SciELO - Scientific Electronic Library Online

 
vol.5 número3Corrección percutánea de cardiopatías congénitas estructurales durante el puerperio temprano. Experiencia de un centroLa clasificación de Killip y Kimball en la era del ultrasonido: ¿es hora de redefinir? índice de autoresíndice de materiabúsqueda de artículos
Home Pagelista alfabética de revistas  

Servicios Personalizados

Revista

Articulo

Indicadores

  • No hay articulos citadosCitado por SciELO

Links relacionados

  • No hay articulos similaresSimilares en SciELO

Compartir


Archivos peruanos de cardiología y cirugía cardiovascular

versión On-line ISSN 2708-7212

Arch Peru Cardiol Cir Cardiovasc vol.5 no.3 Lima jul./set. 2024  Epub 29-Sep-2024

http://dx.doi.org/10.47487/apcyccv.v5i3.410 

Review articles

Shaggy aorta: ideal substrate for disaster. Updated review

Aorta shaggy: sustrato ideal para el desastre. Revisión actualizada

Kevin Velarde-Acosta1  *  , Medical Doctor
http://orcid.org/0000-0001-9132-0445

Josh Yefry Moscoso Ramirez1  , Medical Doctor
http://orcid.org/0000-0002-1814-4630

Paol Rojas1  2  , Medical Doctor
http://orcid.org/0000-0001-5377-9669

Lucy Susanibar1  , Medical Doctor
http://orcid.org/0000-0003-4269-4031

Lady Diana Quintana Reusche1  , Medical Doctor
http://orcid.org/0009-0009-6217-9863

Angela Cachicatari3  , Medical Doctor
http://orcid.org/0000-0001-7908-5200

Roberto Baltodano-Arellano3  4  , Medical Doctor
http://orcid.org/0000-0002-7538-2125

1Clinical Cardiology Department; Hospital Guillermo Almenara Irigoyen - EsSalud, Lima, Perú

2Interventional Cardiology Department; Hospital Guillermo Almenara Irigoyen - EsSalud, Lima, Perú

3Cardiac imaging area of Cardiology Department, Hospital Guillermo Almenara Irigoyen - EsSalud, Lima, Perú

4School of Medicine, Universidad Nacional Mayor de San Marcos, Lima, Perú

ABSTRACT

Shaggy aorta (SA) is characterized by a critical and extensive atheromatous disease of the thoracic and abdominal aorta. This degenerative and dangerous pathology is the result of the confluence of multiple modifiable and non-modifiable risk factors. The clinical importance of this pathology relies on the various syndromes that can develop from its etiopathogenesis, which generates great morbidity and mortality in the affected patients. In this document, we present an updated and detailed review of this entity, developing aspects of its pathophysiology, diagnosis, including the importance of multimodal imaging, and its therapeutic approach. Finally, we present the clinical settings of patients with SA in different aortic scenarios (aortic dissection, ulcerated plaques, and thrombosed aneurysms) that denote the nature of this disease and its high mortality.

Keywords: Aorta; Atheroesclerosis; Pathology; Multimodal Imaging

RESUMEN

La aorta shaggy (AS) se caracteriza por ser una enfermedad ateromatosa crítica y extensa de la aorta torácica y abdominal. Esta patología degenerativa y peligrosa es el resultado de la confluencia de múltiples factores de riesgo modificables y no modificables. La importancia clínica de esta afección radica en los diversos síndromes que pueden desarrollarse a partir de su etiopatogenia, los cuales generan una gran morbimortalidad en los pacientes afectados. En este documento presentamos una revisión actualizada y detallada de esta entidad; se revisan aspectos sobre su fisiopatología, su diagnóstico, se incluye la importancia de la imagen multimodal y su abordaje terapéutico. Finalmente, presentamos escenarios clínicos de pacientes con AS con diferentes síndromes aórticos (disección aórtica, placas ulceradas y aneurismas trombosados) que denotan la naturaleza de esta enfermedad y su elevada mortalidad.

Palabras clave: Aorta; Ateroesclerosis; Patología; Imagen Multimodal

Introduction

The aorta, the largest artery in the body, serves as an elastic conduit essential for transmitting arterial pressure throughout the arterial bed. This blood vessel, as well as those of medium and small caliber, are susceptible to the development of atherosclerosis due to a combination of acquired, hereditary, sex- and age-related factors 1. In addition to mechanically obstructing blood flow, atheromatous plaque presents risks of rupture leading to obstructive or embolic vascular thrombosis.

Shaggy aorta (SA) represents an extreme manifestation of aortic atherosclerosis, characterized by extensive and severe atheromatous disease featuring scattered ulcers, loosely held debris, a weakened medial arterial layer, and a tendency towards thrombus formation 2,3. While the precise etiology behind the heightened vulnerability of the aorta remains elusive, it is believed to involve complex interactions between hydrodynamic patterns affecting the aorta and genetic predispositions to atherogenesis 4.

The clinical importance of this pathology relies on the various syndromes that can develop from its etiopathogenesis, which generate great morbidity and mortality in affected individuals, and its utility as a risk factor of operative mortality. Furthermore, the advancement of diagnostic tools underscores the importance of the multimodality of images in achieving timely and accurate diagnoses, thereby facilitating appropriate decisions regarding patient management. Within this context, we review the nature of this disease, and the spectrum of different syndromes associated with SA.

