SciELO - Scientific Electronic Library Online

 
vol.38 issue4Experience and management of two cases of fournier’s gangrene in pediatric patients at the Instituto Nacional de Salud del Niño - San Borja, Lima, PeruComprehensive therapy approach for patients affected by chloride dioxide and chlorine derivative poisoning author indexsubject indexarticles search
Home Pagealphabetic serial listing  

Services on Demand

Journal

Article

Indicators

  • Have no cited articlesCited by SciELO

Related links

  • Have no similar articlesSimilars in SciELO

Share


Acta Médica Peruana

On-line version ISSN 1728-5917

Acta méd. Peru vol.38 no.4 Lima Oct./Dec 2021  Epub Feb 04, 2022

http://dx.doi.org/10.35663/amp.2021.384.2140 

Reporte de casos

Miopericarditis aguda por Mycoplasma pneumonae en un niño de 5 años

Acute myopericarditis caused by Mycoplasma pneumonae in a 5 years old child

Karen Condori-Alvinoa  , Cardióloga Pediatra
http://orcid.org/0000-0003-0833-2256

Francisco Campos-Guevaraa  , Infectólogo Pediatra
http://orcid.org/0000-0003- 1352-0606

a Hospital Nacional Docente Madre Niño San Bartolomé Lima -Perú

RESUMEN

Las infecciones causadas por Mycoplasma pneumonae han sido reconocidas a nivel mundial y es un patógeno común de las infecciones de las vías respiratorias altas y bajas. La pericarditis aguda está a menudo acompañada por un grado de miocarditis y en la práctica clínica la pericarditis y miocarditis coexisten por su etiología en común y en su mayoría por virus cardiotrópos. A continuación, presentamos el caso muy poco común reportado de miopericarditis causada por Mycoplasma pneumonae en un niño de 5 años, con una evolución clínica interesante.

Palabras Clave: Pericarditis; Infecciones por Mycoplasma

ABSTRACT

Infections caused by Mycoplasma pneumoniae are well recognized all over the world, and this microorganism is a common pathogen affecting the lower respiratory tract. Acute pericarditis is often accompanied by myocarditis, and both conditions coexist in clinical practice because they have common etiologic agents, mainly cardiotropic viruses. We present a very unusual case of myopericarditis caused by Mycoplasma pneumoniae affecting a 5 year-old child, who developed an interesting clinical outcome.

Keywords: Pericarditis; Mycoplasma Infection

INTRODUCCIÓN

Las infecciones causadas por M. pneumonae han sido reconocidas a nivel mundial y este es un patógeno común de las infecciones de las vías respiratorias altas y bajas en los niños y adolescentes. Sin embargo, también puede dar lugar a otras manifestaciones, con o sin afectación respiratoria. Mientras que la carditis asociada a M. pneumonae (miopericarditis) es una complicación poco frecuente, que se presenta en 1 a 5 % de los pacientes.

En 1979, Ponka informó que entre 560 pacientes con infección por M. pneumoniae confirmada serológicamente, 25 (4.5 %) tenían carditis (19 perimiocarditis y 6 pericarditis) 1

La patogenia de estas infecciones extrapulmonares no está completamente aclarada y el tratamiento sigue siendo en parte controvertido. Las complicaciones extrapulmonares pueden ocurrir como resultado de una invasión directa y / o respuesta autoinmune.

La claritromicina y la azitromicina se encuentran entre los medicamentos de elección para el tratamiento de infecciones del tracto respiratorio. Es importante investigar la asociación entre el uso de antibióticos y la resistencia, ya que la resistencia de los patógenos respiratorios comunes a los macrólidos ha ido en aumento.

En la presente revisión se describe el primer caso documentado de por Ig M reactivo a M. pneumonae en un niño de 5 años con compromiso de miopericardio con elevación importante de enzimas cardiacas, efusión pericárdica.

PRESENTACIÓN DEL CASO

Paciente varón de 5 años. Con antecedentes de 2a gestación sin antecedentes prenatales y natales de importancia, con historia de mononucleosis por Epstein Var hace 1 año.

