INTRODUCCION
La OMS, reúne a las neoplasias histiociticas dentro de los tumores hematopoyéticos, entre los cuales distingue a las neoplasias de células de Langerhans unifocales, multifocales, unisistemicas y multisistemicas, según el pronóstico clínico que presentan, asociadas o no a mutación del BRAF, RAS, es más frecuente en niños, presentación ganglionar y extra ganglionar, sin embargo, tiene un amplio margen en el grupo etario, y la presentación ósea como primer lugar extra ganglionar. Son neoplasias clónales que se asemejan a las células de Langerhans(1,2).
REPORTE DE CASOS
Presentamos tres casos de histiocitosis de Langerhans unifocal, unisistémica y multifocal,
Caso 1: histiocitosis de células de Langerhans unifocal unisistémico.
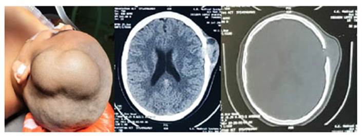
Varón de 10 años de edad, sin antecedentes de importancia, con un tiempo de enfermedad de 4 semanas, con un tumor en la región parietal izquierda, de crecimiento rápido, doloroso y de consistencia blanda. Se refiere que el paciente sufrió un golpe jugando con su hermano, y que fueron los padres quienes se percataron de la lesión. Los estudios de imágenes con TAC, informan una única lesión quística bilobulada con erosión de cráneo y con comunicación intracraneal a duramadre (Figura 1). El paciente fue sometido a una cirugía; donde se halló una lesión quística con área de clivaje, muy vascularizada con infiltración de tejido celular subcutáneo (TCSC), músculo temporal, hueso de cráneo y duramadre, haciendo una resección en bloque, con ruptura de quiste (Figura 2). En el estudio de patología se evidenció macroscópicamente una lesión quística de 12cm de longitud, con restos de coágulos y una pared de 0,6 cm; a la microscopía, se observaron células grandes con escaso citoplasma, núcleos irregulares, con hendidura nuclear, y micronucléolos, acompañado de abundantes eosinófilos, que comprometen el TCSC, músculo, hueso parietal, duramadre, sin infiltración de parénquima cerebral. CD1A Y S100 y BRAF positivos (Figura 3). Actualmente se encuentra asintomático y en estudios de extensión.

Figura 1 TAC; única lesión quística bilobulada con erosión de cráneo con comunicación intracraneal a duramadre.

Figura 2 Vista externa. B. Vista interna. Se muestra lesión quística (A y B) con área de clivaje, muy vascularizada con infiltración de tejido celular sub cutáneo, musculo temporal, hueso de cráneo y duramadre.
Caso 2: histiocitosis de células de Langerhans multifocal unisistemico.
Mujer de 11 años de edad, que inició su enfermedad a los 4 años con una masa dolorosa de 7.6 cm de diámetro en la región parietal izquierda, que infiltra desde la piel hasta la duramadre, con el diagnóstico de Histiocitosis de Langerhans. S100, CD1A, BRAF positivos, y Ki 67 positivo (40%). Con los estudios de extensión se clasifica como unisitémico, unifocal, y recibe tratamiento quirúrgico; a los 5 años fue diagnosticada con diabetes insípida (DI) nefrogénica, siendo tratada por 4 años, sin presentar mejoría; a los 9 años, fue reevaluada y diagnosticada como DI post quirúrgica, y con retardo en el crecimiento, recibiendo desmopresina intranasal, mejorando clínicamente; a los 10 años, presentó tres lesiones en la región temporo-parietal derecha, que se extirparon quirúrgicamente y se le diagnostica como recurrencia de enfermedad. El examen de medula ósea demuestra cambios displásicos, libres de neoplasia, el examen de survey óseo indica múltiples lesiones óseas en sacabocados en cráneo, por lo que fue clasificado como multifocal multisistémico, actualmente recibe vinblastina y dexametasona, con control de enfermedad Fig 4.
Caso 3: histiocitosis de células de Langerhans de fémur 14-6638.
Mujer de 9 años de edad, hija única, sin antecedentes de importancia; inicia enfermedad a los 4 años de edad, con, dolor en rodilla derecha, dificultad a la deambulación de 2 semanas, presenta lesión lítica en fémur distal derecho, se realiza curetaje óseo y el informe de patología muestra infiltrado inflamatorio mixto, eosinofilo, linfocitos, escasa proliferación de células grandes, con escaso citoplasma núcleo irregular, con hendidura nuclear. Con diagnóstico de Histiocitosis de Langerhans, unifocal, unisistémico, Recibió tratamiento quirúrgico, a los 6 años presenta fractura patológica de fémur derecho, actualmente presenta tumoración en brazo derecho de 1cm, y deformación del rostro, en consulta con odontología.
DISCUSIÓN
La histiocitosis de células de Langerhans, es una neoplasia clonal de células que se parecen a las células de Langerhans descritas por el Medico Alemán DR. Langerhans, en la piel, quien argumenta el origen hematopoyético derivado de la línea mieloide monocito histiocito, que sufre mutación de BRAF en su maduración, en un 50% o de MERK, ERK, produciendo disregulacion y la proliferación de las células de Langerhans (CL)(3,4). Sin embargo, también existe la hipótesis de la mutación a nivel de la célula madre que da origen a la línea mieloide, la proliferación puede ser a nivel ganglionar, y extra ganglionar, con predominio en la primera infancia (67%)(5), con ligera predilección en el sexo masculino, dentro de los sitios extra ganglionares, el tejido óseo es de mayor prevalencia (80%), piel (30%), seguido de hígado, bazo, gastrointestinal, pulmón y SNC, produciendo lesiones nodulares que causan dolor por el grado de infiltración, tumefacción, cuando son unisistémicas (70-90%) (Cuadro 1); sin embargo, puede cursar con citopenias, fiebre, malestar general en caso de ser multisistémicas (9%). La causa aún desconocida, puede deberse a factores ambientales como el tabaquismo relacionado con la afectación pulmonar, y algunas infecciones dentro del primer año de vida, como otitis, bronquiolitis, priman dentro de los factores de riesgo asociado a antecedentes heredofamiliares de cáncer, nivel socioeconómico bajo, entre otros(1,5).
Cuadro 1 Clasificación actual de la Histiocitos de células de Langerhans.