Definition

A uniform definition of SA has not been established due to the different diagnostic methods used in its diagnosis; however, some definitions have been postulated. SA is a descriptive term that has been used for atherosclerotic aortic segments, which show localized or diffuse irregularity and typical obstructive and spiculated images that are visualized in different diagnostic tools 3. The shagginess is imparted by complications like multifocal ulcerations, calcification, and/or overlying thrombi 5. Another definition used for the SA is a diffuse, irregularly shaped atherosclerotic change involving 75% of the length of the aorta from the arch to the visceral segment with atheromatous plaque thickness greater than 4 mm, as confirmed by imaging tools 5. Clinically, it is often referred to as an imaging finding of contrast-enhanced computed tomography (CT) or echography 6.

Epidemiology

The prevalence and incidence of SA in the general population are unknown, however, it is estimated at 10-20% in certain risk groups. Thus, one study found that 48/447 patients (11%) having elective aortic abdominal aneurysm repair had SA. Also, the incidence of major complications and mortality was 4.1 times higher in patients with SA than in patients without a severe atherosclerotic aorta 7.

In another study, it was reported that the prevalence of SA in patients undergoing total aortic arch replacement was 19% 8. Likewise, it has been seen that most of the patients with SA are elderly, predominantly males-with comorbid conditions like hypertension, diabetes mellitus, chronic obstructive pulmonary disease, coronary and peripheral artery disease, and stroke 5.

Regarding data in Latin America, a review conducted in Argentina emphasizes that the prevalence and incidence of SA in at-risk populations are unknown. It also describes the complexity of this pathology and its high morbid-mortality in affected patients 9. On the other hand, in Mexico, an ambispective study was conducted in which a prevalence of 8.66% was determined, a mean age of 70 years, predilection for the male gender, and the main comorbidities found were similar to those previously described 10. Unfortunately, there are no epidemiological data on AS in Peru; however, there is a Peruvian review on aortoiliac occlusive disease, which describes the association between AS and poor prognosis and high risk during endovascular treatment 11.

Pathophysiology

Severe atherosclerotic degeneration of the aorta is a multifactorial process associated with various modifiable risk factors and non-modifiable. The initial event that gives rise to atheroma formation is unknown; however, the “response to injury” hypothesis considers atherosclerosis as a chronic response of inflammation and scarring in the arterial wall after endothelial injury with subsequent evolution of atheroma due to the interaction of modified lipoproteins, the immune system and the smooth cells of the arterial wall 1,12-14.

After the accumulation of lipoprotein particles in the subintimal space and their binding to proteoglycans, these particles are affected by oxidative stress (oxidation and glycation). These modified lipoproteins induce the synthesis of cytokines that promote the chemotaxis of inflammatory cells (monocytes, T lymphocytes), phagocytizing this material. These macrophages (foam cells) are a source of new mediators that favor the migration of smooth muscle cells toward the intima, which are responsible for the elaboration of extracellular matrix that accumulates within the atherosclerotic plaque (allowing its growth) 1,4,12-14.

The spatial heterogeneity of atherosclerotic lesions in patients with SA has been difficult to explain. It is believed that this is not only the result of a response to the different hydrodynamic patterns that affect the aorta (normal pulsatile lamellar flow generates greater shear force that is associated with lower atherogenicity) but also of a genetic predisposition specific to the individual 4. Thus, those with higher expression of genes coding for the enzymes superoxide dismutase, nitric oxide synthase and Kruppel-type factor 2 are less predisposed to severe atherosclerotic degeneration by reducing the formation of oxygen free radicals, inhibiting nuclear factor kappa B (NF-kB) and favoring vasodilatation 4,15-18.

Diagnostic implications

The clinical importance of this pathology lies in the various syndromes that can develop from its etiopathogenesis, including aortic dissection (Figures 1, 2; Video 1); aortic aneurysms (Figure 3; Video 2); thromboembolism or peripheral atheromatous embolization (to the digestive system, renal, spinal cord or peripheral limbs manifested as SA syndrome) (Figures 4, 5; Videos 3, 4), ischemic stroke and penetrating atherosclerotic ulcer 19 (Figure 6. Central Illustration). Likewise, SA is an independent and significant risk factor for operative mortality.

Figure 1 Anterior Q infarction in Shaggy aorta and Stanford “A” aortic dissection. An 80-year-old female patient was admitted to the emergency room with a diagnosis of a 3-day evolving anterior Q infarction. During the attempt to cannulate the left coronary artery, contrast retention was detected in the ascending aorta, so CT angiogram was performed. A, B. Dissection flap is seen at the sinotubular junction (red arrow), with an ascending trajectory to the proximal aortic arch (orange arrow) and extending through the brachiocephalic trunk to the proximal segment of the right subclavian artery (white arrows). C, D. Complicated plaques in the aortic arch and descending aorta (green arrows). Diffuse atheromatosis is observed at the aortic arch, with an image suggestive of an intraluminal thrombus. 

Figure 2 Microscopic view of the atheromatous ascending aorta. The patient underwent emergency Bentall de Bono surgery for acute aortic dissection Stanford A, however, died during the intervention. Circumferential atheromatous plaque in the ascending aorta, with cholesterol deposits in the subintimal layer (black asterisks). The aortic dissection entry flap can be seen (reddish arrow). 