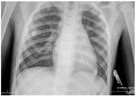
Ingresa a consultorio externo por presentar tiempo de enfermedad de 15 días con dolor de garganta, tos esporádica y cansancio, fiebre que cedía con Paracetamol; 2 días antes presenta diaforesis, malestar general y 1 día antes se agregan náuseas y vómitos más frialdad distal y dolor torácico. Es evaluado con FC: 145 x’, PA: 73/52 mmHg. taquipneico, pálido y con frialdad distal, los ruidos cardiacos con leve disminución del tono, no soplos, no visceromegalias; es referido a trauma shock de emergencia donde se le brinda fluidos en bolo Endovenoso, con dobutamina y noradrenalina. Y manejo antibiótico con ceftriaxona y macrólido Los exámenes auxiliares (Tabla 01) muestra: Hemograma leu 18410 /µL, Hemoglobina (Hb) 14.9gr/ dL, plaquetas: 322700 /µL, lactato 3.1 Ph 7.4 deshidrogenasa láctica(DHL): 1884 IU/L , alanina aminotransferasa (TGP): 1212 IU/L aspartato aminotransferasa (TGO): 1754 IU/L , creatina- fosfocinasa (CPK)total 3471 ng/ml, Troponina I: 7164 Pg/ml. IFI viral negativo, Core Total Hep B, hepatitis A IgM, hepatitis C (no reactivos) IgM para Mycoplasma Pneumonae (positivo) y Mycoplasma pneumonae (Reactivo). La Radiografía de tórax (Figura N°1) muestra leve cardiomegalia y refuerzo parahiliar derecho, el EKG (Figura N°2) se observó complejos QRS de bajo voltaje, taquicardia sinusal y leve supradesnivel del segmento ST. El ecocardiograma (Figura 3 A y B) efusión pericárdica moderada, dilatación de Vena cava inferior, pericardio engrosado, FEVI (fracción de eyección del ventrículo izquierdo) 66%, Ventrículo derecho disminuido. Con todo esto y los datos de laboratorio se establece el diagnostico de Miopericarditis.

Tabla N° 01. Se describe la evolución de los principales marcadores. * Los virus coxackie, adenovirus, virus sincitial respiratorio, influenza A, B, parainfluenza, metaneumovirus. (DH) día de hospitalización 

Figura N°1 Radiografía de tórax: imagen muestra leve cardiomegalia y refuerzo parahiliar derecho. 

Figura N°2 Electrocardiograma: muestra taquicardia sinusal, complejos QRS de bajo voltaje y leve supra desnivel de ST. 

Figura 3 A y B. Imágenes ecocardiográficas que evidencian efusión pericárdica anterior (3A), pozo de 18mm y pericardio hiperecogénico y engrosado. Y efusión pericardica posterior (3B) de iguales características pero de pozo de solo 6mm. 

Al 2° día de hospitalización se inicia Aines con Ibuprofeno a 30 mg/gk/día y se suspende las aminas, al 3 día de obtener el Ig M para Mycoplasma pneumonae se suspende Ceftriaxona y se mantiene macrólido (Claritromicina), y se suspende diuréticos y dobutamina. El paciente tiene evolución clínica favorable con mejoría del estado general, mejor apetito y con controles ecocardiográficos seriados donde se ve disminución de pozo mayor de efusión pericárdica de 17 mm, día de su alta a 4 mm. Se toman controles de laboratorio lactato 1 Ph 7.4, TGP: 52 IU/L TGO: 45 IU/L, CPK total 42 ng/ml, Troponina I: 47.5 Pg/ml. (tabla N°1) El paciente estuvo hospitalizado durante 12 días y fue dado de alta.

DISCUSIÓN Y CONCLUSIONES

La pericarditis aguda está a menudo acompañada por un grado de miocarditis y en la práctica clínica la pericarditis y miocarditis coexisten por su etiología en común y en su mayoría por virus cardiotrópos. (coxackíe, enterovirus, adenovirus). Hoy en día, las infecciones bacterianas y de otro tipo rara vez son causas de la enfermedad miopericárdica. Las complicaciones cardiacas asociado a Mycoplasma pneumonae son muy raras, la incidencia de afectación cardiaca varia del 1 % al 8 % y es más frecuente en adultos que en niños. 1

Se han propuesto las siguientes hipótesis para la carditis asociada a M. pneumoniae: invasión directa del miocardio por el organismo a través del sistema linfático o circulatorio o del tracto respiratorio inferior por contaminación, mecanismo autoinmune o mayor tendencia a la coagulación intravascular.