*Se consideran órganos de riesgo porque al estar afectados, confieren un mayor riesgo de mortalidad asociada a la enfermedad.
Afección hepática = hepatomegalia >3 cm por debajo del borde costal, hiperbilirrubinemia >3 veces su valor normal, hipoalbuminemia, elevación de enzimas hepáticas, ascitis o edema.
Afección esplénica = esplenomegalia >3 cm por debajo del borde costal a nivel de la línea media clavicular, corroborado por ultrasonido.
Afección hematopoyética = trombocitopenia < 100 000/mm3 y hemoglobina.
Tomado de García Romero et.al. Histiocitosis de células de Langerhans: nuevos conceptos moleculares y clínicos(5).
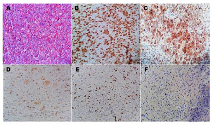
Los estudios de imágenes, muestran lesiones líticas, que erosionan la cortical ósea, hiperintensas en T1, que infiltran tejidos blandos, pueden ser diagnosticados por survey óseo, o PT SCAN, la biopsia diagnóstica es determinante para el manejo de la enfermedad, donde muestra un infiltrado de células de aspecto epitelioide-histiocítico, con escaso citoplasma eosinófilo, núcleos irregulares, con hendiduras nucleares típicas, nucléolos inconspicuos, que se disponen alrededor de estructuras vasculares, asociado a un gran infiltrado eosinófilo, hemorragia intersticial, presencia de células gigantes multinucleadas; la presencia de atipia y mitosis debería considerar diagnóstico de sarcoma de células de Langerhans, el estudio de inmunohistoquímica marca positividad para S100, Cd1A, Langherina, Cd68, las cuales permiten el diagnóstico, el pronóstico varía dependiendo del compromiso unifocal o multisistémico, siendo los multifocales y multisistémicos, de mal pronóstico, con una sobrevida de 50%, el tratamiento quirúrgico en lesiones únicas y unisistemicas pueden ser de contención de la enfermedad y la quimioterapia suele reservarse para los casos de lesiones multifocales y multisistémicas(4,6).
En nuestro centro hospitalario los últimos 10 años se han presentado los tres casos descritos, confirmando la poca frecuencia de presentación. Tener en cuenta las lesiones óseas en niños pequeños, como diagnóstico de histiocitosis de células de Langerhans, debería ser parte de las opciones, por lo que presentamos tres casos de diferente localización, manejo y tratamiento.
La histiocitosis de Langerhans debe considerarse en los diagnósticos diferenciales en la edad infantil en los tumores craneales de rápido progreso, así como en los tumores óseos, debido a su alta frecuencia de compromiso óseo, el seguimiento debe ser realizado por oncología, y el oportuno manejo en la clasificación del compromiso multisistémico
