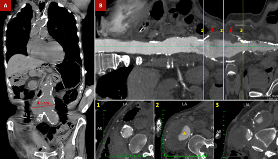
Figure 3 Shaggy aorta and abdominal aortic aneurysm. An 84-year-old male patient was admitted to the emergency room with severe diffuse abdominal pain. Medical history included hypertension, diabetes mellitus, chronic kidney disease and senile dementia. A. Non-contrast thoracoabdominal CT - coronal section. Severe calcification of the aorta is observed, predominantly in the aortic arch and abdominal aorta. Also, there is an aneurysmal dilatation of the infrarenal aorta with a maximum diameter of up to 8.5 cm. B. Longitudinal reconstruction of the aorta. The transverse sections at the level of the abdominal aortic aneurysm demonstrate the calcification of the abdominal aneurysm wall, along with the presence of an extensive mural thrombus (red arrows) and a reduced luminal diameter (orange star). Mesenteric ischemia was suspected, with the emboligenic source coming from complex atheromatous aortic plaques or abdominal aortic aneurysms. The patient was admitted to the operating room for an exploratory laparotomy. However, the patient died during the operative procedure. 

EC: endothelial cell; PAI-1: type 1 plasminogen activator inhibitor; SMC: smooth muscle cell; t-PA: tissue-type plasminogen activator; u-PA: urokinase-type plasminogen activator.

Figure 4 Shaggy aorta and thrombus. A. After rupture of the fibrous cap, coagulation molecules from the bloodstream come into contact with foam cells, tissue factor, and microparticles derived from apoptotic atheroma cells, triggering thrombus formation in the ruptured plaque. The thrombotic equilibrium will determine whether plaque rupture will culminate in the formation of a persistent, distant-migrating thrombus or in its dissolution. B. TEE - Proximal third of the descending aorta. Orthogonal images showing extensive mural thrombotic formation of irregular border that occupies up to one third of the arterial lumen, with small movable elements on its surface in the long axis. C. TEE - Middle third of the descending aorta. Orthogonal images show a crescent-shaped thrombus in the short-axis view. D. TEE - Distal third of the descending aorta. Orthogonal images of a wedge-shaped thrombus. Secondary thrombotic elements are in the opposite position to the initial one. 

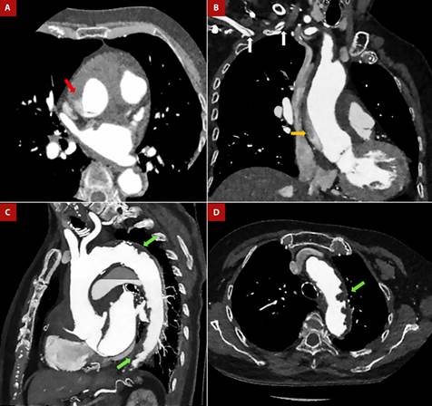
Figure 5 Shaggy aorta and thrombus. A 76-year-old man with a history of arterial hypertension, smoking, atrial flutter, and abdominal aortic aneurysm corrected by bilateral aorto-femoral bypass, referred intermittent claudication of the lower limbs. The patient was admitted on an outpatient basis for peripheral revascularization. The pre-surgical evaluation was complemented with transesophageal echocardiography (TEE) (see Figure 4) due to poor acoustic window in the transthoracic approach and a cardiac CT. A. CT angiogram - sagittal section of the aorta. Multiple atheromatous plaques, in tandem, along the entire course of the aortic arch and thoracoabdominal aorta (red arrows), predominantly in the supradiaphragmatic portion. B. Longitudinal reconstruction of the aorta. The cross-section shows plaques with a low attenuation coefficient (35 HU), irregular borders (lower central box), ulcerated and associated with images suggestive of thrombus (lower right box). 

Figure 6 CENTRAL ILLUSTRATION. Shaggy aorta is characterized by severe atherosclerotic degeneration, resulting from a multifactorial pathophysiological process (with chronic inflammation, ischemia, aortic wall shear stress, and individual genetic susceptibility being fundamental to parietal remodeling and increased vulnerability). The clinical importance of this disease lies in the different clinical conditions to which it predisposes (aortic dissection, penetrating aortic ulcer, aneurysmal dilatation, and systemic embolization) and in its role as an independent and significant risk factor for operative mortality. Graphic created by the corresponding author. 

The predisposition for the development of aneurysms and aortic dissection has a multifactorial basis involving chronic inflammation and ischemia of the aortic wall, which generates remodeling and increased susceptibility. The presence of severe atherosclerosis is associated with increased local expression of proteinases that contribute to tissue destruction, cell necrosis and apoptosis 20-23. On the other hand, the blood supply of the aorta is provided by simple diffusion (2/3 internal) and through the vasa vasorum (1/3 external), except for the infrarenal aorta, which lacks an independent vascular supply 24, therefore the presence of atheromas favors ischemia of the media with subsequent apoptosis of smooth muscle cells and weakening of the wall 25-27. This phenomenon, together with a simultaneous stressful stimulus, that exceeds the strength of the aortic wall, increases susceptibility to the development of aneurysms and/or aortic dissection.