En cuanto a los criterios diagnósticos para la detección clínica de pericarditis se propone:

1. Dolor torácico típico, 2. Frote pericárdico, 3. Cambios electrocardiográficos 4. Efusión pericárdica. Y sumado a estos criterios para el diagnóstico de Miopericarditis, se requieren los mencionados de pericarditis, ausencia de evidencia de otras causas y aumento de enzimas cardiacas o una imagen (RMN) que muestre el compromiso inflamatorio del miocardio, pero sin anormalidades de la movilidad de la pared y disminución de la función del VI. 6

La prueba serológica de M. pneumoniae IgM es la herramienta más valiosa para el diagnóstico de infección por M. pneumoniae en niños de cualquier edad.

El Electrocardiograma (Ecg) es una herramienta sensible y económica para la evaluación inicial de casos sospechosos, ya que el diagnóstico de carditis puede no estar claro debido a la falta de síntomas cardíacos específicos, y en nuestro paciente se observó la taquicardia sinusal y los complejos de bajo voltaje y alteración del segmento ST. 3

La ecocardiografía establece el diagnóstico correcto en el 90 % de los casos y hace posible la conducta diagnóstica y terapéutica, esto nos permitió hacer el seguimiento de la efusión pericárdica en nuestro paciente, evaluar signos de taponamiento cardiaco ya que fue una opción la pericardiocentesis, pero dada la evolución y la etiología del paciente, se desistió del procedimiento. 4

El tratamiento exitoso de la carditis por Micoplasma depende de instaurar de inmediato la terapia contra el Micoplasma como un posible agente etiológico, obtener pruebas de diagnóstico adecuadas para su detección y proporcionar una cobertura antimicrobiana adecuada; en nuestro paciente se instauró desde el inicio terapia con macrólidos. 5

En conclusión, el Mycoplasma pneumoniae causa principalmente infecciones del tracto respiratorio en personas de 5 a 20 años de edad. Las complicaciones cardíacas ocurren en hasta el 5 % de los casos, generalmente se presentan con neumonía y son más comunes en adultos que en niños. En nuestro caso se presentó en un niño de 5 años con repercusión importante en el gasto cardiaco y estado general, elevación importante de marcadores inflamatorios cardiacos, y con respuesta adecuada a antinflamatorios no esteroideos y macrólido, no requirió pericardiocentesis dada la óptima evolución clínica y disminución progresiva de la efusión pericárdica.

REFERENCIAS BIBLIOGRÁFICAS

1. In Ho Park MD (2012) Korea. A Case of Acute Myopericarditis Associated With Mycoplasma pneumoniae Infection in a Child [ Links ]

2. Paz A, Potasman I. Mycoplasma-associated carditis: case reports and review. Cardiology. 2002;97:83-88 [ Links ]

3. Imazio M, Cecchi E, Demichelis B, et al. Myopericarditis versus viral or idiopathic acute pericarditis. Heart. 2008;94:498-501 [ Links ]

4. Leurent G (2010) Management and prognosis of myopericericarditis. doi: 10.1016/j.ijcard.2008.11.065. Epub 2008 Dec 10. [ Links ]

5. Sands MJ,et al. Pericarditis and perimyocarditis associated with active Mycoplasma pneumoniae infection. Ann Intern Med. 1977; 86: 544-548 [ Links ]

6. Consenso Enfermedades del pericardio sociedad Argentina de Cardiología Revista Argentina de Cardiología / vol 85 suplemento 7 / diciembre 2017. [ Links ]

7. Waris ME, Toikka P, Saarinen T, et al. Diagnosis of Mycoplasma pneumoniae pneumonia in children. J Clin Microbiol. 1998;36:3155- 3159 [ Links ]

2Citar como: Campos-Guevara F. Miopericarditis aguda por Mycoplasma pneumonae en un niño de 5 años. Acta Med Peru. 2021; 38(4):324-7. doi: https://doi. org/10.35663/amp.2021.384.2140

Recibido: 10 de Febrero de 1562; Aprobado: 02 de Diciembre de 2021

Correspondencia Karen Condori - Alvino karen.conal@gmail.com

Conflicto de interés: Los autores declaran no tener conflicto de interés.

Creative Commons License Este es un artículo publicado en acceso abierto bajo una licencia Creative Commons