratos de carbono, frutas, lácteos, cereales, legumbres; estos dos últimos pasos estuvieron sujetos a la pérdida del 20% del peso pautado (4 kg) y duraron 24 semanas. A estos cinco pasos para pérdida de peso les siguió una etapa de mantenimiento en la que se ingresa a la alimentación convencional con raciones controladas 5. Durante todo el proceso de pérdida de peso, el paciente mantuvo el tratamiento para hipertensión arterial; la estatina y el ácido acetil salicílico fueron suspendidos.
Resultados y seguimiento
Para la evolución del paciente se consideraron 5 controles puntuales: control basal, periodo de cetosis plena (semana 4), salida de cetosis (semana 12), control al final del programa (semana 36) y seguimiento a los 16 meses de iniciado el tratamiento (semana 64). En la tabla 1 se aprecia la evolución de los parámetros evaluados, peso, perímetro de cintura e IMC lograron reducirse con éxito y el paciente se mantuvo sin obesidad en la semana 64. La función renal mostró una consistente mejoría evidenciada en los niveles de creatinina y en la tasa de filtración glomerular (Tabla 1). Durante el tratamiento el paciente reportó la aparición de orina turbia asociada a leve hematuria, cinco semanas después de terminado el período de cetosis, evento que duró entre 48 a 72 horas y remitió espontáneamente. En el examen de orina solicitado en ese momento se evidenció presencia de albúmina, leucocitos y eritrocitos; los parámetros de orina de controles posteriores estuvieron dentro de rangos normales. Durante el período de cetosis el paciente manifestó molestias gastrointestinales como meteorismo, diarreas y estreñimiento que remitieron rápidamente con ajustes en la alimentación.
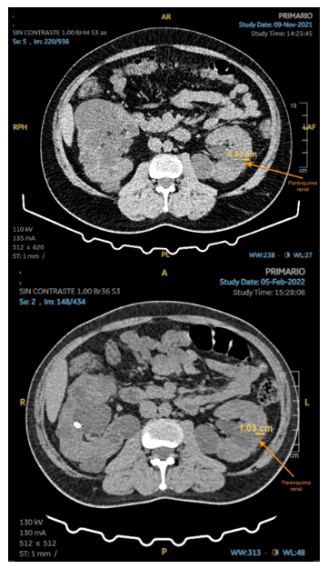
El volumen de los riñones fue medido por TC, tanto al inicio como en el control a las 12 semanas (Tabla 2) y el examen fue realizado sin contraste, las imágenes por TC tienen una precisión y coeficiente de confiabilidad similares a los de la RM 6 y son más accesibles para el paciente. Para el último control, se indicó una RM renal sin contraste. Al comparar las imágenes iniciales con el control de 12 semanas, se aprecia reducción del volumen de ambos riñones, así como el incremento del parénquima renal medido a nivel del hilio renal (Figuras 1 y 2). No se pudo contar con los formatos digitales de la RM para realizar la medición del parénquima en la semana 64.

Figura 1. UROTEM de riñón izquierdo donde se aprecia parénquima a nivel de hilio renal, basal (imagen superior) y al finalizar la semana 11 de VLCKD (imagen inferior).
DISCUSIÓN
Las intervenciones del estilo de vida que inducen pérdida de peso podrían ayudar a retrasar la progresión del riñón poliquístico ya que reducen el tejido adiposo visceral y la inflamación sistémica 7. Nuestro paciente fue sometido a un programa de pérdida de peso que busca cambiar alimentación combinando restricción calórica y dieta cetogénica y logró la pérdida rápida de peso a predominio de grasa visceral (-22 cm cintura).
Strubl et al. reportaron que en pacientes con enfermedad renal poliquística que proporcionaron información del uso de dieta cetogénica, el 64% refirió mejoría en la función renal y estas mejoras se relacionaban con los niveles promedio de β- (BHB) en suero 8. El estudio KETO-ADPKD, publicado por CuKosky et al.9 mostró la viabilidad y el impacto positivo de la dieta cetogénica sobre la reducción del volumen renal y la mejora de la tasa de filtración glomerular en pacientes con riñón poliquístico tratados con esta dieta. En nuestro paciente una dieta cetogénica asociada a restricción calórica logró efectivamente disminuir el volumen renal y mejorar la tasa de filtración glomerular, y esta mejoría empezó desde la semana 4 de control y nunca decayó, aun estando en alimentación convencional como se aprecia en la tabla 1. Asimismo, se evidenció reducción en el tamaño de los quistes e incremento del parénquima renal (Tabla 2). Ya Pickel había mencionado que tanto la restricción calórica y la cetosis favorecían el aclaramiento de la creatinina y reducían el tamaño de los quistes 10.
Oehm et al., por su parte en su estudio RESET-PKD 11, señalan que no hallaron cambios en el volumen de los riñones luego de la intervención, esto probablemente debido a que los pacientes realizaron una dieta cetogénica por 14 días; en contraste, nuestro paciente sí mostró disminución del volumen renal que podría estar relacionada con el tiempo de exposición a la cetosis originada por la dieta cetogénica (12 semanas). Resulta interesante que Oehm et al., destacan un paciente en dieta cetogénica que alcanzó una cetosis consistente y en quien se vio reducción del volumen renal de 8,4 % durante la dieta, pero que retornó al volumen inicial luego de suspendida. En nuestro caso, hubo un ligero incremento del volumen renal en la semana 64, pero no volvió a los valores iniciales.
Torres et al., describieron en modelos animales (ratones y felinos) reducción del volumen en los riñones, así como del tamaño de los quistes, sugiriendo que la pérdida de fluido quístico causada por la cetosis, se debe a la muerte celular y la interrupción de la barrera epitelial de los quistes que ocasionaría drenaje del fluido quístico probablemente a través del intersticio y los linfáticos 12. Singularmente, nuestro paciente manifestó en la semana 17 del tratamiento hematuria leve y orina turbia por 48 a 72 horas que remitió espontáneamente. Esta es la primera vez que se describe un fenómeno como este, que quizá podría estar relacionado con el drenaje del fluido quístico descrito por Torres. Cabe mencionar, que es el primer caso expuesto en el que se utiliza un programa de pérdida de peso con una combinación de restricción calórica y dieta cetogénica durante 12 semanas.
Al año y 4 meses del tratamiento, tanto los valores de creatinina y la tasa de filtración glomerular como el peso y los parámetros metabólicos se mantienen en rangos normales. (Tabla 1). Estos datos nos permiten sostener que hubo recuperación de la función renal, mas no podemos aún afirmar reversión de enfermedad. En la actualidad el paciente permanece en controles cada 3 a 4 meses, sin obesidad, y manteniendo su función renal.
Limitaciones del reporte: faltaron algunos datos en la historia clínica como la microalbuminuria inicial y las mediciones del parénquima renal en el último control. Este caso corresponde a un solo paciente por lo que el resultado obtenido no puede ser generalizado más allá del contexto del propio paciente; sin embargo, consideramos que darlo a conocer abre la puerta a una opción terapéutica interesante.
Este caso proporciona los primeros datos del uso de programas para pérdida de peso con VLCKD para pacientes obesos con riñón poliquístico en cuanto a viabilidad, eficacia y seguridad de las intervenciones dietéticas cetogénicas que además de la reducción del peso, beneficiarían al paciente mejorando la función renal y logrando retardar la progresión de la enfermedad renal crónica e igualmente se sienta la base para estudios más grandes sobre el tema.