Another syndrome associated with SA is central or peripheral, thrombi or cholesterol crystals embolism. Plaque stability is the result of the balance between mechanical resistance and the forces that affect the coating. Thus, unstable plaques will be characterized by the presence of a thin fibrous cap with few smooth muscle cells, covering a large lipid core with abundant foam cells and tissue factors 27-29. Fracture of the cap will expose the plaque tissue factor to blood clotting proteins, thus initiating the coagulation cascade and the formation of fibrin-rich thrombi, which embolize to the brain or peripheral organs. Likewise, the exposure of cholesterol crystals contained within the lipid core, can be embolized to the peripheral organs or extremities giving rise to SA syndrome (diffuse atheromatous embolization) 30-33.

Penetrating atherosclerotic ulcers (PAU) are caused by ulceration of the atherosclerotic plaque with extension into the media, producing a mushroom-shaped excrescence. They occur as unifocal or multifocal lesions in diffusely atherosclerotic aortas, particularly in the medial and distal portion of the descending aorta. Its timely diagnosis is essential, as large PAU (> 20 mm) with a depth greater than 10 mm are responsible for 2-7% of cases of acute aortic syndrome 5,34-37.

Diagnosis and multimodality

When evaluating aortic pathology, the method of choice will depend on the diagnostic suspicion, the patient’s comorbidities, and the availability of the method. These include transthoracic echocardiography (TTE), transesophageal echocardiography (TEE), CT, and magnetic resonance imaging (MRI). Generally, more than one diagnostic tool will be used, emphasizing the importance of multimodality for proper diagnosis, and its choice will depend on the individualization of each case (Table 1 and Table 2) 36-47.

Table 1 Utility of cardiovascular images according to pathology 

Echocardiography (TTE/TEE) CT MRI
Aortic Aneurysm -Low cost, availability and safety. -Ideal method for screening and follow-up (if it shows good correlation with other methods previously). -First choice, especially when the size is close to that which defines an intervention. -High spatial resolution. -Allows pre-procedural planning. -Allows identification of endoleak. -Useful in the follow-up of chronic patients requiring repeated studies to avoid radiation. -No use of ionizing radiation. STRENGTHS
Aortic Dissection -Frequently used for measuring proximal aortic segments. -Visualization of the aortic valve and ascending aortic structure in real. -Rapid identification of complications. -Crucial role in the pre-operative, intra-operative, and post-operative control of surgically treated aortic disease. -Technique of choice in acute state (class I). -Short acquisition time and wide availability. -No contraindication in the presence of metallic devices -Full assessment of thoracoabdominal aorta -High spatial resolution -Optimal visualization of arterial wall calcification and endovascular stents -Excellent evaluation of aortic wall. -Dynamic assessment of flow. -Gadolinium contrast media not mandatory. -Not contraindicated in pregnancy.
Penetrating Aortic Ulcer (PAU) -Visualizes the image of a crater, with irregular edges, associated with atheromatous disease of the rest of the wall. -TEE: Ensures the excellent visualization of the aortic wall and provides maximum depth of ulcer penetration from the aortic lumen. -Location, width, and length of the ulcer and aortic diameter at the level of the PAU may also be detected. -Complete visualization of the aorta. -Typical image described as “button collar”. -Determines the presence of pseudoaneurysms, periaortic tissue involvement and pleural effusion as signs of poor prognosis associated with PAU. -Allows differentiation of intramural hematoma, plaque complicated with penetrating ulcer, and intraluminal thrombus.
Atherosclerosis / Aortic Thrombi -TTE: useful for detecting atherosclerotic plaques in the aortic root, ascending aorta and aortic arch. -TEE: gold standard for the study of atheromatosis of the thoracic aorta*. -Identification of mobile elements. -High temporal resolution. -Epiaortic ultrasound allows evaluation of ascendant aorta to detect plaque prior to aortic manipulation. -Allows identification of calcific plaques in any aortic segment. -Allows the characterization of aortic plaques. -Visualization of TEE blind spot. -High spatial resolution. -Allows pre-procedural planning. -Allows the characterization of aortic plaques. -Visualization of TEE blind spot.
-Operator dependent. -Dependent on adequate acoustic window. -PAU and intramural hematoma are not diagnosed in up to 12% of patients. -High cost -Use of ionizing radiation. -Use of contrast material. -High cost. -Limited availability. -Overestimation of the size of atherosclerotic plaques. -Use of contrast material. -Prolonged scan time. -Difficulty in monitoring acutely ill patients WEAKNESSES

CT: computerized tomography; MRI: magnetic resonance imaging; PAU: penetrating aortic ulcer; TEE: transesophageal echocardiography; TTE: transthoracic echocardiography.

*Except for the blind spot located at the junction of the distal ascending aorta and aortic arch.

Adapted from references 36 - 47.

Table 2 Choice of imaging studies according to pathology (consider patient characteristics, availability of the method, local experience, etc.) 

Gold Standard Second choice Third choice
Aortic Aneurysm CT or MRI TEE (if it shows good correlation with other methods previously) -
Aortic Dissection CT or MRI - -
Penetrating Aortic Ulcer CT or MRI TEE -
Atherosclerosis / Aortic Thrombi TEE CT MRI

CT: computerized tomography; MRI: magnetic resonance imaging; TEE: transesophageal echocardiography; TTE: transthoracic echocardiography.

Adapted from references 36 - 47.

TTE allows visualization of the aortic root, sinotubular junction, ascending aorta (AAo), distal portion of the arch, and proximal portion of the descending aorta (DAo). However, this is limited by the acoustic window of each patient. On the other hand, TEE allows visualization, with higher spatial resolution, of the AAo, the arch, and the thoracic DAo, except a “blind spot” located at the junction of the AAo and the arch 48. The higher spatial resolution is due to the proximity of the esophageal transducer to the aorta and the higher wave frequency. For this reason, TEE is the imaging modality of choice to diagnose plaques in the thoracic aorta and to specify its morpho-structural characteristics 48 Thus, aortic plaque is defined as an irregular thickening of at least 2 mm in thickness with increased echogenicity with respect to the adjacent intimal surface. A complex aortic plaque, defined by a thickness ≥4 mm, ulcerated or with an associated mobile component, is associated with an increased risk of cardiovascular and cerebrovascular events and mortality 49.

CT allows visualization of the aorta in its entirety, detects calcified plaques, tortuosities, and aneurysms, and evaluates adjacent organs. The visualization of the lumen requires the use of contrast media, which can accurately define the aortic wall, perform precise measurements, identify and characterize aortic plaques, as well as their complications (endoluminal thrombi and the different forms of acute aortic syndrome) 48. Therefore, when acute aortic syndrome is suspected, it is considered the first diagnostic study, as long as it is contrasted and triggered. Its main limitations lie in the use of radiation and iodinated contrast.

MRI perfectly characterizes the composition of the aortic plaque (fibrous cap and lipid core) and identifies thrombi attached to the plaque 50. Its diagnostic capability is superior to TEE, particularly in AAo and arch, nonetheless, TEE has a better image quality in regards of the descending aorta 51. In addition, it allows assessment of cardiac and valvular function, information that is of interest in aortic pathology. Despite these advantages, its high cost, limited availability, longer acquisition time, and occasional use of contrast make it an ineligible method for diagnosis and follow-up.

Management

There is little evidence regarding the medical management of SA. Embolization is the main complication in severe atherosclerosis, leading to ischemic damage of target organs 30. This thromboembolic risk makes it necessary to consider the use of anticoagulants and antiplatelet agents. Initial studies reported benefits of warfarin over aspirin in secondary prevention, however these are scarce and not randomized 52. More studies are needed to determine the indication of these drugs. On the other hand, statins have been related to regression of plaque burden by magnetic resonance imaging 53, and in a retrospective study they reduced the stroke rate by up to 70%, being superior to antiplatelet drugs, which did not show a protective effect 54.

Although there is no clear indication for endovascular aortic treatment of the abdominal or thoracic aorta in patients with SA, we know that these patients are at increased risk for embolization and the development of acute and chronic aortic complications. Evidence suggests that ‘’prophylactic’’ endarterectomy of a severely atherosclerotic aorta for protruding atheroma as an adjunct to a cardiac procedure is not recommended because of the high incidence of intraoperative stroke 55. Nevertheless, patients with recurrent peripheral or visceral embolization and the presence of shaggy aorta with favorable anatomical features for endovascular reperfusion may undergo such treatment (Recommendation Class IIb, Level of Evidence C) 56. On the other hand, the management of complications associated with SA is beyond the scope of this review.

Conclusions

SA refers to severe atherosclerotic degeneration of the inner aortic surface, which is extremely friable and predisposes to various complications such as aneurysms, acute aortic syndromes, and peripheral embolization. The incidence and prevalence of SA in the world population are unknown. The fundamental bases for the development of SA and its complications are chronic inflammation, ischemia, aortic wall shear stress, and individual genetic susceptibility. On the other hand, multimodality imaging is essential for the timely and correct identification and characterization of aortic atherosclerotic plaques, especially complex ones, which are typical of SA. Each of these diagnostic tools has certain characteristics that favor or limit its usefulness. Finally, there is no consensus regarding the interventional or surgical management of SA, but its finding constitutes an important risk factor for operative and long-term mortality.

References

1. Mitchell RN, Connolly AJ, Halushka MK. Blood vessels. In: Turner JR, editor. Robbins & Cotran Pathologic Basis of Disease, 10e. Barcelona: Elsevier; 2021. p. 485-508. [ Links ]

2. Illuminati G, Bresadola L, DUrso A, Ceccanei G, Vietri F. Simultaneous stent grafting of the descending thoracic aorta and aortofemoral bypass for "shaggy aorta" syndrome. Can J Surg. 2007;50(5):E1-2. [ Links ]

3. Hollier LH, Kazmier FJ, Ochsner J, Bowen JC, Procter CD. "Shaggy" aorta syndrome with atheromatous embolization to visceral vessels. Ann Vasc Surg. 1991;5(5):439-444. doi:10.1007/BF02133048. [ Links ]

4. Braverman AC, Schermerhorn M. Diseases of the Aorta. In: Libby P, editor. Braunwald's Heart Disease Review and Assessment 12e E-Book. Elsevier; 2022. p. 806-36. [ Links ]

5. Vaideeswar P, Zare P. Shaggy Aortic Syndrome, Penetrating Atherosclerotic Ulcer, and Rupture. In: Vaideeswar P, editor. Tropical Cardiovascular Pathology Autopsy-Based Clinicopathological Cases. Singapore: Springer; p. 319-21. doi: 10.1007/978-981-19-3720-0_58. [ Links ]

6. Lindblad B. Commentary on 'Impact of Shaggy Aorta in Patients with Abdominal Aortic Aneurysm Following Open or Endovascular Aneurysm Repair'. Eur J Vasc Endovasc Surg. 2016;52(5):620. doi: 10.1016/j.ejvs.2016.09.003. [ Links ]

7. Kwon H, Han Y, Noh M, Gwon JG, Cho YP, Kwon TW. Impact of Shaggy Aorta in Patients with Abdominal Aortic Aneurysm Following Open or Endovascular Aneurysm Repair. Eur J Vasc Endovasc Surg. 2016;52(5):613-619. doi: 10.1016/j.ejvs.2016.08.010. [ Links ]

8. Okada K, Omura A, Kano H, Inoue T, Oka T, Minami H, et al. Effect of atherothrombotic aorta on outcomes of total aortic arch replacement. J Thorac Cardiovasc Surg 2013;145:984-991. doi: 10.1016/j.jtcvs.2012.03.048. [ Links ]

9. Nielsen LAG, Padilla G, Feldman R, Barbaglia C. Aorta SHAGGY. Patología aún vigente. Revista de la Federación Argentina de Cardiología. 2021;50:16-19. [ Links ]

10. Castro Luna BD. Prevalencia y características de pacientes con diagnóstico de Aorta Peluda por Angiotomografía en los últimos 10 años en Hospital Especialidades CMN La Raza [Tesis]. Facultad de Medicina, Universidad Nacional Autónoma de México; 2023. [ Links ]

11. Talledo O, Valdez LM, Torres L, De la Peña O, Calle A. Enfermedad oclusiva aorto-iliaca: Del tratamiento quirúrgico al endovascular. Rev Med Hered. 2015;26(3):177-185. [ Links ]

12. Lusis AJ. Atherosclerosis. Nature. 2000;407(6801):233-241. doi: 10.1038/35025203. [ Links ]

13. Soehnlein O, Libby P. Targeting inflammation in atherosclerosis - from experimental insights to the clinic. Nat Rev Drug Discov. 2021;20(8):589-610. doi: 10.1038/s41573-021-00198-1. [ Links ]

14. Wojtasinska A, Frak W, Lisinska W, Sapeda N, Mlynarska E, Rysz J, et al. Novel Insights into the Molecular Mechanisms of Atherosclerosis. Int J Mol Sci. 2023;24(17):13434. doi: 10.3390/ijms241713434. [ Links ]

15. Wigner P, Dziedzic A, Synowiec E, Miller E, Bijak M, Saluk-Bijak J. Variation of genes encoding nitric oxide synthases and antioxidant enzymes as potential risks of multiple sclerosis development: a preliminary study. Sci Rep. 2022;12(1):10603. doi: 10.1038/s41598-022-14795-6. [ Links ]

16. Miao L, St Clair DK. Regulation of superoxide dismutase genes: implications in disease. Free Radic Biol Med. 2009;47(4):344-56. doi: 10.1016/j.freeradbiomed.2009.05.018. [ Links ]

17. Kang DH, Kang SW. Targeting cellular antioxidant enzymes for treating atherosclerotic vascular disease. Biomol Ther (Seoul). 2013;21(2):89-96. doi: 10.4062/biomolther.2013.015. [ Links ]

18. Niu N, Xu S, Xu Y, Little PJ, Jin ZG. Targeting Mechanosensitive Transcription Factors in Atherosclerosis. Trends Pharmacol Sci. 2019;40(4):253-266. doi: 10.1016/j.tips.2019.02.004. [ Links ]

19. Komatsu S, Takahashi S, Toyama Y, Kodama K. Exploring inside a shaggy aorta using non-obstructive angioscopy. BMJ Case Rep. 2017;2017:bcr2017219449. doi: 10.1136/bcr-2017-219449. [ Links ]

20. Gusev E, Sarapultsev A. Atherosclerosis and Inflammation: Insights from the Theory of General Pathological Processes. Int J Mol Sci. 2023;24(9):7910. doi: 10.3390/ijms24097910. [ Links ]

21. Lim S, Park S. Role of vascular smooth muscle cell in the inflammation of atherosclerosis. BMB Rep. 2014;47(1):1-7. doi: 10.5483/bmbrep.2014.47.1.285. [ Links ]

22. Popa-Fotea NM, Ferdoschi CE, Micheu MM. Molecular and cellular mechanisms of inflammation in atherosclerosis. Front Cardiovasc Med. 2023;10:1200341. doi: 10.3389/fcvm.2023.1200341. [ Links ]

23. Martinet W, Schrijvers DM, De Meyer GR. Necrotic cell death in atherosclerosis. Basic Res Cardiol. 2011;106(5):749-60. doi: 10.1007/s00395-011-0192-x. [ Links ]

24. Tanaka H, Zaima N, Sasaki T, Hayasaka T, Goto-Inoue N, Onoue K, et al. Adventitial vasa vasorum arteriosclerosis in abdominal aortic aneurysm. PLoS One. 2013;8(2):e57398. doi: 10.1371/journal.pone.0057398. [ Links ]

25. Uimonen M. Synthesis of multidimensional pathophysiological process leading to type A aortic dissection: a narrative review. J Thorac Dis. 2021;13(10):6026-6036. doi: 10.21037/jtd-21-829. [ Links ]

26. Milutinovic A, Suput D, Zorc-Pleskovic R. Pathogenesis of atherosclerosis in the tunica intima, media, and adventitia of coronary arteries: An updated review. Bosn J Basic Med Sci. 2020;20(1):21-30. doi: 10.17305/bjbms. [ Links ]

27. Kockx MM, Herman AG. Apoptosis in atherosclerosis: beneficial or detrimental? Cardiovasc Res. 2000;45(3):736-46. doi: 10.1016/s0008-6363(99)00235-7. [ Links ]

28. Baaten CCFMJ, Nagy M, Bergmeier W, Spronk HMH, van der Meijden PEJ. Platelet biology and function: plaque erosion vs. rupture. Eur Heart J. 2024;45(1):18-31. doi: 10.1093/eurheartj/ehad720. [ Links ]

29. Finn AV, Nakano M, Narula J, Kolodgie FD, Virmani R. Concept of vulnerable/unstable plaque. Arterioscler Thromb Vasc Biol. 2010;30(7):1282-92. doi: 10.1161/ATVBAHA.108.179739. [ Links ]

30. Serra R, Bracale UM, Jiritano F, Ielapi N, Licastro N, Provenzano M, et al. The Shaggy Aorta Syndrome: An Updated Review. Ann Vasc Surg. 2021;70:528-541. doi: 10.1016/j.avsg.2020.08.009. [ Links ]

31. Ozkok A. Cholesterol-embolization syndrome: current perspectives. Vasc Health Risk Manag. 2019;15:209-220. doi: 10.2147/VHRM.S175150. [ Links ]

32. Ghanem F, Vodnala D, Kalavakunta J, Durga S, Thormeier N, Subramaniyam P, et al. Cholesterol crystal embolization following plaque rupture: a systemic disease with unusual features. J Biomed Res. 2017;31(2):82-94. doi: 10.7555/JBR.31.20160100. [ Links ]

33. Saric M, Kronzon I. Cholesterol embolization syndrome. Curr Opin Cardiol. 2011;26(6):472-9. doi: 10.1097/HCO.0b013e32834b7fdd. [ Links ]

34. Kotsis T, Spyropoulos BG, Asaloumidis N, Christoforou P, Katseni K, Papaconstantinou I. Penetrating Atherosclerotic Ulcers of the Abdominal Aorta: A Case Report and Review of the Literature. Vasc Specialist Int. 2019;35(3):152-159. doi: 10.5758/vsi.2019.35.3.152. [ Links ]

35. Sorber R, Hicks CW. Diagnosis and Management of Acute Aortic Syndromes: Dissection, Penetrating Aortic Ulcer, and Intramural Hematoma. Curr Cardiol Rep. 2022;24(3):209-216. doi: 10.1007/s11886-022-01642-3. [ Links ]

36. Ahmad F, Cheshire N, Hamady M. Acute aortic syndrome: pathology and therapeutic strategies. Postgrad Med J. 2006;82(967):305-12. doi: 10.1136/pgmj.2005.043083. [ Links ]

37. Banceu CM, Banceu DM, Kauvar DS, Popentiu A, Voth V, Liebrich M, et al. Acute Aortic Syndromes from Diagnosis to Treatment-A Comprehensive Review. J Clin Med. 2024;21;13(5):1231. doi: 10.3390/jcm13051231. [ Links ]

38. Perone F, Guglielmo M, Coceani M, La Mura L, Dentamaro I, Sabatino J, et al. The Role of Multimodality Imaging Approach in Acute Aortic Syndromes: Diagnosis, Complications, and Clinical Management. Diagnostics (Basel). 2023;13(4):650. doi: 10.3390/diagnostics13040650. [ Links ]

39. Evangelista A, Sitges M, Jondeau G, Nijveldt R, Pepi M, Cuellar H, et al. Multimodality imaging in thoracic aortic diseases: a clinical consensus statement from the European Association of Cardiovascular Imaging and the European Society of Cardiology working group on aorta and peripheral vascular diseases. Eur Heart J Cardiovasc Imaging. 2023;24(5):e65-e85. doi: 10.1093/ehjci/jead024. [ Links ]

40. Paulraj S, Ashok Kumar P, Uprety A, Chaudhuri D. Aortic dissection and multimodality imaging. Echocardiography. 2020;37(9):1485-1487. doi: 10.1111/echo.14820. [ Links ]

41. Akcay M, Camlidag I. Multimodality imaging of asymptomatic huge floating thrombus in the thoracic aorta. Anatol J Cardiol. 2020;24(1):E1. doi: 10.14744/AnatolJCardiol.2020.56581. [ Links ]

42. Bhave NM, Nienaber CA, Clough RE, Eagle KA. Multimodality Imaging of Thoracic Aortic Diseases in Adults. JACC Cardiovasc Imaging. 2018;11(6):902-919. doi: 10.1016/j.jcmg.2018.03.009. [ Links ]

43. Little CD, Mackle EC, Maneas E, Chong D, Nikitichev D, Constantinou J, et al. A patient-specific multi-modality abdominal aortic aneurysm imaging phantom. Int J Comput Assist Radiol Surg. 2022;17(9):1611-1617. doi: 10.1007/s11548-022-02612-4. [ Links ]

44. Yoshioka K, Tanaka R. MRI and MRA of Aortic Disease. Ann Vasc Dis. 2010;3(3):196-201. doi: 10.3400/avd.sasdi10003. [ Links ]

45. Evangelista A, Garot J. Role of magnetic resonance imaging in aortic disease. Oxford: Oxford University Press eBooks; 2015. doi: 10.1093/med/9780198703341.003.0044. [ Links ]

46. Dev R, Gitanjali K, Anshuman D. Demystifying penetrating atherosclerotic ulcer of aorta: unrealised tyrant of senile aortic changes. J Cardiovasc Thorac Res. 2021;13(1):1-14. doi: 10.34172/jcvtr.2021.15. [ Links ]

47. Tanaka R, Yoshioka K, Abiko A. Updates on Computed Tomography Imaging in Aortic Aneurysms and Dissection. Ann Vasc Dis. 2020;13(1):23-27. doi: 10.3400/avd.ra.19-00127. [ Links ]

48. Guevara E, Bagnati, R, Bastianelli G, Baratta S, Battu C, Bluro I, et al. Consenso de Patología de la Aorta. Rev Argent Cardiol. 2023;91(Suplemento 1):1-97. doi: 10.7775/rac.es.v91.s1. [ Links ]

49. Ali L, Safan A, Kamran S, Akhtar N, Elalamy O. Acute Thromboembolic Ischemic Stroke From Complex Aortic Arch Plaque. Cureus. 2021;13(8):e16977. doi: 10.7759/cureus.16977. [ Links ]

50. Thenappan T, Ali Raza J, Movahed A. Aortic atheromas: current concepts and controversies-a review of the literature. Echocardiography. 2008;25(2):198-207. doi: 10.1111/j.1540-8175.2007.00568.x. [ Links ]

51. Harloff A, Brendecke SM, Simon J, Assefa D, Wallis W, Helbing T, et al. 3D MRI provides improved visualization and detection of aortic arch plaques compared to transesophageal echocardiography. J Magn Reson Imaging. 2012;36(3):604-11. doi: 10.1002/jmri.23679. [ Links ]

52. Isselbacher EM, Preventza O, Hamilton Black J 3rd, Augoustides JG, Beck AW, Bolen MA, et al. Peer Review Committee Members. 2022 ACC/AHA Guideline for the Diagnosis and Management of Aortic Disease: A Report of the American Heart Association/American College of Cardiology Joint Committee on Clinical Practice Guidelines. Circulation. 2022;146(24):e334-e482. doi: 10.1161/CIR.0000000000001106. [ Links ]

53. Meyermann K, Trani J, Caputo FJ, Lombardi JV. Descending thoracic aortic mural thrombus presentation and treatment strategies. J Vasc Surg. 2017;66(3):931-936. doi: 10.1016/j.jvs.2017.05.109. [ Links ]

54. Tunick PA, Nayar AC, Goodkin GM, Mirchandani S, Francescone S, Rosenzweig BP, et al. NYU Atheroma Group. Effect of treatment on the incidence of stroke and other emboli in 519 patients with severe thoracic aortic plaque. Am J Cardiol. 2002;90(12):1320-5. doi: 10.1016/s0002-9149(02)02870-9. [ Links ]

55. Stern A, Tunick PA, Culliford AT, Lachmann J, Baumann FG, Kanchuger MS, et al. Protruding aortic arch atheromas: risk of stroke during heart surgery with and without aortic arch endarterectomy. Am Heart J. 1999;138(4 Pt 1):746-52. doi: 10.1016/s0002-8703(99)70191-2. [ Links ]

56. Zidi M, Nallet O, Esteve JB, Michaud P, Cattan S. Dissection coronaire extensive compliquant une angioplastie: à propos d une série de 19 cas consécutifs (Extensive iatrogenic coronary dissection during coronary angioplasty: a series of 19 consecutive patients). Ann Cardiol Angeiol (Paris). 2010;59(5):306-10. French. doi: 10.1016/j.ancard.2010.08.012 [ Links ]

Funding: No funding was received for the realization of this manuscript

Cite as: Velarde-Acosta K, Moscoso Ramirez JY, Rojas P, Susanibar L, Quintana Reusche LD, Cachicatari A, et al. Shaggy aorta: ideal substrate for disaster. Updated review. Arch Peru Cardiol Cir Cardiovasc. 2024;5(3):143-152. doi: 10.47487/apcyccv.v5i3.410

Received: May 09, 2024; Accepted: September 02, 2024

*Correspondence: Kevin Velarde-Acosta. Avenida Grau 800 - La Victoria, Lima, Perú. +51 950 576 768 E-mail kevin_velarde.93@hotmail.com

Author Contributions KVA: conception, data collection, writing, final approval; JYMR: design, data collection, final approval; PR, LQR, RBA: data collection, writing, final approval; LS: data collection, writing; AC: logistics, writing

Conflicts of interest: None declared.

Creative Commons License This is an open-access article distributed under the terms of the Creative Commons Attribution License